Пол пациента:
Тип патологии:
Область исследования:
Методы исследования:
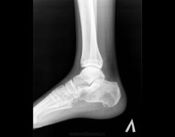
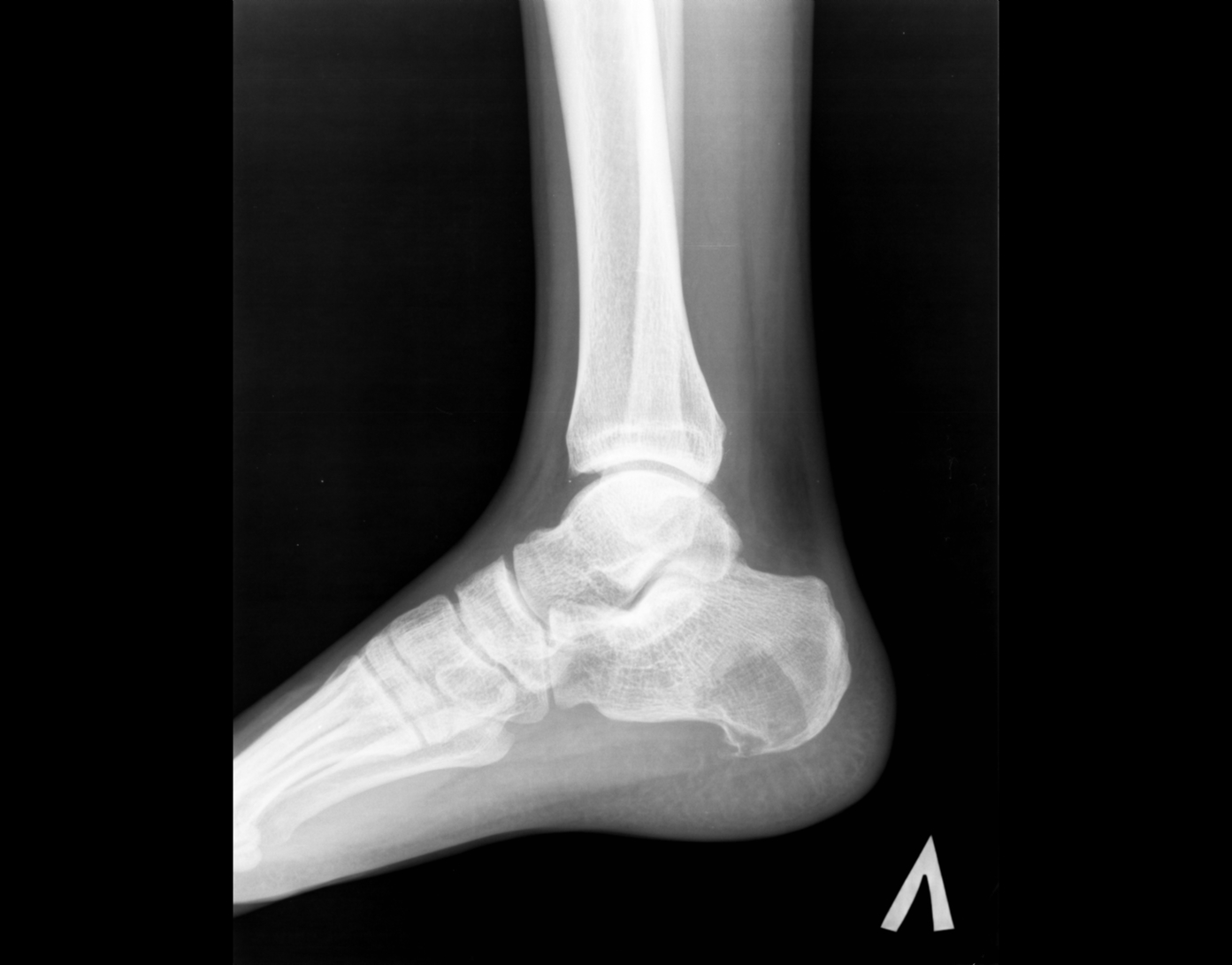
Здравствуйте! Я - молодой доктор, оставшийся один в отделении на целый месяц. Непонятных мне снимков много, вот отдин из них. Женщина 1938г.р., направлена на снимки голеностопного сустава с диагнозом: Артроз. Артроза не вижу, но пяточная кость вызывает подозрения. Что это может быть? Помогите разобраться.
