Случай с ургентности

Пол пациента: 
Тип патологии: 
Методы исследования: 

Женщина. Поступила в хирургическое отделение с диагнозом "кишечная непроходимость". Дежурный лаборант выполнила обзорный снимок брюшной полости уж больно "заковыристо". Что скажете?

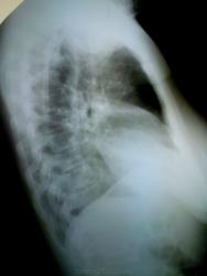
Описывая это "произведение" на следующее утро назначаю контроль, в т.ч. и грудной клетки в правой боковой проекции

Беседую с пациенткой...да кишечные проблемы были, уже прошли...около 6-8 ми месяцев назад болеела (основная жалоба - кашель), лечилась, в т.ч. стационарно, обследовалась, в т.ч  КТ в ООД - сказали все нормально...живите мол и дальше. Данные предыдущих исследований обещают доставить с понедельника, будем и сами ее докручивать. Ваше мнение, коллеги?

  • https://radiomed.ru/sites/default/files/styles/case_slider_image/public/user/2667/foto021.jpg?itok=G8pnusBf
  • https://radiomed.ru/sites/default/files/styles/case_slider_image/public/user/2667/foto022.jpg?itok=gKC-OtJw
ID:8455
Евгений1313 аватар
Не на сайте
Был на сайте: 13 лет 6 дней назад
Зарегистрирован: 15.10.2010 - 19:13
Публикации: 808

Интересно..Интересно.Ну кто смелый.Что скажите?

stovbav аватар
Не на сайте
Был на сайте: 2 года 2 месяцев назад
Зарегистрирован: 20.12.2009 - 17:28
Публикации: 7066

Medeа wrote:

Пневмофиброз средней доли. 

Уважаемая Медея, с увеличением в обЪеме?...или мне кажется?

Евгений1313 аватар
Не на сайте
Был на сайте: 13 лет 6 дней назад
Зарегистрирован: 15.10.2010 - 19:13
Публикации: 808

ха.ха.ха!

Катенёв Валентин Львович аватар
Не на сайте
Был на сайте: 7 лет 2 недели назад
Зарегистрирован: 22.03.2008 - 22:15
Публикации: 54876

А, зачм нам барий?

Приложения: 
1._zachem.foto002a.jpg2.zachem.foto002abv.jpg3.zachem.foto002abvgd.jpg4._zachem.foto002abvgde.jpg
Катенёв Валентин Львович аватар
Не на сайте
Был на сайте: 7 лет 2 недели назад
Зарегистрирован: 22.03.2008 - 22:15
Публикации: 54876

А, что это за "хрень" с горизонтальным уровнем или меня глючит?

Приложения: 
2.glyuchitfoto022abv.jpg3.glyuchit.foto022abve.jpg
Петрович аватар
Не на сайте
Был на сайте: 7 лет 2 месяцев назад
Зарегистрирован: 22.03.2009 - 01:13
Публикации: 3908

 

Репродукции рентгенограмм нерезки, бронхов практически не видно..., думаю здесь ателектаз S7, S8.  возможно, с некоторым выпотом в главной междолевой щели.

Неоднозначно всё

Евгений1313 аватар
Не на сайте
Был на сайте: 13 лет 6 дней назад
Зарегистрирован: 15.10.2010 - 19:13
Публикации: 808

Все налицо...Молодец Stovbav!

Катенёв Валентин Львович аватар
Не на сайте
Был на сайте: 7 лет 2 недели назад
Зарегистрирован: 22.03.2008 - 22:15
Публикации: 54876

Нужна качественная прямая и правая боковая, кажется, что и в переднем сегменте верхней доле что-то есть.

ЛГ аватар
Не на сайте
Был на сайте: 8 лет 10 месяцев назад
Зарегистрирован: 06.01.2010 - 12:31
Публикации: 3523

Евгений1313 wrote:

ха.ха.ха!

