студентка. жалоб не предъявляет

Пол пациента: 
Методы исследования: 

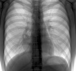
Помогите разобраться с патологией, скопия ситуацию не прояснила

  • https://radiomed.ru/sites/default/files/styles/case_slider_image/public/user/3673/serdce_bok.jpg?itok=8krlZTjH
ID:1995
Катенёв Валентин Львович аватар
Не на сайте
Был на сайте: 7 лет 3 недели назад
Зарегистрирован: 22.03.2008 - 22:15
Публикации: 54876

Может быть киста перикарда?

 

Приложения: 
103.Slayd30.JPG
DR.RAD аватар
Не на сайте
Был на сайте: 11 лет 8 месяцев назад
Зарегистрирован: 25.03.2009 - 18:22
Публикации: 805

в любом случае на КТ надо.

Грицько Виталий аватар
Не на сайте
Был на сайте: 8 лет 12 месяцев назад
Зарегистрирован: 05.01.2010 - 14:06
Публикации: 1058

Помогите разобраться с патологией, скопия ситуацию не прояснила. Но что увидели на скопии пульсацию смещение при глубоком дыхании.

Игорь Иванович аватар
Не на сайте
Был на сайте: 3 года 9 месяцев назад
Зарегистрирован: 23.01.2010 - 14:56
Публикации: 3695

Грицько Виталий wrote:
Помогите разобраться с патологией, скопия ситуацию не прояснила. Но что увидели на скопии пульсацию смещение при глубоком дыхании.

Пульсация может быть и передаточная.

Грицько Виталий аватар
Не на сайте
Был на сайте: 8 лет 12 месяцев назад
Зарегистрирован: 05.01.2010 - 14:06
Публикации: 1058

Игорь Иванович wrote:

Пульсация может быть и передаточная.

Согласен, может быть передаточная. Но вместе с смещаемоутью при глубоком дыхании это тоже информация. И помимо наличия может быть отсутствие таковой.

Лукаш аватар
Не на сайте
Был на сайте: 10 лет 3 месяцев назад
Зарегистрирован: 05.03.2010 - 13:28
Публикации: 47

Липома кардиодиафрагмального угла?

Ой, больной, что-то мне ваш снимок не нравится. Но ничего - щас мы в Фотошопе все подправим.

Катенёв Валентин Львович аватар
Не на сайте
Был на сайте: 7 лет 3 недели назад
Зарегистрирован: 22.03.2008 - 22:15
Публикации: 54876

У столь юных (по прямой рентгенограмме), липома, в данном месте, не часто, а вот, у пожилих - это типичное место для липомы - "Олимп" липом. Правда, не все признают этот термин "липома - медиастинальная липом, утверждают, что термин не корректен и "сие" надо называть жировой "подушкой". По поводу корректности можнобыло-бы поспорить - "что делает "подушка", пусть и жировая в грудной полости"?

annushka аватар
Не на сайте
Был на сайте: 7 лет 11 месяцев назад
Зарегистрирован: 17.03.2010 - 19:09
Публикации: 137

На скопиии опр. пульсация ,никаких дополнительных образований

Анна

Катенёв Валентин Львович аватар
Не на сайте
Был на сайте: 7 лет 3 недели назад
Зарегистрирован: 22.03.2008 - 22:15
Публикации: 54876

А, Вы скопию на каком аппарате проводите?

Петрович аватар
Не на сайте
Был на сайте: 7 лет 2 месяцев назад
Зарегистрирован: 22.03.2009 - 01:13
Публикации: 3908

  Зазвать в кабинет УЗИ и ткнуть секторным или конвексным датчиком в правый кардио-диафрагмальный угол.

Неоднозначно всё

Андрей Юрьевич аватар
Не на сайте
Был на сайте: 1 неделя 1 день назад
Зарегистрирован: 16.11.2008 - 22:16
Публикации: 18098

Это и бронхо-энтерогенной кистой может быть: нижний контур образования образует острый угол, на боковом снимке возможно проецируется позади сердечной тени.

Андрей Юрьевич

Грицько Виталий аватар
Не на сайте
Был на сайте: 8 лет 12 месяцев назад
Зарегистрирован: 05.01.2010 - 14:06
Публикации: 1058

Ну как правильно сказал Игорь Иванович пульсация могла быть и передаточная. А смещение при глубоком дыхании, кашле не смотрели.

annushka аватар
Не на сайте
Был на сайте: 7 лет 11 месяцев назад
Зарегистрирован: 17.03.2010 - 19:09
Публикации: 137

Скопия примитивная, РУМ-20 с ЭОПом, цифровой только флюро, спасибо за комментарии, будем разбираться

Анна

v1tal аватар
Не на сайте
Был на сайте: 4 года 9 месяцев назад
Зарегистрирован: 07.06.2008 - 19:41
Публикации: 1779

annushka wrote:

Скопия примитивная, РУМ-20 с ЭОПом, цифровой только флюро, спасибо за комментарии, будем разбираться

 

Почему же примитивная, РУМы ни один дисяток лет работают и не подводят, а вот по УЗИ сердца возможно это было бы видно.

"Знаешь, у некоторых врачей есть комплекс мессии — им необходимо спасать мир. А у тебя комплекс Рубика — тебе необходимо решать головоломки."

annushka аватар
Не на сайте
Был на сайте: 7 лет 11 месяцев назад
Зарегистрирован: 17.03.2010 - 19:09
Публикации: 137

Девушка тогда обследоваться отказалась, обьясняя хорошим самочувствием, через год пришла снова. Самоизлечение?

Приложения: 
yakovl.jpg

Анна

Helios аватар
Не на сайте
Был на сайте: 7 месяцев 3 недели назад
Зарегистрирован: 06.08.2010 - 15:16
Публикации: 4417

Повезло.

А нам нет-так и не узнали, что это было.