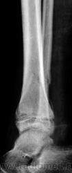
Сняли ГИПС...

Пол пациента: 
Тип патологии: 
Область исследования: 
Методы исследования: 

Сняли ГИПС...

  • https://radiomed.ru/sites/default/files/styles/case_slider_image/public/user/12/2.201201010065.jpg?itok=XsxQ12FS
  • https://radiomed.ru/sites/default/files/styles/case_slider_image/public/user/12/3.201308150066.jpg?itok=t364Tvex
ID:30949
Dima аватар
Не на сайте
Был на сайте: 7 лет 8 месяцев назад
Зарегистрирован: 05.08.2012 - 17:39
Публикации: 2467

Роно сняли или не срослось? А если не срослось, то почему? Суставную щель плохо видно.

Терпимость - это когда прощают чужие ошибки; такт - когда не замечают их. (Артур Шницлер)

maker4ik аватар
Не на сайте
Был на сайте: 9 лет 2 недели назад
Зарегистрирован: 19.10.2011 - 17:49
Публикации: 2682

Костная мозоль слабая.

Сергей Кузьминов аватар
Не на сайте
Был на сайте: 1 год 6 месяцев назад
Зарегистрирован: 06.10.2012 - 15:51
Публикации: 11813

Не срослось.

Катенёв Валентин Львович аватар
Не на сайте
Был на сайте: 7 лет 6 месяцев назад
Зарегистрирован: 22.03.2008 - 22:15
Публикации: 54876

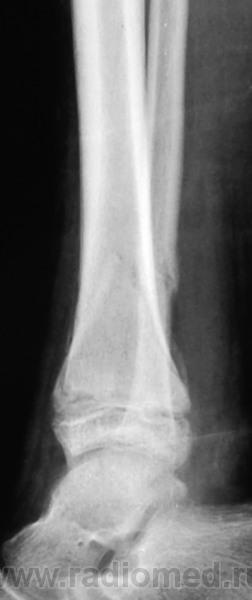
Вот в гипсе.

Приложения: 
11.201201010067.jpg12.201201010068.jpg
Vega аватар
Не на сайте
Был на сайте: 5 месяцев 1 неделя назад
Зарегистрирован: 22.01.2009 - 19:16
Публикации: 1087

Не очень хорошее смещение в вальгус, что может привести к нежелательным последствиям. Обычно после репозиции таких переломов необходимо наложить гипс в положении варусной гиперкоррекции, в противном случае такие вторичные смещения - нередкость...

Катенёв Валентин Львович аватар
Не на сайте
Был на сайте: 7 лет 6 месяцев назад
Зарегистрирован: 22.03.2008 - 22:15
Публикации: 54876

Следовательно, гипс снова?

Vega аватар
Не на сайте
Был на сайте: 5 месяцев 1 неделя назад
Зарегистрирован: 22.01.2009 - 19:16
Публикации: 1087

Если по-нормальному, то - остеоклазия с коррекцией оси, фиксация спицами (опционально, но желательно для предотвращения вторичного смещения) либо без фиксации (менее желательно). И конечно, гипс в положении коррекции. 

Либо просто продление иммобилизации с осевой нагрузкой в гипсе (это если как обычно).