Странный КЕЙС...........

Пол пациента: 
Область исследования: 
Методы исследования: 

 

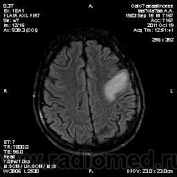
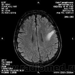
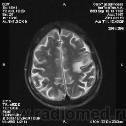
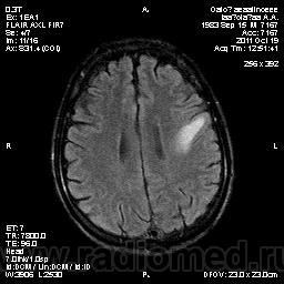
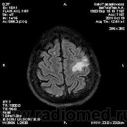
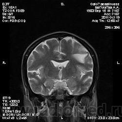
Молодой человек, жалуется только на головные боли и слабость в правой руке и ноге (около месяца).
Пациент полуасоциальный, нельзя исключить анамнез наркоманский.... 

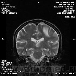
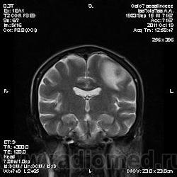
ППН (включая ячейки пирамидок и сосцевидные отростки) тотально заполнены жидкостным компонентом...

Хотелось бы с контрастом сделать, но пока нет возможности.

Извините заранее за маленькие картинки (ну не становятся они большими, хоть плачь

)

Какие будут МНЕНИЯ?

  • https://radiomed.ru/sites/default/files/styles/case_slider_image/public/user/12806/t2_0003.jpg?itok=fY2LQMLZ
  • https://radiomed.ru/sites/default/files/styles/case_slider_image/public/user/12806/t2_0004.jpg?itok=RWis7oNq
  • https://radiomed.ru/sites/default/files/styles/case_slider_image/public/user/12806/t2_0005.jpg?itok=Ww8ti7Hs
  • https://radiomed.ru/sites/default/files/styles/case_slider_image/public/user/12806/t2_0006.jpg?itok=BOKXPCn5
  • https://radiomed.ru/sites/default/files/styles/case_slider_image/public/user/12806/t1_0001.jpg?itok=k4GhN0zv
  • https://radiomed.ru/sites/default/files/styles/case_slider_image/public/user/12806/t1_0002.jpg?itok=9fniWskn
  • https://radiomed.ru/sites/default/files/styles/case_slider_image/public/user/12806/t1_0003.jpg?itok=o6B6e0AB
  • https://radiomed.ru/sites/default/files/styles/case_slider_image/public/user/12806/t1_0004.jpg?itok=QqWk8z_f
  • https://radiomed.ru/sites/default/files/styles/case_slider_image/public/user/12806/t1_0005.jpg?itok=k7T-rjFh
  • https://radiomed.ru/sites/default/files/styles/case_slider_image/public/user/12806/flair_0006.jpg?itok=m6I4_qhB
  • https://radiomed.ru/sites/default/files/styles/case_slider_image/public/user/12806/flair_0007.jpg?itok=wYOpwa1x
  • https://radiomed.ru/sites/default/files/styles/case_slider_image/public/user/12806/flair_0008.jpg?itok=Xu73dP-a
  • https://radiomed.ru/sites/default/files/styles/case_slider_image/public/user/12806/flair_0009.jpg?itok=jCg1lq2D
  • https://radiomed.ru/sites/default/files/styles/case_slider_image/public/user/12806/flair_0010.jpg?itok=F_IXzQlV
  • https://radiomed.ru/sites/default/files/styles/case_slider_image/public/user/12806/t2_kor_0001.jpg?itok=REY4mLik
  • https://radiomed.ru/sites/default/files/styles/case_slider_image/public/user/12806/t2_kor_0002.jpg?itok=zqeVbvDi
  • https://radiomed.ru/sites/default/files/styles/case_slider_image/public/user/12806/t2_kor_0003.jpg?itok=_1WPFud2
  • https://radiomed.ru/sites/default/files/styles/case_slider_image/public/user/12806/t2_kor_0004.jpg?itok=rvw-9MW8
  • https://radiomed.ru/sites/default/files/styles/case_slider_image/public/user/12806/t2_kor_0005.jpg?itok=tE-MCD_Y
ID:16465
nnemo аватар
Не на сайте
Был на сайте: 11 лет 1 месяц назад
Зарегистрирован: 13.09.2011 - 18:32
Публикации: 561

неужели ни у кого нет мыслей по данному поводу?