Потрясающее заключение, доводы блестящие, обоснование грамотное. Возразить нечего.

stovbav аватар
Не на сайте
Был на сайте: 2 года 2 месяцев назад
Зарегистрирован: 20.12.2009 - 17:28
Публикации: 7066

С барием пока решили так - ирригоскопия в понедельник (хирургов смущает толстая кишка????). Случай будет иметь продолжение. Пока он мне  до конца совершенно неясен. Потому и выставил, надеясь услышать мнение коллег. Копии не совсем хорошие, согласен, в понедельник постараюсь сделать ОГП в цифре.

Сан Саныч1 аватар
Не на сайте
Был на сайте: 11 месяцев 2 недели назад
Зарегистрирован: 07.06.2010 - 21:17
Публикации: 2114

Ателектаз средней доли (красный) + релаксация купола диафрагмы справа (зеленый) дали такое гомогенное интенсивное затенение. Валентин Львович, Вас не глючит. Больная, видимо, поела.

Приложения: 
foto022.jpg

Хочешь сделать что-то нормально - сделай это сам!

Віктор аватар
Не на сайте
Был на сайте: 12 лет 8 месяцев назад
Зарегистрирован: 13.10.2010 - 22:18
Публикации: 33

Петрович wrote:

 

Репродукции рентгенограмм нерезки, бронхов практически не видно..., думаю здесь ателектаз S7, S8.  возможно, с некоторым выпотом в главной междолевой щели.

                                                                                                                                                                           Поддерживаю. 

Евгений1313 аватар
Не на сайте
Был на сайте: 13 лет 6 дней назад
Зарегистрирован: 15.10.2010 - 19:13
Публикации: 808

Надо глядеть шире,копать глубже.Подсказка в тексте.А случай то скоропомощной.

Катенёв Валентин Львович аватар
Не на сайте
Был на сайте: 7 лет 2 недели назад
Зарегистрирован: 22.03.2008 - 22:15
Публикации: 54876

Евгений1313 wrote:

Надо глядеть шире,копать глубже.Подсказка в тексте.А случай то скоропомощной.

А Ваше мнение, уважаемый коллега, конкретно по данному случаю какое?

Евгений1313 аватар
Не на сайте
Был на сайте: 13 лет 6 дней назад
Зарегистрирован: 15.10.2010 - 19:13
Публикации: 808

Верхней доли то справа нет....

Катенёв Валентин Львович аватар
Не на сайте
Был на сайте: 7 лет 2 недели назад
Зарегистрирован: 22.03.2008 - 22:15
Публикации: 54876

Евгений1313 wrote:

Верхней доли то справа нет....

Спасибо за ответ.

Приложения: 
111.v.d..jpg112.v.d..jpg
Катенёв Валентин Львович аватар
Не на сайте
Был на сайте: 7 лет 2 недели назад
Зарегистрирован: 22.03.2008 - 22:15
Публикации: 54876

Значит Рак верхнедолевого бронха?

Петрович аватар
Не на сайте
Был на сайте: 7 лет 2 месяцев назад
Зарегистрирован: 22.03.2009 - 01:13
Публикации: 3908

Я не считаю, что верхней доли справа нет. Но подождём нормальных лёгочных снимков.

Заодно проверим Новообретённого Гения. На всхожесть.

Неоднозначно всё

stovbav аватар
Не на сайте
Был на сайте: 2 года 2 месяцев назад
Зарегистрирован: 20.12.2009 - 17:28
Публикации: 7066

У меня пока, как рабочая версия, аденома среднедолевого бронха.

Катенёв Валентин Львович аватар
Не на сайте
Был на сайте: 7 лет 2 недели назад
Зарегистрирован: 22.03.2008 - 22:15
Публикации: 54876

Евгений1313 wrote:

Верхней доли то справа нет....

Так и швов нет, я имею в виде танталловые. Долю наверно удалили?

Евгений1313 аватар
Не на сайте
Был на сайте: 13 лет 6 дней назад
Зарегистрирован: 15.10.2010 - 19:13
Публикации: 808

Посмотрим завтра снимки.

Катенёв Валентин Львович аватар
Не на сайте
Был на сайте: 7 лет 2 недели назад
Зарегистрирован: 22.03.2008 - 22:15
Публикации: 54876

Евгений1313 wrote:

Посмотрим завтра снимки.

