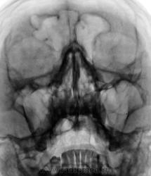
Пол пациента: Мужской пол Тип патологии: Другое Область исследования: Челюстно-лицевая область и шея Методы исследования: Rg Так.., для интересу... https://radiomed.ru/sites/default/files/styles/case_slider_image/public/user/12/2.201308300030.jpg?itok=yhPfZ2i1 ID:31315 Пт, 30/08/2013 - 20:28 #1 Dima Не на сайте Был на сайте: 7 лет 2 месяцев назад Зарегистрирован: 05.08.2012 - 17:39 Публикации: 2467 Медиальная стенка правой верхнечелюстной как-то не очень Терпимость - это когда прощают чужие ошибки; такт - когда не замечают их. (Артур Шницлер) Сб, 31/08/2013 - 00:18 #2 Сергей Кузьминов Не на сайте Был на сайте: 1 год 3 недели назад Зарегистрирован: 06.10.2012 - 15:51 Публикации: 11813 А лобная справа что в себе несёт? Сб, 31/08/2013 - 08:03 #3 Глазков Игорь А... Не на сайте Был на сайте: 9 месяцев 3 недели назад Зарегистрирован: 19.12.2008 - 20:41 Публикации: 1597 верхнечелюстных пазух. Да ещё пристеночное утолщение их стенок говорит в пользу их патологии. Прийди к Себе
Медиальная стенка правой верхнечелюстной как-то не очень
Терпимость - это когда прощают чужие ошибки; такт - когда не замечают их. (Артур Шницлер)
А лобная справа что в себе несёт?
верхнечелюстных пазух. Да ещё пристеночное утолщение их стенок говорит в пользу их патологии.
Прийди к Себе