Способ решения проблемы

Пол пациента: 
Тип патологии: 
Область исследования: 
Методы исследования: 

Таким способом была решена проблема данного больного.

1. Какая проблема?

2. Как решена?

 

  • https://radiomed.ru/sites/default/files/styles/case_slider_image/public/user/2667/pozitiv_1.jpg?itok=LmVeaJ2G
ID:10635
Матвей аватар
Не на сайте
Был на сайте: 14 лет 8 месяцев назад
Зарегистрирован: 27.11.2010 - 22:50
Публикации: 95

По крайней мере похоже

stovbav аватар
Не на сайте
Был на сайте: 2 года 2 месяцев назад
Зарегистрирован: 20.12.2009 - 17:28
Публикации: 7066

Матвей wrote:

По крайней мере похоже

Выражаясь Вашим стилем - по крайней мере очень и очень близко к истине....

С Вашего позволения пока паузу потяну.....

Dr.Mario аватар
Не на сайте
Был на сайте: 11 лет 1 месяц назад
Зарегистрирован: 06.08.2008 - 08:44
Публикации: 920

Фундопликация Ниссена, видимо неудачная.

Let me see...

radiographia.ru

stovbav аватар
Не на сайте
Был на сайте: 2 года 2 месяцев назад
Зарегистрирован: 20.12.2009 - 17:28
Публикации: 7066

Dr.Mario wrote:

Фундопликация Ниссена, видимо неудачная.

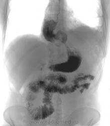
1.Анамнез у этого 45 летнего мужчины давний...болеет с детства, когда был первый раз оперирован на пищеводе...

 2. Фундапликаций небыло, были попытки восстановить проходимость, но, как Вы заметили, неудачные.

3. Сейчас (1,5 мес назад) была проведена операция - наложение эзофагофундоанастомоза

Приложения: 
negativ_1_-_kopiya.jpg
Dr.Mario аватар
Не на сайте
Был на сайте: 11 лет 1 месяц назад
Зарегистрирован: 06.08.2008 - 08:44
Публикации: 920

Ясно, спасибо. Интересная операция.

Let me see...

radiographia.ru

Матвей аватар
Не на сайте
Был на сайте: 14 лет 8 месяцев назад
Зарегистрирован: 27.11.2010 - 22:50
Публикации: 95

Есть только такие картинки (извините, если не подходят, уберу)

Приложения: 
image013.jpg
stovbav аватар
Не на сайте
Был на сайте: 2 года 2 месяцев назад
Зарегистрирован: 20.12.2009 - 17:28
Публикации: 7066

В продолжение темы....

А какая проблема была тут?...и что было сделано?...

Завтра этот случай, надеюсь, будет продолжен...а пока извините за качество....фотокопии оригиналов...

Приложения: 
foto007_b_nvbn.jpgfoto008ghnm.jpgfoto009bmbm.jpg
i_vuduborets аватар
Не на сайте
Был на сайте: 11 лет 4 месяцев назад
Зарегистрирован: 14.04.2010 - 17:59
Публикации: 87

очень похоже на пластику пищевода толстой кишкой (по автору не берусь обозвать-мало знаний : ))), а первый снимок похоже сделан до того...или нет? интересно было бы узнать анамнез

stovbav аватар
Не на сайте
Был на сайте: 2 года 2 месяцев назад
Зарегистрирован: 20.12.2009 - 17:28
Публикации: 7066

Выпил щелочь...Вы правы - ожег пищевода - пластика толстой кишкой...

А делается это примерно так....вот несколько видов...

Приложения: 
245-1.gif
Матвей аватар
Не на сайте
Был на сайте: 14 лет 8 месяцев назад
Зарегистрирован: 27.11.2010 - 22:50
Публикации: 95

Такой пластики еще не видел.

Сан Саныч1 аватар
Не на сайте
Был на сайте: 11 месяцев 4 недели назад
Зарегистрирован: 07.06.2010 - 21:17
Публикации: 2114

Виктор Григориевич, у вас такие интересные случаи часто встречаются? У нас не чаще раза в год, и это есть плохо. Чисто с научной точки зрения, конечно.

Хочешь сделать что-то нормально - сделай это сам!

stovbav аватар
Не на сайте
Был на сайте: 2 года 2 месяцев назад
Зарегистрирован: 20.12.2009 - 17:28
Публикации: 7066

Сан Саныч1 wrote:

Виктор Григориевич, у вас такие интересные случаи часто встречаются? У нас не чаще раза в год, и это есть плохо. Чисто с научной точки зрения, конечно.

