Сколиоз? Ваше мнение?

Пол пациента: 
Тип патологии: 
Методы исследования: 

Сколиоз?  Ваше мнение?

В продолжении обсуждения -

http://www.radiomed.ru/blogs/oka/pomoghitie

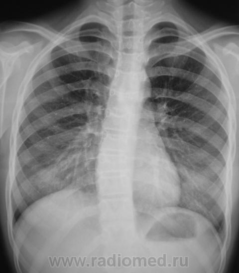
Пациент направлен на рентгенографию ОГК по поводу виража.

Как трактовать изменения в грудном отделе позвоночника, как сколиоз или как сколиотическую осанку?

  • https://radiomed.ru/sites/default/files/styles/case_slider_image/public/user/12/12.pb030018.jpg?itok=sUDqdpcP
  • https://radiomed.ru/sites/default/files/styles/case_slider_image/public/user/12/13.pb030013.jpg?itok=hRMpygNO
  • https://radiomed.ru/sites/default/files/styles/case_slider_image/public/user/12/14.pb030013a.jpg?itok=1qfNJNOp
  • https://radiomed.ru/sites/default/files/styles/case_slider_image/public/user/12/15.pb030016.jpg?itok=CGDCX2IS
  • https://radiomed.ru/sites/default/files/styles/case_slider_image/public/user/12/16.pb030016a.jpg?itok=IWosxRy9
ID:8529
Цель публикации: 
Helios аватар
Не на сайте
Был на сайте: 7 месяцев 2 недели назад
Зарегистрирован: 06.08.2010 - 15:16
Публикации: 4417

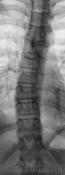
Валентин Львович, здравствуйте.Боковая клиновидность тел позвонков на уровне искривления присутствует, что говорит в пользу сколиоза-так нас учили.Ротация тоже имеется.

rentgengb1 аватар
Не на сайте
Был на сайте: 11 лет 12 месяцев назад
Зарегистрирован: 13.02.2009 - 23:02
Публикации: 290

Helios wrote:
Валентин Львович, здравствуйте.Боковая клиновидность тел позвонков на уровне искривления присутствует, что говорит в пользу сколиоза-так нас учили.Ротация тоже имеется.

Ключевой момент.

Катенёв Валентин Львович аватар
Не на сайте
Был на сайте: 7 лет 2 недели назад
Зарегистрирован: 22.03.2008 - 22:15
Публикации: 54876

Helios wrote:
Валентин Львович, здравствуйте.Боковая клиновидность тел позвонков на уровне искривления присутствует, что говорит в пользу сколиоза-так нас учили.Ротация тоже имеется.

А как понимать "боковая клиновидность". Это  будем рассматривать, как врожденное или приобретенное?

lupan аватар
Не на сайте
Был на сайте: 6 лет 10 месяцев назад
Зарегистрирован: 07.01.2010 - 17:17
Публикации: 1406

Хотелось бы попросить опытных рентгенологов, которым часто приходится сталкиваться с ВВК, показать на данных снимках торсию и ротацию.

Великое преймущество врача заключается в том, что он не обязан следовать собственным советам. ( А. Кристи)

Катенёв Валентин Львович аватар
Не на сайте
Был на сайте: 7 лет 2 недели назад
Зарегистрирован: 22.03.2008 - 22:15
Публикации: 54876

lupan wrote:
Хотелось бы попросить опытных рентгенологов, которым часто приходится сталкиваться с ВВК, показать на данных снимках торсию и ротацию.

... и, чтобы было удобнее - снимки с увеличением.

 

[[wysiwyg_imageupload:257:]][[wysiwyg_imageupload:258:]][[wysiwyg_imageupload:259:]][[wysiwyg_imageupload:260:]]

lupan аватар
Не на сайте
Был на сайте: 6 лет 10 месяцев назад
Зарегистрирован: 07.01.2010 - 17:17
Публикации: 1406

Насколько я понимаю, рентгенологически торсия проявляется на фронтальном снимке смещением корней остистых отростков на высоте искривления в ВОГНУТУЮ сторону. Смещение корней ДУЖЕК говорит о ротации. Или я не прав?