Киста пяточной кости.
Можно - по ссылке http://www.rniito.org/journal/2008,1/20-26.pdf
Можно и сайте поскать, есть материалы))))
Болезни ног: виды, симптомы, причины, профилактика и лечение
+1. Для опыта по-рекомендовал бы сделать аксиальный снимок и томограммы.
Спасибо! За комментарии и ссылку. Я думала, что костные кисты встречаются только в молодом возрасте. Теперь не так страшно )))
Липома пяточной кости
Из архива AFIP
Липома внутрикостная.
.
fibroma.jpg166.11 кб
kostnaya_kista.jpg86.5 кб
Здравствуйте коллега!
Я думаю этого хватит. За Вами осталось выставить дифференциально-диагностический ряд.
Успехов Вам в нашей интереснейшей работе! Всех Вам благ!
Валентин Львович как добрый волшебник!!всегда подскажет, поможет да еще и картинку красивую найдет!Спасибо ВАМ за это!
Спасибо большое, Валентин Львович! За понимание, поддержку и такой наглядный материал!
А еще пяточная шпора и энтезопатия ахиллова сухожилия.
Ну да хватит! А вот еще http://www.radiomed.ru/forum/eta-zagadochnaya-pyatochnaya-kost
P.S. При интраоссальной липоме характерны центральные обызвествления
"самоуверенность дилетантов - предмет зависти профессионалов"
Конечно, Вы правы Глубокоуважаемая Татьяна Валентиновна! Конечно, "злокачественность" должная быть учтена. Мне надолго запомнилось, Вы упоминали, фразу Вашего учителя (возможно цитирую не точно) - "Доброкачественные, злокачественные + вся остальная костная патология" - очень мудрый "вектор" в диагностике, и не только в костной...
2.
3.
img_69_1.jpg34.57 кб
1.a..jpg105.36 кб
1.b..jpg74.98 кб
1.v..jpg107.11 кб
1.g..jpg73.25 кб
Аневризматическая костная киста.
2.ane_.slayd161.jpg46.28 кб
3.ane_.slayd162.jpg51.4 кб
4.ane_.slayd163.jpg53.71 кб
2.ane_.slayd51.jpg44.23 кб
3.ane_.slayd52.jpg47.43 кб
4.ane_.slayd53.jpg41.54 кб
Остеобластома.
vol_1_page_311.jpg41.64 кб
vol_1_page_312.jpg63.23 кб
vol_1_page_313.jpg75.13 кб
Остеоид - остеома.
Глубокоуважаемый Валентин Львович! Ничего такого про злокачественность я не говорила. Я спросила: почему это интраоссальной липомы "хватит" для диф. ряда? Тем более, что здесь есть вздутие, нет обызвествлений, т.е. не самая характерная картина для интраоссальной липомы
На самом деле, я бы в заключение вынесла "кисту" и рекомендовала МРТ
"самоуверенность дилетантов - предмет зависти профессионалов"
Бедненький молодой доктор ,оставшийся один в отделении,(еще наверняка и.о.)не парализуй рабту отделения из-за одной пятки!!!!!!!ну я шучу конечно
Вылегжанина Юлия
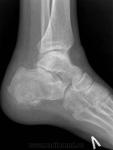
К вопросу о пяточной кисте...Является ли участок разрежения костной структуры на верхней поверхности пяточной кости кистой?
Игра теней, как по мне))))....мысленно продлите это просветление вверх, нет ли общего?
Болезни ног: виды, симптомы, причины, профилактика и лечение
а мне кажется там киста