Так завтра - воскресенье.

Сан Саныч1 аватар
Не на сайте
Был на сайте: 11 месяцев 2 недели назад
Зарегистрирован: 07.06.2010 - 21:17
Публикации: 2114

Катенёв Валентин Львович wrote:

Евгений1313 wrote:

Верхней доли то справа нет....

Так и швов нет, я имею в виде танталловые. Долю наверно удалили?

Рассосались....... :))))

Хочешь сделать что-то нормально - сделай это сам!

Евгений1313 аватар
Не на сайте
Был на сайте: 13 лет 6 дней назад
Зарегистрирован: 15.10.2010 - 19:13
Публикации: 808

Хотелось посмотреть снимки уже сегодня.Больного ведь надо срочно профилировать.А на аграномов я не реагирую..

stovbav аватар
Не на сайте
Был на сайте: 2 года 2 месяцев назад
Зарегистрирован: 20.12.2009 - 17:28
Публикации: 7066

1. Больная поступала с клиникой кишечной непроходимости - последняя купирована

2. Будет произведено плановое дообследование и, при необходимости, плановй перевод в соответствующее учереждение

3. На сегодняшний день легочных жалоб нет

4.По поводу агрономов - по моим учебникам учатся студенты аграрной академии...это что - камень в мой огород?...никогда не знаешь...на какую почву упадет сказанное тобой слово....

Евгений1313 аватар
Не на сайте
Был на сайте: 13 лет 6 дней назад
Зарегистрирован: 15.10.2010 - 19:13
Публикации: 808

Извените!? Я не мел ввиду Вас,,,А про академию я знать не знал.

Катенёв Валентин Львович аватар
Не на сайте
Был на сайте: 7 лет 2 недели назад
Зарегистрирован: 22.03.2008 - 22:15
Публикации: 54876

Здравствуйте Виктор Григорьевич!

Мы все - "агрономы" в рентгенологии и, на мой взгляд совсем не обидно - врач-рентгенолог- агроном, а у некоторых перед этим еще и к.м.н. Совсем не плохо, если-бы за агронома еще "бабки" доплачивали.

koriatus аватар
Не на сайте
Был на сайте: 3 года 2 дня назад
Зарегистрирован: 14.06.2010 - 01:49
Публикации: 452

Без нормал ных снимков легких надумать можно всякого. На мой неопытный 'агрономский' взгляд тут ни ателектаза среднй доди, ни отсутствия верхней доли нету. Есть хорошо развиьая жировая клетчатка вокруг сердца ( особенно в правом кардиодиафрагмальном угле). Может быть небольшие субсегментаоные ателектазы ( компрнссионого характера прилеж сегментов) - пдс тут же за счет этого+ накладывается тень молочной железы.

stovbav аватар
Не на сайте
Был на сайте: 2 года 2 месяцев назад
Зарегистрирован: 20.12.2009 - 17:28
Публикации: 7066

koriatus wrote:
Без нормал ных снимков легких надумать можно всякого. На мой неопытный 'агрономский' взгляд тут ни ателектаза среднй доди, ни отсутствия верхней доли нету. Есть хорошо развиьая жировая клетчатка вокруг сердца ( особенно в правом кардиодиафрагмальном угле). Может быть небольшие субсегментаоные ателектазы ( компрнссионого характера прилеж сегментов) - пдс тут же за счет этого+ накладывается тень молочной железы.

Все может быть, коллега, в понедельник все учтем. Результаты - выставлю.

Катенёв Валентин Львович аватар
Не на сайте
Был на сайте: 7 лет 2 недели назад
Зарегистрирован: 22.03.2008 - 22:15
Публикации: 54876

stovbav wrote:
4.По поводу агрономов - <u><strong>по моим учебникам учатся студенты аграрной академии.

А, я смотрю, что на одном из сайтов, есть определенный раздел посвященный тоже рентгенодиагностике...

