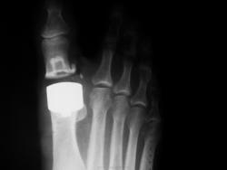
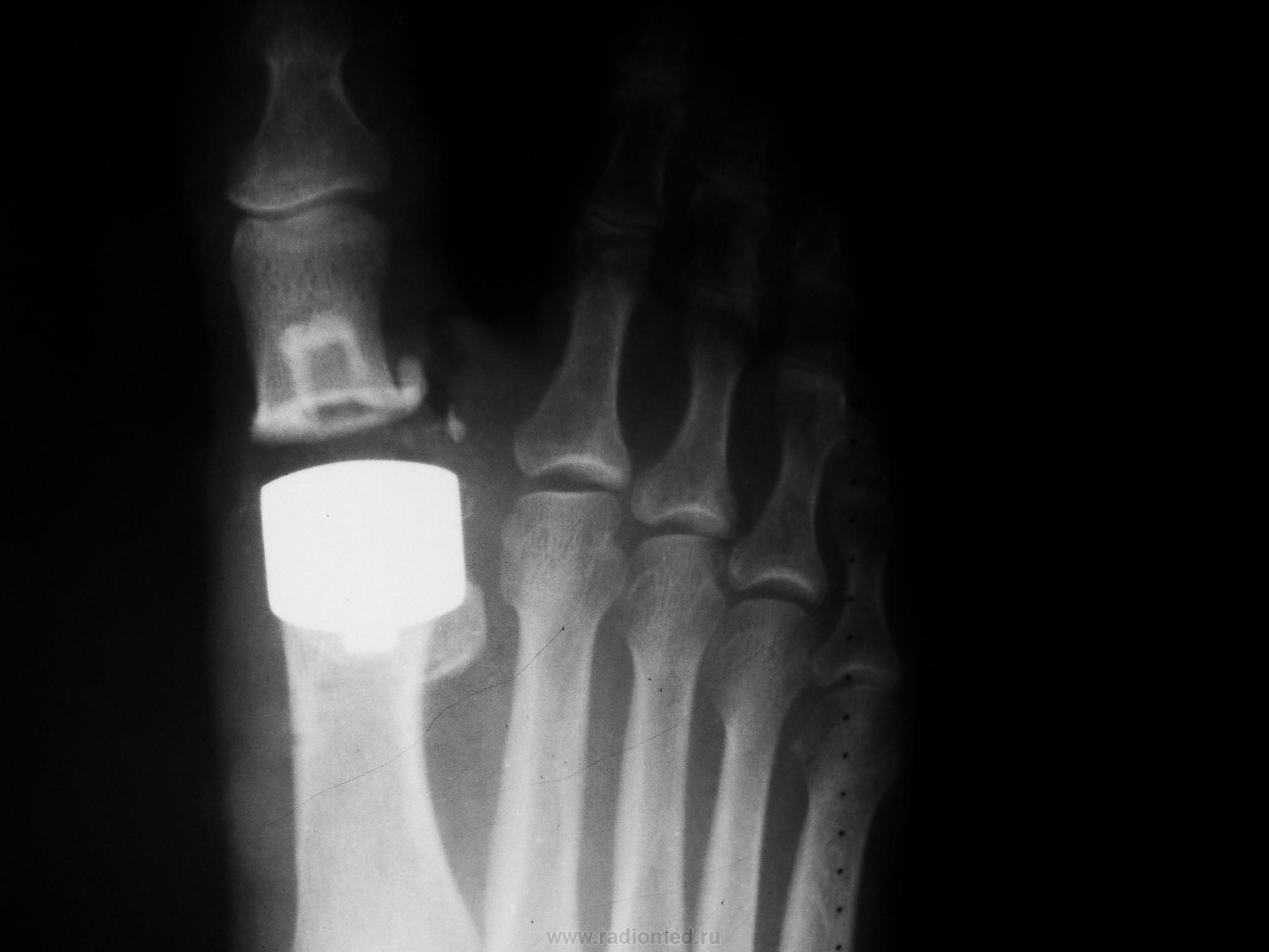
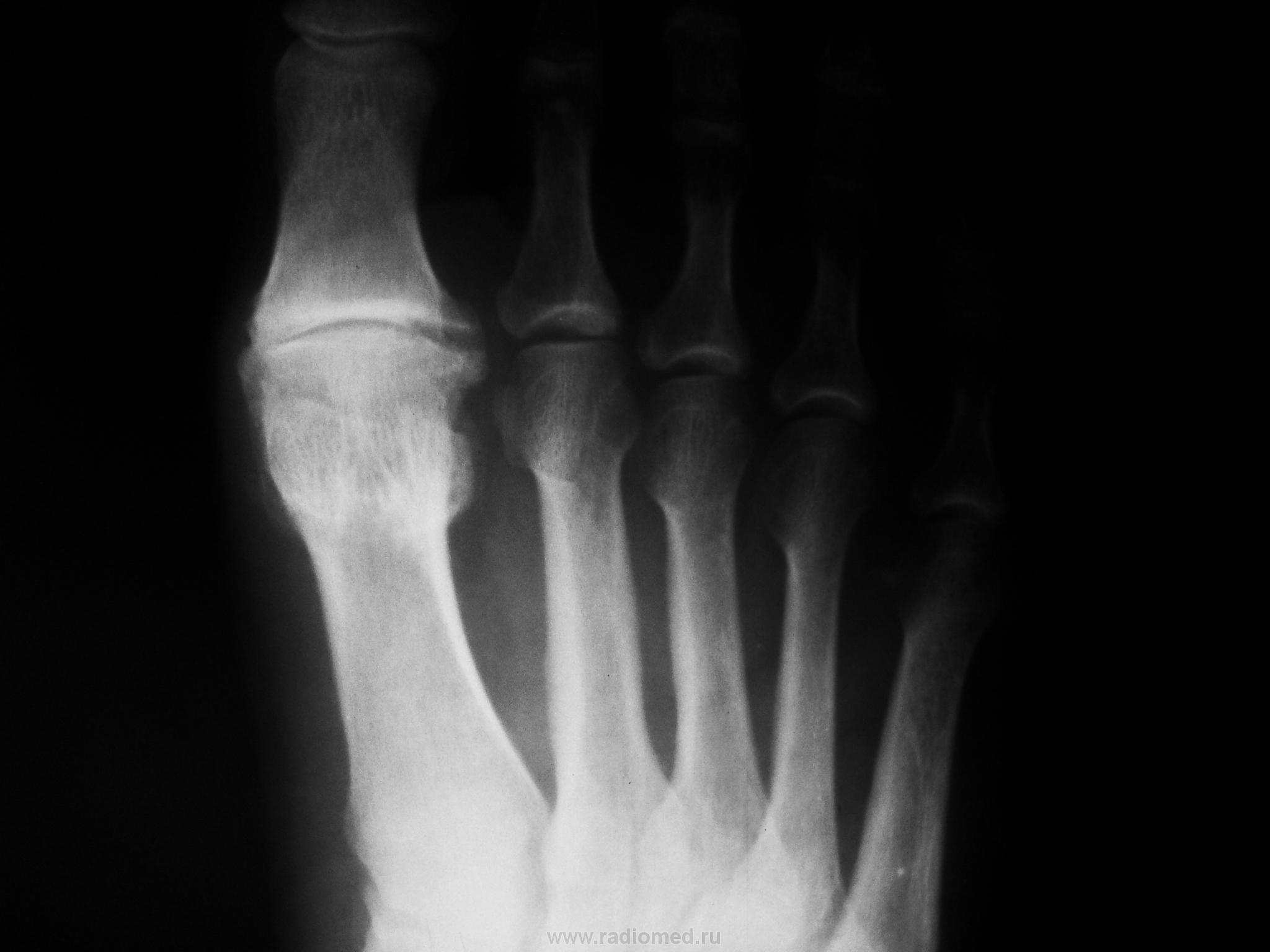
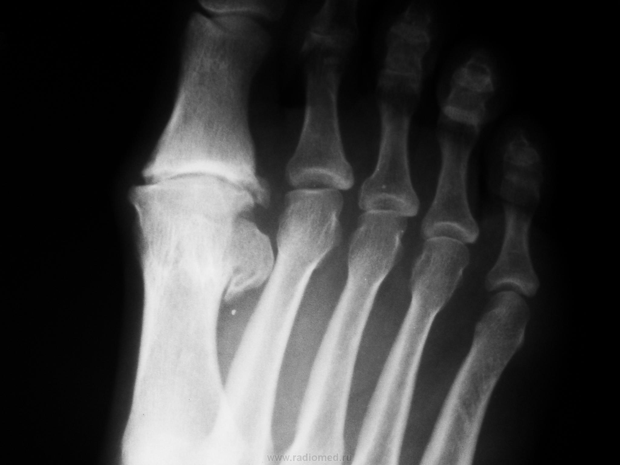
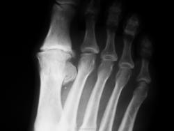
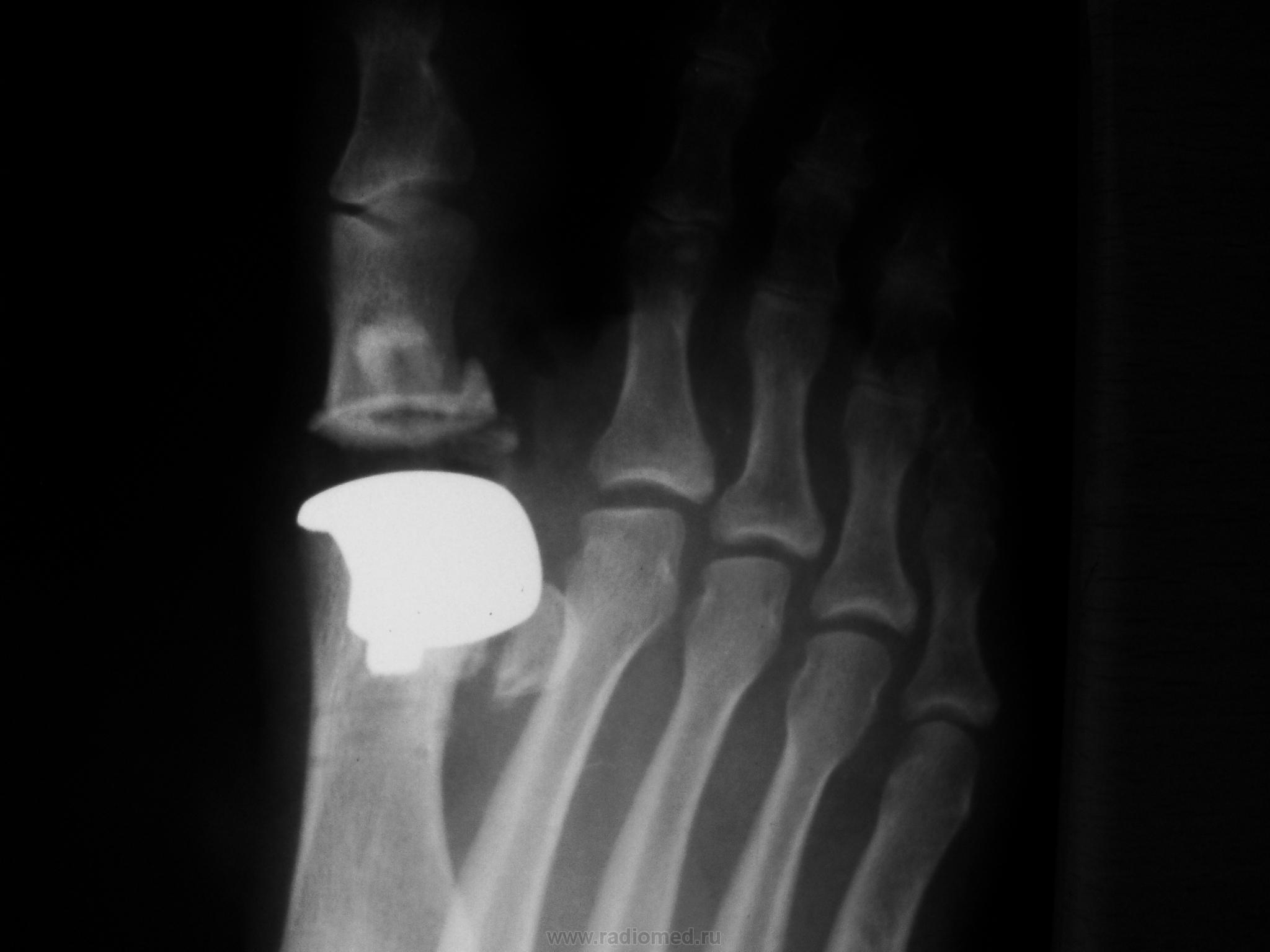
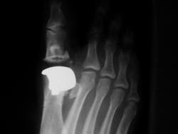
Один из методов лечения поперечного палоскостопия с выраженым дефартрозом 1 пл-ф суст. Операция Вредена-Мейо+ операция Брандеса+формирование поперечной связки стопы+протезирование. Померяйте какой сейчас Hallux valgus, опишите состояние культи и протеза.
Уважаемая Медея(вот красивое имя у Вас), к сожалению с протезированием данного сустава я не сталкивался, скажите Вы выставили