Сочетание рака нижней трети пищевода и хронической язвы желудка.

Пол пациента: 
Область исследования: 
Методы исследования: 

Катенёв В.Л.

 

Случай из практики «Сочетание рака нижней трети пищевода и хронической язвы желудка».

 

(Рентгенологическое отделение МУЗ «Красногвардейская центральная районная больница» Белгородской области).

 

Пациент 53 лет направлен на рентгенологическое исследование органов желудочно-кишечного тракта терапевтом поликлиники. Пациент отмечает, что в течение последнего месяца у него появились проблемы с глотанием.

 

При обзорном рентгенотелевидении органов грудной полости патологических изменений не выявлено. Со стороны глотки патологических изменений не обнаружено.

1.
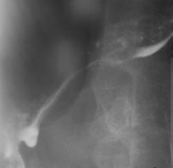
1.

 

 

Иллюстрация 1. Пищевод обычного расположения, хорошо контрастирован в верхней и средней трети за счет резкого «эксцентрического» сужения просвета пищевода в нижней трети грудного отдела. Контрастная взвесь тонкой струйкой «распределяется» по патологически измененному участку пищевода.

2.
2.
3.
3.

 

 

Иллюстрации 2, 3. Складки слизистой оболочки не дифференцируются, рельеф измененной части пищевода характеризуется, как атипический, хаотический. Депо контрастного вещества в виде неправильной формы «ниш», а также точечных «импергнаций» свидетельствуют об изъязвлениях. Стенка пищевода на уровне поражения ригидна. При функциональных дыхательных пробах и при форсированном дыхании, а также при изменении положения пациента пищевод в области пораженной части не смещаем, что косвенным образом свидетельствует «о прорастании», выходе процесса за пределы стенки пищевода.

4.
4.
5.
5.

 

 

Иллюстрация 4. Брюшная часть пищевода, ниже «места поражения» контрастируется обычно. Субкардиально по малой кривизне, ближе к задней стенке желудка определяется округлой формы тень хронической язвенной ниши.

6.
6.
7.
7.

 

 

Иллюстрация 5, 6. В боковой проекции определяется концентрическое сужение нижней трети пищевода, выражено нависание интактной стенки пищевода в виде «кулис» над суженным участком – иллюстрация 7. Контуры сужения неровные и нечеткие. Атипически перестроенный рельеф импергнирован бариевой взвесью.

8.
8.

 

 

Иллюстрация 8. Угол Гиса увеличен. Желудок обычного расположения, формы и размеров, натощак содержит некоторое количество жидкости и слизи, которое в процессе исследования нарастает.

9.
9.
10.
10.

 

 

Иллюстрация 9, 10. По малой кривизне желудка субкардиально, ближе к задней кривизне определяется язвенная «контур-ниша» до 2 см. в диаметре в области основания, с довольно ровными, четкими контурами, с умеренно выраженным, не симметричным воспалительным валом вокруг. Четко визуализируются гиперплазированные складки слизистой желудка, ориентированные по магистральному типу. В окружности язвенной ниши рельеф слизистой перестроен по выраженному «зернистому типу».

ВложениеРазмер
Иконка изображения 1.55.14 КБ
Иконка изображения 2.61.62 КБ
Иконка изображения 3.56.21 КБ
Иконка изображения 4.71.05 КБ
Иконка изображения 5.48.95 КБ
Иконка изображения 6.74.27 КБ
Иконка изображения 7.46.29 КБ
Иконка изображения 8.60.59 КБ
Иконка изображения 9.74.67 КБ
Иконка изображения 10.94.96 КБ
Катенёв Валентин Львович аватар
Не на сайте
Был на сайте: 7 лет 4 недели назад
Зарегистрирован: 22.03.2008 - 22:15
Публикации: 54876

В своё время ни одного комментария...

NIL аватар
NIL
Не на сайте
Был на сайте: 4 часа 47 минут назад
Зарегистрирован: 25.11.2013 - 20:50
Публикации: 18208

Катенёв Валентин Львович wrote:

В своё время ни одного комментария...

Что ж комментировать. Ни убавить, ни прибавить. Только печалиться...ни козырей, ни масти.


"Слушай всех, прислушивайся к немногим, решай сам".©