Благое дело делаете уважаемый Виктор Григорьевич!

stovbav аватар
Не на сайте
Был на сайте: 2 года 2 месяцев назад
Зарегистрирован: 20.12.2009 - 17:28
Публикации: 7066

Катенёв Валентин Львович wrote:

stovbav wrote:
4.По поводу агрономов - <u><strong>по моим учебникам учатся студенты аграрной академии.

А, я смотрю, что на одном из сайтов, есть определенный раздел посвященный тоже рентгенодиагностике...

Благое дело делаете уважаемый Виктор Григорьевич!

Так собственно благодаря "агрономии", вернее уже будет - ветеринарии, этот сайт и был создан. Конечно - ничто человеческое нам там не чуждоwinkно основной упор уверенно смещается в сторону ветеринарной радиологии...значит такова судьба, не уйти мне от собачек да кошечекsmiley.

Makcimalist аватар
Не на сайте
Был на сайте: 11 лет 8 месяцев назад
Зарегистрирован: 08.05.2010 - 14:28
Публикации: 1994

Вот что бывает, когда снимки "не очень" - уже некоторые коллеги верхнюю долю потеряли!

stovbav wrote:

У меня пока, как рабочая версия, аденома среднедолевого бронха.

... а сами говорили об увеличении объёма ср/доли...

Поддерживаю Medea, объёмное уменьшение средней доли присутствует! За счёт чего (пневмофиброз/онко?) предстоит узнать на дообследовании.

--------------

"Просто, по видимости, не видеть логики в очевидных вещах - это тоже одно из свойств некоторых умов, наряду с грустными думами о свойствах ума других."  © Vega 08/10/2011

Грицько Виталий аватар
Не на сайте
Был на сайте: 8 лет 11 месяцев назад
Зарегистрирован: 05.01.2010 - 14:06
Публикации: 1058

А в брюшной все в порядке?

stovbav аватар
Не на сайте
Был на сайте: 2 года 2 месяцев назад
Зарегистрирован: 20.12.2009 - 17:28
Публикации: 7066

1 В брюшной были явления тонкокишесной непроходимости - сейчас нет 2 вчера у меня были проблемы с Интернетом не мог выставить материалы Сегодня постараюсь все предоставить вашему вниманию Случай интересный во всех отношениях

stovbav аватар
Не на сайте
Был на сайте: 2 года 2 месяцев назад
Зарегистрирован: 20.12.2009 - 17:28
Публикации: 7066

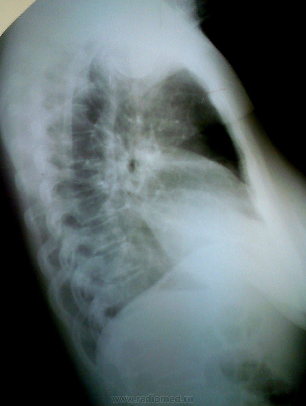
Ну что же начнем помаленьку. Заболела женщина в феврале. Первый снимок датирован 13 марта...... Следующий - 23 марта....

Приложения: 
13_03_2010_pryamoy.jpg13_03_2010_pr_bok.jpg23_03_2010.jpg
stovbav аватар
Не на сайте
Был на сайте: 2 года 2 месяцев назад
Зарегистрирован: 20.12.2009 - 17:28
Публикации: 7066

Дальше следует перерыв до июня...

Приложения: 
06_2010_pryamoy.jpg06_2010_pr_bok.jpg
stovbav аватар
Не на сайте
Был на сайте: 2 года 2 месяцев назад
Зарегистрирован: 20.12.2009 - 17:28
Публикации: 7066

В июне же 30.06. выполнена КТ. Дабы не загружать все слайды выставлю пока только данные реконструкции....

