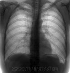
Свободный газ

Вашему вниманию представляется  случай обнаружения свободного газа в брюшной полости при профилактической ФГ. Причина появления непонятна. Предположите, хоть примерно, при какой ситуации....жалоб не предьявляет. Женщина 54 лет.

(наблюдение Игоря Ивановича и Виктора Григорьевича)...

 

ID:56462
Иринка аватар
Не на сайте
Был на сайте: 11 лет 5 месяцев назад
Зарегистрирован: 16.11.2009 - 22:14
Публикации: 190

Если у женщины не менопауза, можно предположить период овуляциии и попадание воздуха из маточных труб.

Катенёв Валентин Львович аватар
Не на сайте
Был на сайте: 7 лет 2 недели назад
Зарегистрирован: 22.03.2008 - 22:15
Публикации: 54876

А операции никакой не было, ну, в ближайшие дни перед флюорографией?

stovbav аватар
Не на сайте
Был на сайте: 2 года 2 месяцев назад
Зарегистрирован: 20.12.2009 - 17:28
Публикации: 7066

1. Менопауза.

2. Никаких операций в обозримом прошлом небыло.

3. проводилась обычная плановая профилактическая ФГ.

4. На второй день в другом ЛПУ был проведен контроль по желанию больной - картина прежняя, степень выражености несколько меньше.

 

Игорь Иванович аватар
Не на сайте
Был на сайте: 3 года 9 месяцев назад
Зарегистрирован: 23.01.2010 - 14:56
Публикации: 3695

Доцент Крамной И.Е. с кафедры рентгенологии ХМАПО, читая лекции по рентгендиагностике неотложных состояний в брюшной полости, смакуя, называет это состояние посткоитуальным пневмоперитонеумом. После того, как хирурги собирались женщину уложить в стационар, она созналась, что действительно "кувыркалась" со своим дедом накануне.

Иринка аватар
Не на сайте
Был на сайте: 11 лет 5 месяцев назад
Зарегистрирован: 16.11.2009 - 22:14
Публикации: 190

Значит все-таки из маточных труб))))