Великое преймущество врача заключается в том, что он не обязан следовать собственным советам. ( А. Кристи)

Helios аватар
Не на сайте
Был на сайте: 7 месяцев 2 недели назад
Зарегистрирован: 06.08.2010 - 15:16
Публикации: 4417

"Отклонение линии остистых отростков во фронтальной плоскости, сопровождающееся легкой асимметрией надплечий, углов лопаток, треугольников,талии и позиции таза. Асимметрия исчезает при горизонтальном положении и при наклоне вперед. Сколиотическая осанка не сопровождается ротацией и торсией позвонков."-цитата из " Вертебрологии"Э.В.Ульриха,А.Ю.Мушкина.Думаю, что боковая клиновидная деформация может быть как врожденной так и приобретенной.

Helios аватар
Не на сайте
Был на сайте: 7 месяцев 2 недели назад
Зарегистрирован: 06.08.2010 - 15:16
Публикации: 4417

lupan wrote:
Насколько я понимаю, рентгенологически торсия проявляется на фронтальном снимке смещением корней остистых отростков на высоте искривления в ВОГНУТУЮ сторону. Смещение корней ДУЖЕК говорит о ротации. Или я не прав?
  Из книги "Вертебрология"Э.В.Ульриха,А.Ю.Мушкина.

Ротация позвонка— изменение положения позвонка относительно вертикальной ocи без изменения его структуры.

Торсия позвонка— структурное изменение, связанное со «скручиванием» (не поворо­том!) позвонка вокруг задней продольной связки — геометрического центра позвонка.

 

!Определение величины торсии позвонков.Наиболее точно величина торсии, а также патологической ротации позвонков, т.е. величина деформации в горизонтальной плоскости может быть определена по данным компьютерной и магнитно-резонансной томогра­фии. В период становления методов транспедикулярной фиксации тяжелых сколиотических деформаций, разрабатывавшие эти методы хирурги использовали компьютерную то­мографию для определения точной формы позвонков в горизонтальной плоскости и, соответственно, величины торсии каждого позвонка, подлежащего фиксации. Однако, на современном этапе вертебрологии в практической работе определение абсолютной ве­личины торсии отдельно взятого позвонка редко имеет самостоятельное значение. Именно поэтому широкое практическое применение получили методы ориентировочной оценки торсии по переднезадней рентгенограмме позвоночника. При определении величины торсии важно помнить, что анатомическим центром позвонка и, соответственно осью, вокруг которой происходит его «скручивание», условно считается задняя продольная связка.

Pedicle-метод (от pedicle— ножка, NashС., MoeJ.H., 1969) (рис. 7, а) основан на опре­делении проекционного положения корня дуги позвонка относительно боковой поверх­ности его тела на выпуклой стороне деформации. В норме, при отсутствии торсии, корни дуг позвонка располагаются симметрично как относительно остистого отростка (проекционной его тени), так и относительно боковых сторон тела позвонка. Через сере­дину тела позвонка проводят вертикальную линию, после чего половину позвонка на вы­пуклой стороне дуги условно делят на 3 равные части. При I степени торсии отмечается только асимметрия контуров корней дуг при их обычном расположении в пределах на­ружной трети. При II и III степени торсии корень дуги проецируется соответственно на среднюю и медиальную треть, а при IV — на контралатеральную половину тела позвонка,

J.R. Cobb(1948) предложил для характеристики торсионных изменений оценивать по­ложение остистого отростка позвонка относительно боковых краеобразующих поверхно­стей его тела (рис. 7, б). Однако визуально оцениваемый параметр (вершина остистого от­ростка) по-разному «удален» от анатомического центра позвонка (задней продольно» связки) в разных отделах позвоночника. При этом, чем дальше остистый отросток уда­лен от центра скручивания (например, у поясничных позвонков), тем больше будет егс проекционное отклонение на переднезадней рентгенограмме от средней линии при одной и той же угловой величине торсии, что и определяет недостаток данного метода. Вместе

с тем, при одинаковом проекционном смещении остистых отростков позвонков в шейном, грудном, поясничном отделах, истинная величина торсии будет различной. Кроме того, метод не может применяться при отсутствии дуг и остистого отростка — при врожденных

нарушениях формирования и слияния дуг, а также при постляминэктомических дефор­мациях.

