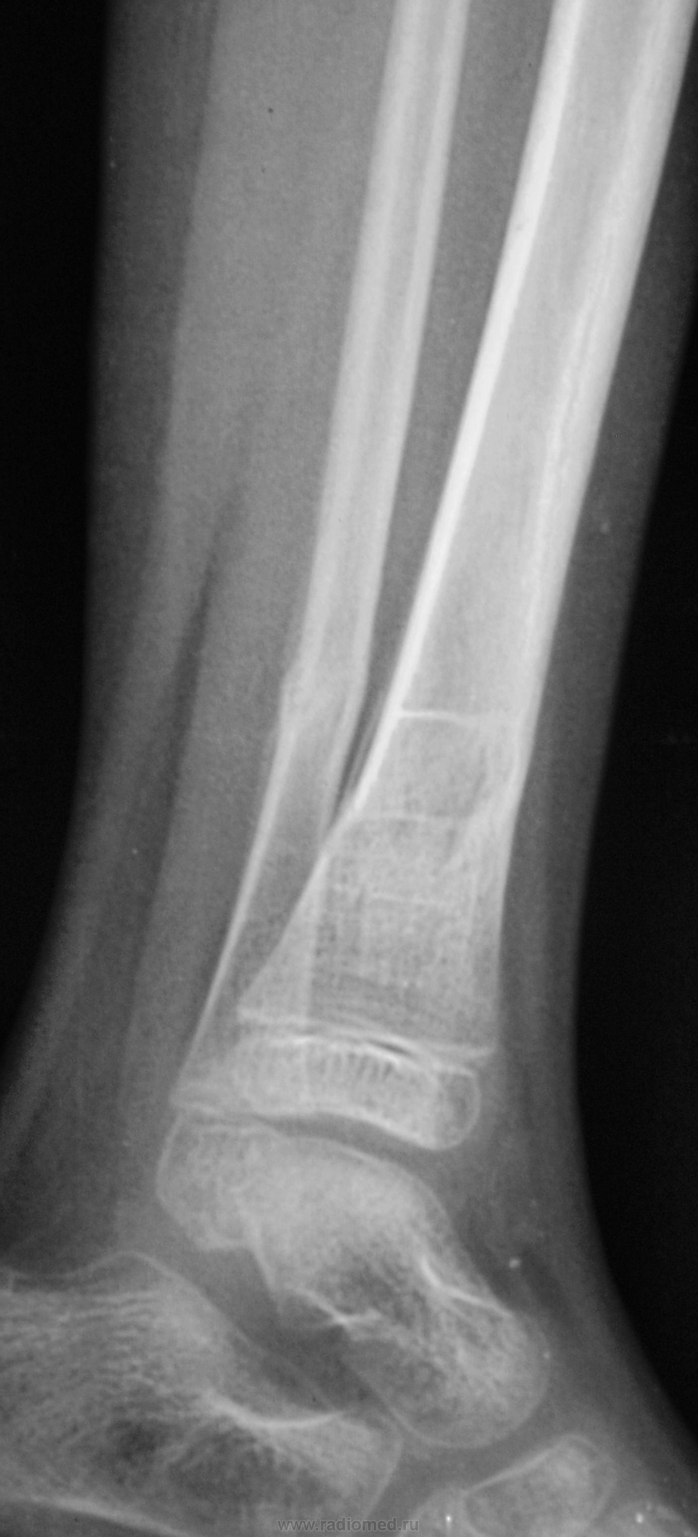
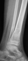
Пол пациента: Женский пол Тип патологии: Травма Область исследования: Скелетно-мышечная система Методы исследования: Rg Снят гипс. Пациент направлен на «контрольные» снимки. Какие мнения будут уважаемые коллеги? https://radiomed.ru/sites/default/files/styles/case_slider_image/public/user/12/2.p8260008.jpg?itok=6w6bzjZb https://radiomed.ru/sites/default/files/styles/case_slider_image/public/user/12/3.p8260006.jpg?itok=o220V7Pk https://radiomed.ru/sites/default/files/styles/case_slider_image/public/user/12/4.p8260007.jpg?itok=JhfzL2sT ID:15021 Вс, 28/08/2011 - 21:04 #1 Vega Не на сайте Был на сайте: 1 день 3 часа назад Зарегистрирован: 22.01.2009 - 19:16 Публикации: 1087 Смещение в вальгус не очень благоприятно, но в данном возрасте допустимо. Не спешить только с полной нагрузкой. Вс, 28/08/2011 - 21:23 #2 Катенёв Валенти... Не на сайте Был на сайте: 7 лет 3 недели назад Зарегистрирован: 22.03.2008 - 22:15 Публикации: 54876 Спасибо Вега! Пнд, 29/08/2011 - 12:29 #3 гаур моника Не на сайте Был на сайте: 14 лет 3 месяцев назад Зарегистрирован: 07.07.2011 - 12:17 Публикации: 27 была травма?????? есле после репозиции то картина хорошая... Пнд, 29/08/2011 - 14:08 #4 Катенёв Валенти... Не на сайте Был на сайте: 7 лет 3 недели назад Зарегистрирован: 22.03.2008 - 22:15 Публикации: 54876 гаур моника wrote: была травма?????? есле после репозиции то картина хорошая... Травма была, репозицию не делали, загипсовали.... Пнд, 29/08/2011 - 14:12 #5 krok Не на сайте Был на сайте: 13 лет 4 месяцев назад Зарегистрирован: 04.08.2011 - 18:13 Публикации: 13 Уважаемый Валентин Львович! Сколько лет юной прелестнице? Геннадий. Пнд, 29/08/2011 - 14:13 #6 Катенёв Валенти... Не на сайте Был на сайте: 7 лет 3 недели назад Зарегистрирован: 22.03.2008 - 22:15 Публикации: 54876 В районе 10-12. Пнд, 29/08/2011 - 14:14 #7 krok Не на сайте Был на сайте: 13 лет 4 месяцев назад Зарегистрирован: 04.08.2011 - 18:13 Публикации: 13 Благодарствую! Геннадий.
Смещение в вальгус не очень благоприятно, но в данном возрасте допустимо. Не спешить только с полной нагрузкой.
Спасибо Вега!
была травма?????? есле после репозиции то картина хорошая...
Травма была, репозицию не делали, загипсовали....
Уважаемый Валентин Львович! Сколько лет юной прелестнице?
Геннадий.
В районе 10-12.
Благодарствую!
Геннадий.