Сан Саныч1 аватар
Не на сайте
Был на сайте: 11 месяцев 2 недели назад
Зарегистрирован: 07.06.2010 - 21:17
Публикации: 2114

Абсцесс мозга?

Хочешь сделать что-то нормально - сделай это сам!

Катенёв Валентин Львович аватар
Не на сайте
Был на сайте: 7 лет 2 недели назад
Зарегистрирован: 22.03.2008 - 22:15
Публикации: 54876

Трудно мысли появиться, если с МРТ, да и КТ дела иметь не могём, да и на курсах мы по этому профилю не были, да и не учили нас. Ну, чтобы не молчать, как версия - внутримозговое кровоизлияние...

nnemo аватар
Не на сайте
Был на сайте: 11 лет 1 месяц назад
Зарегистрирован: 13.09.2011 - 18:32
Публикации: 561

Колеги, спасибо за высказывания. В данном случае про наркоманский анамнез указано не спроста... Есть мнение, что в этом лежит точка отсчета.... По поводу абсцесса и гематомы - не согласен; по поводу первого - нет соответствющей клиники, по поводу второго - не характерна локализация и сигнальные характеристики. Не буду томить общественность касательно собственного мнения. Есть две гипотезы, о которых думается в данном случае: прогрессирующая лейкоэнцефалопатия и новообразование... Но без контраста их не разрешить...

Helios аватар
Не на сайте
Был на сайте: 7 месяцев 3 недели назад
Зарегистрирован: 06.08.2010 - 15:16
Публикации: 4417

Наркоманский анамнез -скорее первое?

nnemo аватар
Не на сайте
Был на сайте: 11 лет 1 месяц назад
Зарегистрирован: 13.09.2011 - 18:32
Публикации: 561

Helios wrote:

Наркоманский анамнез -скорее первое?

пожалуй "первое", но в отношении "второго"смущает "круглит" на вершине "воспалительной демиелинизации", который она (демиелинизация) так странно обходит... 

Helios аватар
Не на сайте
Был на сайте: 7 месяцев 3 недели назад
Зарегистрирован: 06.08.2010 - 15:16
Публикации: 4417

Имеются  в виду последние 2 картинки?Мне тоже так показалось.А почему контрастирования не будет?Чем контрастируете?

nnemo аватар
Не на сайте
Был на сайте: 11 лет 1 месяц назад
Зарегистрирован: 13.09.2011 - 18:32
Публикации: 561

Если имеется ввиду парамагнетик - Омнискан или Магневист в стандартных дозировках. Кейс не мой, поэтому со шприцем не дотянусь :) Рекомендовали контрастирование, будет инфа по контрасту - сообщу....

Helios аватар
Не на сайте
Был на сайте: 7 месяцев 3 недели назад
Зарегистрирован: 06.08.2010 - 15:16
Публикации: 4417

ОК.Спасибо!

Катенёв Валентин Львович аватар
Не на сайте
Был на сайте: 7 лет 2 недели назад
Зарегистрирован: 22.03.2008 - 22:15
Публикации: 54876

nnemo wrote:

Если имеется ввиду парамагнетик - Омнискан или Магневист в стандартных дозировках. Кейс не мой, поэтому со шприцем не дотянусь :) Рекомендовали контрастирование, будет инфа по контрасту - сообщу....

Будем ждать.