Как когда, Сан Саныч...например сейчас - три случая за два дня...а когда и ни одного в год ))))

Сегодня вечером выставлю продолжение второго случая и третий случай - все из раздела - перенесеные операции на пищеводе.

stovbav аватар
Не на сайте
Был на сайте: 2 года 2 месяцев назад
Зарегистрирован: 20.12.2009 - 17:28
Публикации: 7066

В продолжение второго случая - сегодняшний контроль....без коментариев...

Приложения: 
a1.jpga2.jpga3.jpga4.jpga5.jpga6.jpga7.jpga8.jpg
stovbav аватар
Не на сайте
Был на сайте: 2 года 2 месяцев назад
Зарегистрирован: 20.12.2009 - 17:28
Публикации: 7066

Случай третий...из той же оперы...проблема (какая?) решена...(как?)....

Последние три снимка - до операции за 2006 и 2007 годы...

Приложения: 
pl3.jpgpl1b.jpgpl2gn.jpgpl4_n.jpgfoto000ojb.jpg2006_god_rubcovoe_1.jpg2007_god_rubcovoe_1.jpg2007_god_rubcovoe_2.jpg
Сан Саныч1 аватар
Не на сайте
Был на сайте: 11 месяцев 4 недели назад
Зарегистрирован: 07.06.2010 - 21:17
Публикации: 2114

В предпоследнем случае, если я правильно рассмотрел, анастомоз в средней трети желудка по задней стенке?

В последнем случае пластика кардии, только не пойму чем.

Хочешь сделать что-то нормально - сделай это сам!

stovbav аватар
Не на сайте
Был на сайте: 2 года 2 месяцев назад
Зарегистрирован: 20.12.2009 - 17:28
Публикации: 7066

Сан Саныч1 wrote:

В предпоследнем случае, если я правильно рассмотрел, анастомоз в средней трети желудка по задней стенке?

В последнем случае пластика кардии, только не пойму чем.

Все правильно  по второму случаю; правильно и третьему, только там просто пластика, без замены фрагмента, а причина известная, рубцовое сужение...

Петрович аватар
Не на сайте
Был на сайте: 7 лет 3 месяцев назад
Зарегистрирован: 22.03.2009 - 01:13
Публикации: 3908

Вернёмся к началу.

stovbav wrote:
Таким способом была решена проблема данного больного.

 

1. Какая проблема?

2. Как решена?

3. Сейчас (1,5 мес назад) была проведена операция - наложение эзофагофундоанастомоза

Видимо проблемой была ахалазия пищевода. Решение озвучено.

Неоднозначно всё

stovbav аватар
Не на сайте
Был на сайте: 2 года 2 месяцев назад
Зарегистрирован: 20.12.2009 - 17:28
Публикации: 7066

Петрович wrote:

Вернёмся к началу.

stovbav wrote:
Таким способом была решена проблема данного больного.

 

1. Какая проблема?

2. Как решена?

3. Сейчас (1,5 мес назад) была проведена операция - наложение эзофагофундоанастомоза

Видимо проблемой была ахалазия пищевода. Решение озвучено.

Да, Петрович, первично была ахалазия, потом пару операций. Если Вам интересно,могу выложить результаты исследования и до операции.

Петрович аватар
Не на сайте
Был на сайте: 7 лет 3 месяцев назад
Зарегистрирован: 22.03.2009 - 01:13
Публикации: 3908

 

 

Конечно выкладывайте, Виктор Григорьевич. Это интересно всем, особенно младшим коллегам. Матвею особо пригодится. Для коллекции картинок)).

А в чём неудачность операции в этом случае? Не понял по единственному снимку.

Неоднозначно всё

stovbav аватар
Не на сайте
Был на сайте: 2 года 2 месяцев назад
Зарегистрирован: 20.12.2009 - 17:28
Публикации: 7066

Петрович wrote:

А в чём неудачность операции в этом случае? Не понял по единственному снимку.

Последнее оперативное вмешательство  с хорошим результатом (первый случай), неудачными были ПРЕДЫДУЩИЕ попытки пластики, со временем проходимость опять ухудшалась.

Снимки до последней операции - за 2006 и 2007 гг., сделаны с временной экспозицией не менее 40 мин отначала исследования.

Приложения: 
2006_god.jpg2007_god_1.jpg2007_god_2.jpg