Приложения: 
rek_1.jpgrek_2.jpgrek_3.jpgkt_06_2010_rekonstrukciya.jpg
stovbav аватар
Не на сайте
Был на сайте: 2 года 2 месяцев назад
Зарегистрирован: 20.12.2009 - 17:28
Публикации: 7066

Потом были снимки в 7-м и 8-м месяцах

Приложения: 
07_2010_pryamoy.jpg08_2010_pryamoy.jpg08_2010_pr_bok.jpg
stovbav аватар
Не на сайте
Был на сайте: 2 года 2 месяцев назад
Зарегистрирован: 20.12.2009 - 17:28
Публикации: 7066

Потом были снимки в 7-м и 8-м месяцах

Приложения: 
07_2010_pryamoy.jpg08_2010_pryamoy.jpg08_2010_pr_bok.jpg
stovbav аватар
Не на сайте
Был на сайте: 2 года 2 месяцев назад
Зарегистрирован: 20.12.2009 - 17:28
Публикации: 7066

И наконец, опуская снимки по ургентности, куоторые выставлял ранее, последние снимки - цифровые за 1.11.2010 Данные ирригоскопии не выставляю - полный ноль. Была, правда неудачная, попытка бронхоскопии, из анамнеза, лечилась в торакальном отделении, выписана с ПЛЕВРИТОМ, как утверждает сама. Вот такой случай. Что скажете теперь?

Приложения: 
1_noyabrya_2010.jpg1_noyabrya_2010_bok.jpg
lupan аватар
Не на сайте
Был на сайте: 6 лет 10 месяцев назад
Зарегистрирован: 07.01.2010 - 17:17
Публикации: 1406

А что сказать? Обструкция н/д (промежуточного) бронха правого л-го, причем с июня-месяца. На реконструкциях культя. ФБС.

Великое преймущество врача заключается в том, что он не обязан следовать собственным советам. ( А. Кристи)

koriatus аватар
Не на сайте
Был на сайте: 3 года 2 дня назад
Зарегистрирован: 14.06.2010 - 01:49
Публикации: 452

Огромная просьба если не трудно вылодить архив КТ (DICOM или аксиальные снимки). По реконструкциям оценку делать нельзя. Коронары - только 2 скана. Тоде не очень убедительно. В принципе - весьм аверотяно ателектаз нижней доли с  гипервентиляцией верхней. ОЧЕНЬ хочется посмотреть на КТ. Не верю я что по КТ (основываясь по коронарам) могли сказать нормально в ООД. Может просто тут только на 2-х сканах коронарных кажется обструкция, а на самом деклк все проходимо... Оценить достоверно можно только по аксиалам.

koriatus аватар
Не на сайте
Был на сайте: 3 года 2 дня назад
Зарегистрирован: 14.06.2010 - 01:49
Публикации: 452

Огромная просьба выложить аксиальные снимки КТ . Не верб что в онкологии могли написать что все проходимо по КТ (если смотреть на коронар). Может просто так попадает скан? 

stovbav аватар
Не на сайте
Был на сайте: 2 года 2 месяцев назад
Зарегистрирован: 20.12.2009 - 17:28
Публикации: 7066

koriatus wrote:

Огромная просьба выложить аксиальные снимки КТ . Не верб что в онкологии могли написать что все проходимо по КТ (если смотреть на коронар). Может просто так попадает скан? 

Как пожелаете. Все сканы не обещаю, но кое что смогуwink....поверьте...там тоже культя...выкладываю как копировал, извините, что не подряд, думаю, разобраться будет несложно.

Приложения: 
00ff93db.jpg00ffd5d5.jpg0102f69d.jpg0103baf7.jpg0104b862.jpg0104ce6b.jpg0104de3a.jpg0104ef9f.jpg0108a024.jpg0109a1f4.jpg0109b879.jpg0109c7ea.jpg01030bdb.jpg010394b2.jpg010519cc.jpg01053dce.jpg01054e97.jpg01078adb.jpg01094136.jpg01091043.jpg01077484.jpg01076448.jpg
koriatus аватар
Не на сайте
Был на сайте: 3 года 2 дня назад
Зарегистрирован: 14.06.2010 - 01:49
Публикации: 452

Я не могу понять как могли сказать все нормально.... Наверное сказали, потому что уже ничего нельзя было сделать... Ателектаз нижней доли. 

Щас и снимки смотрю, в прицнипе все как в учебнике :((((( 

 

13 мартра - некрасивый правый корень (особенно это видно на правом боковом). + что-то слева. Надо дообследовать.

