Так..., еще раз для "интересу"..., и что "это" может быть?

Пол пациента: 
Тип патологии: 
Методы исследования: 

Так..., еще раз для "интересу"..., и что "это" может быть?

Томограммы.

  • https://radiomed.ru/sites/default/files/styles/case_slider_image/public/user/12/12.pb030043a.jpg?itok=X-x1gemA
  • https://radiomed.ru/sites/default/files/styles/case_slider_image/public/user/12/13.pb030044.jpg?itok=HiV0PR-T
  • https://radiomed.ru/sites/default/files/styles/case_slider_image/public/user/12/14.pb030044a.jpg?itok=ehJmwwO-
ID:19910
Глазков Игорь Артурович аватар
Не на сайте
Был на сайте: 9 месяцев 3 недели назад
Зарегистрирован: 19.12.2008 - 20:41
Публикации: 1597

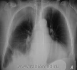
правосторонний пневмоторакс. Синус справа не определяется,что может говорить о плевральном выпоте, причём давнишнем. Н\доля ателектазирована, возможно за счёт непроходимости бронха. Срединная тень смещена немного влево. У меня напрашиваются два диагноза: ТВС или онкол. процесс. Может быть ещё последствие травмы.

Прийди к Себе

marisa аватар
Не на сайте
Был на сайте: 7 лет 1 неделя назад
Зарегистрирован: 23.03.2012 - 17:33
Публикации: 35

Правоторонний пневмоторакс. А бок?

Катенёв Валентин Львович аватар
Не на сайте
Был на сайте: 7 лет 3 недели назад
Зарегистрирован: 22.03.2008 - 22:15
Публикации: 54876

Нужна боковая томограмма?

Глазков Игорь Артурович аватар
Не на сайте
Был на сайте: 9 месяцев 3 недели назад
Зарегистрирован: 19.12.2008 - 20:41
Публикации: 1597

Катенёв Валентин Львович wrote:

Нужна боковая томограмма?

Да, боковая проекция бы не помешала.

Прийди к Себе

Катенёв Валентин Львович аватар
Не на сайте
Был на сайте: 7 лет 3 недели назад
Зарегистрирован: 22.03.2008 - 22:15
Публикации: 54876

Пропунктировали справа...

Приложения: 
1.pb030021.jpg2.pb030022.jpg3.pb030023a.jpg4.pb030024.jpg
И.Бондаренко аватар
Не на сайте
Был на сайте: 1 день 10 часов назад
Зарегистрирован: 13.09.2011 - 22:55
Публикации: 9206

Правосторонний пневматоракс сохраняется, осумкованные полости с жидкостью. Слева тоже жидкость обьявилась. Какой-нибудь сопутствующей патологии у женщины нет?

Almo аватар
Не на сайте
Был на сайте: 16 часов 45 минут назад
Зарегистрирован: 28.09.2008 - 18:50
Публикации: 8262

ИМХО:  Эмиема плевры с 2-х сторон, осложнённая пневматораксом справа.. Ателектаза нижней доли справа не должно быть, т.к. сосуды лёгкого имеют обычное расположение ( на месте, что нехарактерно для ателектаза). Все это должно быть связано с клинико-лабораторными данными.

Катенёв Валентин Львович аватар
Не на сайте
Был на сайте: 7 лет 3 недели назад
Зарегистрирован: 22.03.2008 - 22:15
Публикации: 54876

Так..., еще раз для "интересу"...

Катенёв Валентин Львович аватар
Не на сайте
Был на сайте: 7 лет 3 недели назад
Зарегистрирован: 22.03.2008 - 22:15
Публикации: 54876

Следующий случай.

 

Приложения: 
miel._1.jpg
NIL аватар
NIL
Не на сайте
Был на сайте: 1 день 15 часов назад
Зарегистрирован: 25.11.2013 - 20:50
Публикации: 18207

Катенёв Валентин Львович wrote:

#9 Следующий случай.

Литические Mts


"Слушай всех, прислушивайся к немногим, решай сам".©

Катенёв Валентин Львович аватар
Не на сайте
Был на сайте: 7 лет 3 недели назад
Зарегистрирован: 22.03.2008 - 22:15
Публикации: 54876

NIL wrote:

Катенёв Валентин Львович wrote:

#9 Следующий случай.

Литические Mts

А, ежели метастазы полностью исключаются, тогда как?

Lory аватар
Не на сайте
Был на сайте: 5 месяцев 5 дней назад
Зарегистрирован: 02.03.2016 - 18:28
Публикации: 766

Катенёв Валентин Львович wrote:

NIL wrote:

Катенёв Валентин Львович wrote:

#9 Следующий случай.

Литические Mts

А, ежели метастазы полностью исключаются, тогда как?

миеломная болезнь?