koriatus аватар
Не на сайте
Был на сайте: 3 года 5 дней назад
Зарегистрирован: 14.06.2010 - 01:49
Публикации: 452

Хм, судя по вышеоптсанному - в вышеуказанном случае максимум можно поставить 1-ю степень торсии. (корни дуг распологаются симметр чно относительно остистых отростков и боковых сторон тела, ну, может есть небольшая ассиметрия самих корней Или я чего то не так понял, или плохо смотрю :(

Лорочка аватар
Не на сайте
Был на сайте: 11 лет 2 месяцев назад
Зарегистрирован: 01.09.2010 - 18:51
Публикации: 43

Поясните, пожалуйста.

Ротация - изменение пространственного распложения. Торсия - патологическое изменение конфигурации позвонка. Это подразумевается?

Makcimalist аватар
Не на сайте
Был на сайте: 11 лет 8 месяцев назад
Зарегистрирован: 08.05.2010 - 14:28
Публикации: 1994

Катенёв Валентин Львович wrote:

...В продолжении обсуждения -

http://www.radiomed.ru/blogs/oka/pomoghitie...

Как трактовать изменения в грудном отделе позвоночника, как сколиоз или как сколиотическую осанку?

Всё-таки, интересно, Валентин Львович, Вы и правда в заключении ставите "сколиотическую осанку"?..

--------------

"Просто, по видимости, не видеть логики в очевидных вещах - это тоже одно из свойств некоторых умов, наряду с грустными думами о свойствах ума других."  © Vega 08/10/2011

Makcimalist аватар
Не на сайте
Был на сайте: 11 лет 8 месяцев назад
Зарегистрирован: 08.05.2010 - 14:28
Публикации: 1994

Helios wrote:
"Отклонение линии остистых отростков во фронтальной плоскости, сопровождающееся легкой асимметрией надплечий, углов лопаток, треугольников,талии и позиции таза. Асимметрия исчезает при горизонтальном положении и при наклоне вперед. Сколиотическая осанка не сопровождается ротацией и торсией позвонков."-цитата из " Вертебрологии"Э.В.Ульриха,А.Ю.Мушкина...

"Вертебрология" - хорошо.., но если асимметрия не исчезает в положении лёжа, а ротации и торсии нет?..

 

--------------

"Просто, по видимости, не видеть логики в очевидных вещах - это тоже одно из свойств некоторых умов, наряду с грустными думами о свойствах ума других."  © Vega 08/10/2011

Катенёв Валентин Львович аватар
Не на сайте
Был на сайте: 7 лет 2 недели назад
Зарегистрирован: 22.03.2008 - 22:15
Публикации: 54876

Максималисту.

Я просто стараюсь, в пределах имеющихся возможностей ответить на вопросы

1. Есть или нет ротации.

2. Только - ли, "это" ротация, или "это" торсия.

Катенёв Валентин Львович аватар
Не на сайте
Был на сайте: 7 лет 2 недели назад
Зарегистрирован: 22.03.2008 - 22:15
Публикации: 54876

Я также стараюсь посмотреть пациента и определиться, есть или отсутствует "мышечный валик".

Makcimalist аватар
Не на сайте
Был на сайте: 11 лет 8 месяцев назад
Зарегистрирован: 08.05.2010 - 14:28
Публикации: 1994

К вам из военкомата присылают призывника с д-зом "сколиоз 2ст.", а Вы описываете снимки и пишите..."сколиотическая осанка (т.к. торсии нет)"?..

--------------

"Просто, по видимости, не видеть логики в очевидных вещах - это тоже одно из свойств некоторых умов, наряду с грустными думами о свойствах ума других."  © Vega 08/10/2011

Катенёв Валентин Львович аватар
Не на сайте
Был на сайте: 7 лет 2 недели назад
Зарегистрирован: 22.03.2008 - 22:15
Публикации: 54876

При сколиозах 2 ст, особенно при фиксированных ротация или торсия обязательно будут. Да, и ст. 66 обязывает нас протокольно указывать, есть - ли ротация, и каких позвонков конкретно.

