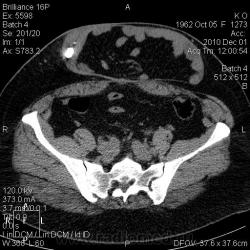
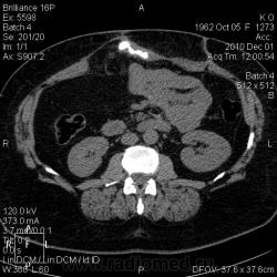
Свищи передней брюшной стенки. КТ.

Пол пациента: 
Тип патологии: 
Область исследования: 
Методы исследования: 

   

Женщина 1962 г.р. В анамнезе псевдокиста поджелудочной железы, прооперирована около 6 мес назад. Фистуло-КТ. И красавица грыжа.

 

 

Реконструкции:

  • https://radiomed.ru/sites/default/files/styles/case_slider_image/public/user/2841/gryzha0002_0.jpg?itok=UEBwHSGo
  • https://radiomed.ru/sites/default/files/styles/case_slider_image/public/user/2841/gryzha0003_0.jpg?itok=2Xy0AJAk
  • https://radiomed.ru/sites/default/files/styles/case_slider_image/public/user/2841/gryzha0004_0.jpg?itok=CEzKoMa2
  • https://radiomed.ru/sites/default/files/styles/case_slider_image/public/user/2841/gryzha0005.jpg?itok=Ilu0yDt-
  • https://radiomed.ru/sites/default/files/styles/case_slider_image/public/user/2841/gryzha0006_0.jpg?itok=uzIyrPJF
  • https://radiomed.ru/sites/default/files/styles/case_slider_image/public/user/2841/gryzha0007_0.jpg?itok=nUbFsIhp
  • https://radiomed.ru/sites/default/files/styles/case_slider_image/public/user/2841/gryzha0008_0.jpg?itok=T0hjiStV
  • https://radiomed.ru/sites/default/files/styles/case_slider_image/public/user/2841/gryzha0009_0.jpg?itok=37SKH0H7
  • https://radiomed.ru/sites/default/files/styles/case_slider_image/public/user/2841/gryzha0010.jpg?itok=wWVh_att
  • https://radiomed.ru/sites/default/files/styles/case_slider_image/public/user/2841/gryzha0011_0.jpg?itok=Lz5KGAke
  • https://radiomed.ru/sites/default/files/styles/case_slider_image/public/user/2841/gryzha0012_0.jpg?itok=53fhrHja
  • https://radiomed.ru/sites/default/files/styles/case_slider_image/public/user/2841/gryzha0013_0.jpg?itok=65qY2uYw
  • https://radiomed.ru/sites/default/files/styles/case_slider_image/public/user/2841/gryzha0014_0.jpg?itok=5ADMiZkq
  • https://radiomed.ru/sites/default/files/styles/case_slider_image/public/user/2841/gryzha0015_0.jpg?itok=laDRXpLd
  • https://radiomed.ru/sites/default/files/styles/case_slider_image/public/user/2841/gryzha0016.jpg?itok=9_20lnNM
  • https://radiomed.ru/sites/default/files/styles/case_slider_image/public/user/2841/gryzha0017_0.jpg?itok=Aknk4Jh3
  • https://radiomed.ru/sites/default/files/styles/case_slider_image/public/user/2841/gryzha0018_0.jpg?itok=hQYGUP8l
  • https://radiomed.ru/sites/default/files/styles/case_slider_image/public/user/2841/gryzha0020.jpg?itok=7Da-u5J5
ID:22683
Николай аватар
Не на сайте
Был на сайте: 3 года 2 месяцев назад
Зарегистрирован: 29.05.2009 - 04:38
Публикации: 554

точно карсавица