Состояние после нефроэктомии слева.

Пол пациента: 
Область исследования: 
Методы исследования: 

Пациент 56 лет, в последних числах июня месяца был прооперирован по поводу cr левой почки, спустя 2 недели после операции возникли боли в нижних конечностях и отечность голеней, при этом  отмечается набухание вен передней стенки живота. Данные жалобы перечислил ангиохирург, который обратился к нам повторно пересмотреть проведенное исследование.

 


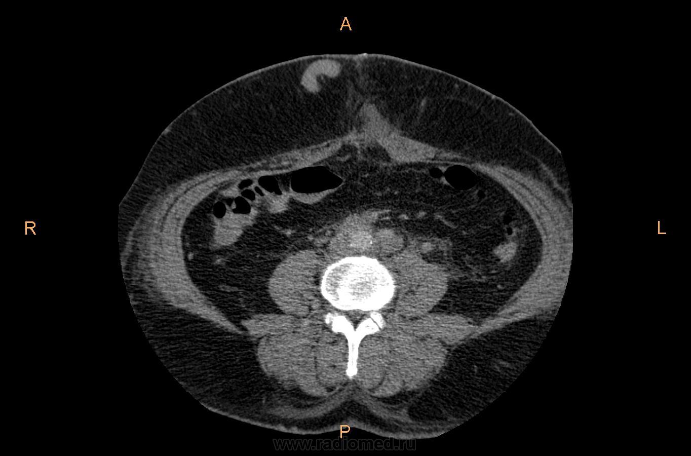
 МСКТ-органов брюшной полости от 21.06.2010г. до оперативного вмешательства:

 



МСКТ-органов брюшной полости от 26.07.10г. после оперативного вмешательства:







ID:5108
iozefi аватар
Не на сайте
Был на сайте: 11 лет 8 месяцев назад
Зарегистрирован: 25.08.2010 - 09:54
Публикации: 170

Вот пример полного идиотизма с хирургической точки зрения. Больной исходно с забрюшинными метастазами до бифуркации, кто дал добро на нефрэктомию? Наверняка оперирован человеком не имеющим ни лицензии на онкоурологию, не сертификата онколога, ещё и наверняка в учереждении не имеющей лицензии на онкопомощь. Отёк голеней послеоперационный, не редко, возникает вследствие малой подвижности, как причина, плюс есть возможность некоторых нарушений клапанного аппарата лимфатических и венозных сосудов нейрорегуляторного генеза ( на миорелаксантах, при перекладывании больного, возникающими протрузиями, могут ущимляться мелкие ветки в поясничных сегментах позвоночника) тоже как вариант. Подкожная вена почему? Да потому, что это возникшая коллатераль, пересекли крупную венозную ветку при лапаротомии, перевязали, вот она и вздулась, рядом лежащая, более мелкого калибра.

с уважением. Иозефи Д.

Nela аватар
Не на сайте
Был на сайте: 6 лет 6 месяцев назад
Зарегистрирован: 12.05.2009 - 20:43
Публикации: 1847

Вены то были и до операции, впрочем, как и лимфоузлы.

iozefi аватар
Не на сайте
Был на сайте: 11 лет 8 месяцев назад
Зарегистрирован: 25.08.2010 - 09:54
Публикации: 170

ага, точно, ну значит за счёт портальной гипертензии, ну смысл не меняет собственно. 

с уважением. Иозефи Д.

v1tal аватар
Не на сайте
Был на сайте: 5 лет 2 месяцев назад
Зарегистрирован: 07.06.2008 - 19:41
Публикации: 1779

На сколько помню, данный пациент был прооперирован урологами с подачи онкологов, аналогичное негодование frown.

"Знаешь, у некоторых врачей есть комплекс мессии — им необходимо спасать мир. А у тебя комплекс Рубика — тебе необходимо решать головоломки."

iozefi аватар
Не на сайте
Был на сайте: 11 лет 8 месяцев назад
Зарегистрирован: 25.08.2010 - 09:54
Публикации: 170

отлиииииично, у кого-то открыта лицензия на уничтожение населения, тем более печально, раз с согласования.

с уважением. Иозефи Д.

intervent_r аватар
Не на сайте
Был на сайте: 12 лет 11 месяцев назад
Зарегистрирован: 04.08.2009 - 16:23
Публикации: 74

В чем состоит смысл данной демонстрации: оперировать больных с мтс можно - удаление первичного очага в сочетании с иммунотерапией улучшает прогноз заболевания. Расширение пупочной вены было и до операции (подкожная вена вообще относится к венам нижних конечностей). Виталий - еще раз проясните Вашу позицию или поставьте вопрос который надо обсудить.

v1tal аватар
Не на сайте
Был на сайте: 5 лет 2 месяцев назад
Зарегистрирован: 07.06.2008 - 19:41
Публикации: 1779

intervent_r wrote:

В чем состоит смысл данной демонстрации: оперировать больных с мтс можно - удаление первичного очага в сочетании с иммунотерапией улучшает прогноз заболевания. Расширение пупочной вены было и до операции (подкожная вена вообще относится к венам нижних конечностей). Виталий - еще раз проясните Вашу позицию или поставьте вопрос который надо обсудить.

Данный случай продемонстрировал для показа после операционной динамики онкологического пациента, потому как химиотерапия  продлила бы жизнь пациента.  

"Знаешь, у некоторых врачей есть комплекс мессии — им необходимо спасать мир. А у тебя комплекс Рубика — тебе необходимо решать головоломки."