Makcimalist аватар
Не на сайте
Был на сайте: 11 лет 8 месяцев назад
Зарегистрирован: 08.05.2010 - 14:28
Публикации: 1994

Катенёв Валентин Львович wrote:

При сколиозах 2 ст, особенно при фиксированных ротация или торсия обязательно будут. Да, и ст. 66 обязывает нас протокольно указывать, есть - ли ротация, и каких позвонков конкретно.

Т.е. если правильно понял, Вас военные обязывают снимать на сколиоз 1). стоя и лёжа, 2). определять сколиоз или сколиотическая осанка (есть ли ротация/торсия)??

И по представленному случаю: клиновидная деформация (с натяжкой - по снимкам) имеется у 1 позвонка, торсии/ротации нет, по углу - 2ст. сколиоза!.. Или нет - нет же торсии/ротации?..

--------------

"Просто, по видимости, не видеть логики в очевидных вещах - это тоже одно из свойств некоторых умов, наряду с грустными думами о свойствах ума других."  © Vega 08/10/2011

Катенёв Валентин Львович аватар
Не на сайте
Был на сайте: 7 лет 2 недели назад
Зарегистрирован: 22.03.2008 - 22:15
Публикации: 54876

Военные никого не обязывают. Есть Постановление Правительства РФ № 123, есть статья 66 РБ, вот и все...

Катенёв Валентин Львович аватар
Не на сайте
Был на сайте: 7 лет 2 недели назад
Зарегистрирован: 22.03.2008 - 22:15
Публикации: 54876

Правда, есть еще и дополнения и разъяснения к этому Постановлению.

Makcimalist аватар
Не на сайте
Был на сайте: 11 лет 8 месяцев назад
Зарегистрирован: 08.05.2010 - 14:28
Публикации: 1994

Катенёв Валентин Львович wrote:

Военные никого не обязывают. Есть Постановление Правительства РФ № 123, есть статья 66 РБ, вот и все...

Так вот, или у нас никто из рентгенологов не читал ни постановление, ни статью, или врачи призывной комиссии (из ЛПУ) не хотят вникать в "придуманное/надуманное" вояками - но, Вы удивитесь, пока никого с заключениями наших рентгенологов (ни в одном не находил ни слова про торсию, боковую клиновидность позвонков, открыл для себя "сколиотическую осанку" как научный термин) обратно "не заворачивали", указывая, что "не хватает/описание неполное"!..

А по наблюдению всё же - что?

--------------

"Просто, по видимости, не видеть логики в очевидных вещах - это тоже одно из свойств некоторых умов, наряду с грустными думами о свойствах ума других."  © Vega 08/10/2011

Катенёв Валентин Львович аватар
Не на сайте
Был на сайте: 7 лет 2 недели назад
Зарегистрирован: 22.03.2008 - 22:15
Публикации: 54876

Ну, у нас по поводу статей расписания болезней неоднократно проводятся занятия. 1 раз в год обязательно инструктах в областном военкомате.

А этот случай - легочной - вираж. Просто, привел как пример, так как изменения в позвоночнике видны, в продолжении дискуссии на определенной ветке.

Makcimalist аватар
Не на сайте
Был на сайте: 11 лет 8 месяцев назад
Зарегистрирован: 08.05.2010 - 14:28
Публикации: 1994

Катенёв Валентин Львович wrote:

... так как изменения в позвоночнике видны, в продолжении дискуссии на определенной ветке.

... Значит, считаете - сколиоз (но ведь без торсии)?indecision

--------------

"Просто, по видимости, не видеть логики в очевидных вещах - это тоже одно из свойств некоторых умов, наряду с грустными думами о свойствах ума других."  © Vega 08/10/2011

Катенёв Валентин Львович аватар
Не на сайте
Был на сайте: 7 лет 2 недели назад
Зарегистрирован: 22.03.2008 - 22:15
Публикации: 54876

А, Вы считаете, что та маловыраженная клиновидность - это врожденное?

А может это и есть торсия?

Makcimalist аватар
Не на сайте
Был на сайте: 11 лет 8 месяцев назад
Зарегистрирован: 08.05.2010 - 14:28
Публикации: 1994

если сколиотическая деформация была с рожения - врождённый клин (1), если не было - вследствие сколиоза. А торсии нет...