первичный снимок до операции ( вальгус там не большой), какие причины сподвигли докторов заменить сустав? боль? нарушение опоры, ходьбы?у Вас это рядовая операция или "будем пробовать" , с таким варусом сложно обувь подобрать, поперечный свод стопы стал еще шире.....
1.Вот интересно. У Вас это ГДЕ (если не секрет)?...перешерстил кучу сайтов Германии и Израиля...там и то такими суставами широко не занимаются....
2. Трактуйте картину какова она есть, желательно - как можно детальнее. Как там с отеком еще будет: спадет- не спадет, восстановится ось - не восстановиться - Вы свое дело сделали, а это главное.
Один из методов лечения поперечного палоскостопия с выраженым дефартрозом 1 пл-ф суст. Операция Вредена-Мейо+ операция Брандеса+формирование поперечной связки стопы+протезирование. Померяйте какой сейчас Hallux valgus, опишите состояние культи и протеза.
Хочешь сделать что-то нормально - сделай это сам!
Уважаемая Медея(вот красивое имя у Вас), к сожалению с протезированием данного сустава я не сталкивался, скажите Вы выставили первичный снимок до операции ( вальгус там не большой), какие причины сподвигли докторов заменить сустав? боль? нарушение опоры, ходьбы?у Вас это рядовая операция или "будем пробовать" , с таким варусом сложно обувь подобрать, поперечный свод стопы стал еще шире.....
Немного не в тему - о протезировании суставов кисти, но близко к Вашему вопросу, може заинтересует http://www.biotechnika.ru/index.php?option=com_content&view=article&id=14&Itemid=20&a07c2f58d1619cfc178a89241c760fc7=545e4d9670e777508970b0aa074b0c6b
Болезни ног: виды, симптомы, причины, профилактика и лечение
1.Вот интересно. У Вас это ГДЕ (если не секрет)?...перешерстил кучу сайтов Германии и Израиля...там и то такими суставами широко не занимаются....
2. Трактуйте картину какова она есть, желательно - как можно детальнее. Как там с отеком еще будет: спадет- не спадет, восстановится ось - не восстановиться - Вы свое дело сделали, а это главное.
Болезни ног: виды, симптомы, причины, профилактика и лечение