Потом (на след снимках)  видно уже произошел ателектаз нижней доли справа :(

На КТ- все явно видно. + слева в области корня тоже какой-тоинфильрат (на 1 скане вижу, что эт оо такое - надо покрутить). + медиастинальная лимфаденопатия.

ФБС. И ОД, Скорее всего поняли что ничего уже не сделаешь...  Правада я по нескольким акиалам про это не скажу (надо видеть все исследование). Вообщим мой бфы диагноз (по представленным сканам) был бы центральный с-r правого легокго + ателетаз нидней доли + мтс в медиастинальыне лимфоузлы (прходже и контрлатеральные) + мтс в противоположное легкое. Кончено, возможнг, увидев все исследование, я бы изменил мнение...

stovbav аватар
Не на сайте
Был на сайте: 2 года 2 месяцев назад
Зарегистрирован: 20.12.2009 - 17:28
Публикации: 7066

koriatus wrote:

 Вообщим мой бфы диагноз (по представленным сканам) был бы центральный с-r правого легокго + ателетаз нидней доли + мтс в медиастинальыне лимфоузлы (прходже и контрлатеральные) + мтс в противоположное легкое. Кончено, возможнг, увидев все исследование, я бы изменил мнение...

Вчера я сидел над этой всей библиотекой, конечно уже после работы, рассматривал и диву давался...почему она поступила в хирургический стационар, а на руках ни малейшей бумаженции, что где то, что то, когда то делал какие то исследования, выставлял какие то диагнозы. Приемственности, особенно с ООД - полный ноль.

Ателектаз нижней и средней долей не вызывал у меня сомнения еще на первых рентгенограммах, да простит меня Медея за провокационные вопросы по поводу увеличения доли. Как тут не вспомнить лекции Михаила Абрамовича Гинзбурга.

Слишком явным были изменения, дабы уложить их только в плеврит.

Клинически сейчас только покашливание, небольшая потеря в весе, да СОЭ 65. Вот и все.

Не ухватись я за картину ателектаза, так и ушла бы она домой "покашливать".

Заключение практически слово в слово повторяет Ваше, только я добавил...ателектаз нижней и средней доли...

koriatus аватар
Не на сайте
Был на сайте: 3 года 2 дня назад
Зарегистрирован: 14.06.2010 - 01:49
Публикации: 452

Конечно веротяно и средней (я просто не могу явно проследить все на представленных сканах - их немножко маловато). Хотя на коронаре видно, что обстукиця на уровне проимежуточного бронха где-то, так что вполне вроетяно и средняя "поехала". 

По снимкам как-то если четсно не очень получается у меня ателектаз средней рассмотреть (хотя, веротянее он тоже есть).

P.Sю Пересматриваю снимки- мда похоже аталектаз средней тоже. + гипервентиляция верхней (особенно на боковом впидно, как увеличено ретростернально епространвтсво и повышена его воздушность)

stovbav аватар
Не на сайте
Был на сайте: 2 года 2 месяцев назад
Зарегистрирован: 20.12.2009 - 17:28
Публикации: 7066

Да, гипервентиляция верхней доли справа очень показательна, как и симптом "кулис" по контуру атетектазированой части правого легкого.

Катенёв Валентин Львович аватар
Не на сайте
Был на сайте: 7 лет 2 недели назад
Зарегистрирован: 22.03.2008 - 22:15
Публикации: 54876

Да сейчас, оценивая только "рентгеновскую динамику", все становится на свои места, но и свидетельство отсутствия приемственности налицо.

stovbav аватар
Не на сайте
Был на сайте: 2 года 2 месяцев назад
Зарегистрирован: 20.12.2009 - 17:28
Публикации: 7066

Катенёв Валентин Львович wrote:

Да сейчас, оценивая только "рентгеновскую динамику", все становится на свои места, но и свидетельство отсутствия приемственности налицо.

Самое горькое, что это реалии каждого дня и время "не лечит" .....как было 25 лет назад, так и сейчас ...."идите на контроль...где предыдущий снимок?...так он дома....круг замкнулся..."....