--------------

"Просто, по видимости, не видеть логики в очевидных вещах - это тоже одно из свойств некоторых умов, наряду с грустными думами о свойствах ума других."  © Vega 08/10/2011

Петрович аватар
Не на сайте
Был на сайте: 7 лет 2 месяцев назад
Зарегистрирован: 22.03.2009 - 01:13
Публикации: 3908

 

 

Мне кажется, "сколиотическая осанка" – термин неупотребительный среди взрослых рентгенологов. Мы знаем 4 степени сколиоза. А сколько степеней у "сколиотической осанки"? Углы-то разные могут быть. Что скажут её сторонники? Раз уж нельзя назвать сколиозом искривление позвоночного столба без ротации и торсии.

Неоднозначно всё

koriatus аватар
Не на сайте
Был на сайте: 3 года 5 дней назад
Зарегистрирован: 14.06.2010 - 01:49
Публикации: 452

Коллеги, в свежем номере журнала Radiographics вышла как раз учебная статья про сколиоз:

http://radiographics.rsna.org/content/30/7/1823.abstract

Scoliosis Imaging: What Radiologists Should Know

The appropriate uses of radiography, CT, and MR imaging for diagnosing, measuring, monitoring, and guiding management of idiopathic, congenital, and developmental scoliosis are discussed and illustrated.

Abstract

"Scoliosis is defined as a lateral spinal curvature with a Cobb angle of 10° or more. This abnormal curvature may be the result of an underlying congenital or developmental osseous or neurologic abnormality, but in most cases the cause is unknown. Imaging modalities such as radiography, computed tomography (CT), and magnetic resonance (MR) imaging play pivotal roles in the diagnosis, monitoring, and management of scoliosis, with radiography having the primary role and with MR imaging or CT indicated when the presence of an underlying osseous or neurologic cause is suspected. In interpreting the imaging features of scoliosis, it is essential to identify the significance of vertebrae in or near the curved segment (apex, end vertebra, neutral vertebra, stable vertebra), the curve type (primary or secondary, structural or nonstructural), the degree of angulation (measured with the Cobb method), the degree of vertebral rotation (measured with the Nash-Moe method), and the longitudinal extent of spinal involvement (according to the Lenke system). The treatment of idiopathic scoliosis is governed by the severity of the initial curvature and the probability of progression. When planning treatment or follow-up imaging, the biomechanics of curve progression must be considered: In idiopathic scoliosis, progression is most likely during periods of rapid growth, and the optimal follow-up interval in skeletally immature patients may be as short as 4 months. After skeletal maturity is attained, only curves of more than 30° must be monitored for progression."

К сожалению она платная :( И получить полный дооступ я пока не могу (подпишусь нажурнал только в след году). Если возможно, коллеги у которых есть доступ, может поделитесь статьей? Интересно как "у них" понимают это.

Катенёв Валентин Львович аватар
Не на сайте
Был на сайте: 7 лет 2 недели назад
Зарегистрирован: 22.03.2008 - 22:15
Публикации: 54876

Интересная "заковыка" имеется в отдельных литературных источниках по поводу классификации В.Д. Чаклина.

В отдельных литературных источниках 1 ст. сколиоза начинается от 1 градуса, а вот, в других с 5 градусов.

Почему? Очень интересно.

Петрович аватар
Не на сайте
Был на сайте: 7 лет 2 месяцев назад
Зарегистрирован: 22.03.2009 - 01:13
Публикации: 3908

 

А ещё есть понятие физиологического сколиоза. Ну конечно спорное. Однако, как у людей напряжённого интеллектуального труда несимметрично развиты большие полушария мозга, так у людей интенсивного физического труда несимметрично развиты половины тела. У правшей физиологический сколиоз должен быть правосторонним.

Неоднозначно всё

Катенёв Валентин Львович аватар
Не на сайте
Был на сайте: 7 лет 2 недели назад
Зарегистрирован: 22.03.2008 - 22:15
Публикации: 54876

На мой взгляд, уважаемый Петрович, Вы касаетесь вопросов формирования, именно, сколиотической осанки...

Петрович аватар
Не на сайте
Был на сайте: 7 лет 2 месяцев назад
Зарегистрирован: 22.03.2009 - 01:13
Публикации: 3908

Так до какой степени может развиться она? Или до скольких градусов?

