А снег все шел и падал ... Травма.

Пол пациента: 
Тип патологии: 
Область исследования: 
Методы исследования: 

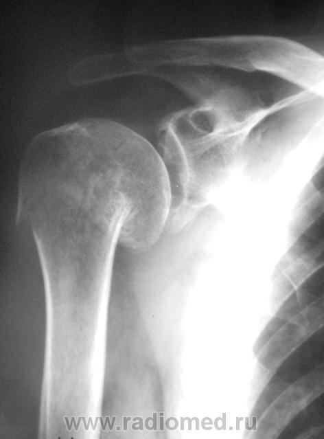
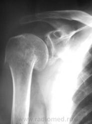
Случай № 1. Пациент направлен хирургом на рентгенографию плечевого сустава. 2 дня тому - травма.

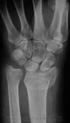
Случай 2.  Пациент направлен врачом хирургом на рентгенографию лучезапястного сустава.

 

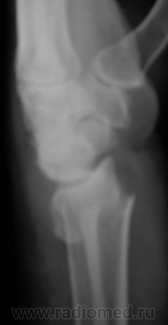
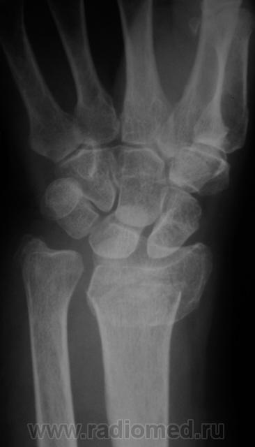
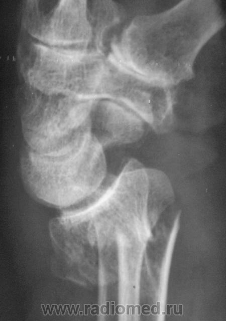
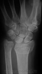
Случай 3. Пациент направлен врачом хирургом на рентгенографию лучезапястного сустава.

  • https://radiomed.ru/sites/default/files/styles/case_slider_image/public/user/12/2.Sneg_..JPG?itok=SUGhcIcK
  • https://radiomed.ru/sites/default/files/styles/case_slider_image/public/user/12/3.Sneg_.jpg?itok=UDlzGbMK
  • https://radiomed.ru/sites/default/files/styles/case_slider_image/public/user/12/11.Sneg_.jpg?itok=yOn3hJeH
  • https://radiomed.ru/sites/default/files/styles/case_slider_image/public/user/12/12._Sneg.jpg?itok=lMlDl6M1
  • https://radiomed.ru/sites/default/files/styles/case_slider_image/public/user/12/13.Sneg_.jpg?itok=SmjswqyH
  • https://radiomed.ru/sites/default/files/styles/case_slider_image/public/user/12/14._Sneg.jpg?itok=TU4rHrpT
  • https://radiomed.ru/sites/default/files/styles/case_slider_image/public/user/12/81.Sneg_.JPG?itok=4A1YLOFO
  • https://radiomed.ru/sites/default/files/styles/case_slider_image/public/user/12/82.Sneg_.jpg?itok=_hS96HJU
  • https://radiomed.ru/sites/default/files/styles/case_slider_image/public/user/12/83.Sneg_.JPG?itok=7IhIWPzD
ID:197
lupan аватар
Не на сайте
Был на сайте: 6 лет 10 месяцев назад
Зарегистрирован: 07.01.2010 - 17:17
Публикации: 1406

Вколоченный перелом шейки плечевой кости с отрывом большого бугра. Варусная деформация на уровне перелома.

Великое преймущество врача заключается в том, что он не обязан следовать собственным советам. ( А. Кристи)

Глазков Игорь Артурович аватар
Не на сайте
Был на сайте: 9 месяцев 2 недели назад
Зарегистрирован: 19.12.2008 - 20:41
Публикации: 1597

хирургической шейки плеча со смещением дистального отломка краниально.

А вот по-поводу второго случая: перелом луча в "типичном" месте, только вот смущает ладьевидная кость - какая-то она патологическая, имеется участок разряжения костной ткани в проекции головки кости или я ошибаюсь?

Прийди к Себе

Катенёв Валентин Львович аватар
Не на сайте
Был на сайте: 7 лет 2 недели назад
Зарегистрирован: 22.03.2008 - 22:15
Публикации: 54876

Случай 4.

Приложения: 
1.R..jpg2.R..jpg3.R..jpg4.R..jpg5.R..jpg6.R..jpg
Катенёв Валентин Львович аватар
Не на сайте
Был на сайте: 7 лет 2 недели назад
Зарегистрирован: 22.03.2008 - 22:15
Публикации: 54876

Случай 5.

 

Приложения: 
1..Lokt_..jpg2..Lokt_..jpg3..Lokt_..jpg4..Lokt_..jpg