Неоднозначно всё

koriatus аватар
Не на сайте
Был на сайте: 3 года 5 дней назад
Зарегистрирован: 14.06.2010 - 01:49
Публикации: 452

 

Различные методы измерения ротации (я так понимаю что зарубежные авторы не сильно вдаются в подробности различий между торсией и ротацией, называя все просто ротацией). Их сравнение, + и - 

 http://www.scoliosisjournal.com/content/3/1/16

вот картинка оттуда:

Приложения: 
1748-7161-3-16-1-l.jpg1748-7161-3-16-1-2.jpg
koriatus аватар
Не на сайте
Был на сайте: 3 года 5 дней назад
Зарегистрирован: 14.06.2010 - 01:49
Публикации: 452

In the pedicle-shadow offset technique initiated by Nash and Moe, measurements taken from radiographic images only represent a projected, not actual, rotation!

 

Извините, без перевода, но интересно (из этой статьи)

Nash-Moe method

Nash and Moe claimed their method to be much improved from that of Cobb. One advantage was the better visibility of the particular chosen anatomic landmark over a greater range of angles. Their study was able to investigate rotations of the convex pedicle of up to 90° [23]. Additionally, pedicle shadows could be better seen even after surgery, rendering the method applicable in postoperative assessment. The Nash-Moe method seemed to overcome the concern of intravertebral deformity affecting measurement reliability, which became a major factor in the criticism of Cobb's technique. In comparison to the spinous process, the pedicles are located closer to the vertebral body and, consequently, are not subject to as much distortion in severe scoliotic cases [23,25].

Despite these improvements, there exist some drawbacks of the technique. Foremost, the suggested method of angle determination only provided a rough approximation of axial rotation. Ho observed that grade 0, a neutral position, represented rotation of up to 11° determined by CT scans [37]. Like Cobb's method, the Nash-Moe technique neglected vertebral asymmetries such as non-parallel endplates, concave vertebral walls, and elliptical diameters [9,24]. Other factors overlooked were mentioned by Stokes, including the effect of distance from the x-ray, vertebral body shape and symmetry [25].

The better visibility of pedicle shadows was emphasized as the main advantage of the Nash-Moe method. However, Mehta contradicted this assertion, finding that using a single anatomical landmark limited accurate measurements to small rotations [26]. This same realization was made by the authors of this report, who examined 115 spinal radiographs in two separate sittings. The convex pedicle became difficult to visualize at rotation angles greater than 30°. Furthermore, surgical implantations such as Harrington and Cotrel-Dubousset instrumentation obstructed visibility of pedicles on spinal radiographs.

Катенёв Валентин Львович аватар
Не на сайте
Был на сайте: 7 лет 2 недели назад
Зарегистрирован: 22.03.2008 - 22:15
Публикации: 54876

Петрович, совершенно правильно ставит вопрос, где, та грань, и четкая грань, конкретные опорные пункты, когда заканчивается "осанка" и начинается "сколиоз".

А , может быть, как сейчас очень модно - "Два в одном".

А, ежели туда еще "присобачить" элементы сутулости, формирующегося предкифоза, так получится - "Три - в одном"?

koriatus аватар
Не на сайте
Был на сайте: 3 года 5 дней назад
Зарегистрирован: 14.06.2010 - 01:49
Публикации: 452

 

Определение сколиоза из зарубежных источников: 

http://www.scoliosis.org/glossary.php (из National Scoliosis Foundation)

http://www.srs.org/patients/glossary.php?alpha=S (Scoliosis Research Society)

Scoliosis  -    Lateral deviation of the normal vertical line of the spine which, when measured by X-ray, is greater than ten degrees. Scoliosis consists of a lateral curvature of the spine with rotation of the vertebrae within the curve.

То есть больше 10 градусов! = есть искривление + есть ротация. 

В принципе, нас тоже так учили на травматологии и ортопедии (насколько я помню).

В abstracts к статье на Radiographics тоже обзывают сколиоз сколиозом только тогда, когда латеральное искривление больше 10 градусов.

"Scoliosis is defined as a lateral spinal curvature with a Cobb angle of 10° or more"

И отсюда цитата: http://www.srs.org/patients/adolescent/idiopathic/imaging.php

"A straight spine has a curve of 0є, any curve greater than 10є is considered scoliosis. Between 0є and 10є is considered a curvature which is not true scoliosis. The way a patient stands at the time of an X-ray or many other factors can cause a slight curvature."

 

Термин сколиотическая осанка, мне кажется вообще употреблять не стоит. Если меньше 10 градусов, то писать просто искривление позвоночника (указывать отдел и углы).

Makcimalist аватар
Не на сайте
Был на сайте: 11 лет 8 месяцев назад
Зарегистрирован: 08.05.2010 - 14:28
Публикации: 1994

Долго хотел понять смысл высказывания "Торсия позвонка- структурное изменение, связанное со «скручиванием» (не поворо­том!) позвонка вокруг задней продольной связки - геометрического центра позвонка." Как говорится - "прошли годы,.." но так и не понял! Перебирал архивные снимки, чтобы понять как может некое "скручивание" изменить структуру позвонка. angry Перед тем как мозги закипели, не выдержав терминологической несуразности и её толкования, сделал для себя выводы:

- бывают врождённые (малые) аномалии позвонков (асимметрия величины/расположения/формы суставных отростков, незначительная "боковая клиновидность" - неодинаковая высота правой и левой половин тела позвонка), которые могут способствовать формированию (прогрессированию при имеющиихся сопутствующих/предрасполагающих факторах) сколиоза, НО "скручиваться" позвонок не способен...

..."Вертебрология" Э.В.Ульриха и А.Ю.Мушкина интересная "работа" в том смысле, что побуждает к дискуссии (в т.ч. с авторами), оставляет неотвеченными много вопросов (никогда бы и не возникших)frown...

- как бы авторы определили торсию при имеющейся сколиотической деформации позвоночника - задняя продольная связка уже бы наверняка не упоминаласьno . Вообще, интересный подход к определению, притом что торсия чаще вторична - формируется как приспособительный/компенсирующий сколиоз/"разгружающий" механизм,.. в определении сколиоз не упоминается crying...

- метод Кобба для определения величины торсии по остистым отросткам - вообще, "несъедобен"...no

- торсии одного позвонка не бывает, в принципе!

А в свете последних высказываний :

- сколиотическая осанка - не рентгенологический термин, вообще; не употребим к позвоночнику (IMHO)!

- не нужно "выбрасывать" 10 градусов (1ст. сколиоза), ведь это же искривление - так можно далеко передвинуть все границы физиологической нормы...

 

 

--------------

"Просто, по видимости, не видеть логики в очевидных вещах - это тоже одно из свойств некоторых умов, наряду с грустными думами о свойствах ума других."  © Vega 08/10/2011

Катенёв Валентин Львович аватар
Не на сайте
Был на сайте: 7 лет 2 недели назад
Зарегистрирован: 22.03.2008 - 22:15
Публикации: 54876

Случай 1.

Интересно, куда "это" можно отнести, к сколиозу или сколиотической осанке?

 

[[wysiwyg_imageupload:411:]][[wysiwyg_imageupload:412:]][[wysiwyg_imageupload:413:]][[wysiwyg_imageupload:414:]]

Катенёв Валентин Львович аватар
Не на сайте
Был на сайте: 7 лет 2 недели назад
Зарегистрирован: 22.03.2008 - 22:15
Публикации: 54876

Случай 2.

Интересно, куда "это" можно отнести, к сколиозу или сколиотической осанке?

 

[[wysiwyg_imageupload:416:]][[wysiwyg_imageupload:417:]][[wysiwyg_imageupload:418:]][[wysiwyg_imageupload:419:]]

Makcimalist аватар
Не на сайте
Был на сайте: 11 лет 8 месяцев назад
Зарегистрирован: 08.05.2010 - 14:28
Публикации: 1994

Случай 1. Рентгенологи отнесут к сколиозу, ортопеды/хирурги - к сколиотической осанке/сколиозу;

Случай 2. Рентгенологи отнесут к неидеальной/асимметричной укладке/установке, ортопеды/хирурги - к сколиотической осанке/сколиозу (если заметят...)!

--------------

"Просто, по видимости, не видеть логики в очевидных вещах - это тоже одно из свойств некоторых умов, наряду с грустными думами о свойствах ума других."  © Vega 08/10/2011