Что нужно сделать, чтобы снять все сомнения в характере изменений? КТ? или лучше сразу биопсию?
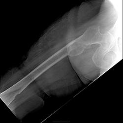
Апрельская МСКТ. "МСК-томография, толщина срезов 1-5мм, при анализе использована МР-реконструкция. Проекция: аксиальная. Контрастное усиление не проводилось. В верхней трети правой бедренной кости по медиальной поверхности наличие участка 4,6х1,9см с нарушением целостности наружной и внутренней костных пластинок. Видимой периостальной реакции не выявлено. Напротив дефекта костно-мозговой канал заполнен мягкотканным содержимым, которое распространяется также наружу. В нижней/3 правой бедренной кости дефект наружного компактного слоя на протяжении 1см. Мягкотканного компонента и венчика остеосклероза не выявлено. ЗАКЛЮЧЕНИЕ. По КТ больше данных за объёмное образование в/3, н/3 правой БК с наличием мягкотканного компонента. Рекомендована сцинтиграфия, биопсия.
Визуального ряда (к сожалению) нет.
Коллеги, благодарю за мнения, но надеюсь на продолжение (потому что в загашнике кое-что еще есть...)
Что нужно сделать, чтобы снять все сомнения в характере изменений? КТ? или лучше сразу биопсию?
Берем анализы: общий, б/х, онкомаркеры, М-градиент, паратгормон. Рентген черепа, кистей. Одновременно делаем биопсию и проводим онкопоиск. В первую очередь смотрим молочные, почки, щитовидную. КТ организма (грудная, брюшная и полость малого таза) в сочетании с маммографией и УЗИ щитовидки обычно позволяют определиться с диагнозом очень быстро
Что нужно сделать, чтобы снять все сомнения в характере изменений? КТ? или лучше сразу биопсию?
Берем анализы:...
Пожалуй, после столь исчерпывающего ответа, новых комментов дождаться будет трудно))). Тогда из загашника:
"Иммуногистохимическое исследование. 09.07.2013. Результат исследования:
В клетках опухолевого массива выявлена экспрессия vimentin, SMA, CD99, WT-1. Индекс митотической активности (экспрессия Ki67) – 65%. Отсутствует экспрессия melanomaPan, mioglobin, S100, CR19, EMA, PLAP, desmin, miogenin, CK1/3AE, CK7, HMB-45, CK20, CD68 (+=редкие, не более 7% клеточного массива, в том числе, многоядерные, диффузно расположенные), CL31/CD34 (в многочисленных неоплазированных сосудистых щелях).
ЗАКЛЮЧЕНИЕ: учитывая клинико-морфологические данные и выявленный иммунопрофиль, опухолевый узел (в зоне бедренной кости – клинически) с большой вероятностью является низкодифференцированной миогенной саркомой с признаками сосудистого происхождения –ЗЛОКАЧЕСТВЕННОЙ ГЛОМИЧЕСКОЙ ОПУХОЛЬЮ, хотя окончательно исключить злокачественную миоперицитому, миофибросаркому кости или крупноклеточную атипическую саркому Юинга не представляется возможным в связи с отсутствием рентгенологических данных."
Цитата полная, буквальная, выделение - моё. Исследование выполнено в областной клинической онкологической больнице. Представленные в начале ветки рентгенограммы выполнены после иммуногистохимии. Загашник-то... того: теперь пустой))).
Алексей Станиславович, сдержала первое желание поглумиться... По большому счету морфологи правы: в костной онкологии, как нигде важна рентгеновская картина. Морфологи всегда трактуют свои данные с учетом рентгенологии, это общие правила. Я бы их конечно расширила на остальные нозологии, но тем не менее...
В данном случае интересны данные гистологии. Вызывает вопросы панель маркеров по которым проводили иммуногистохимию (предположу, что при гистологиии данных за рак нет получено, поэтому сделали такую ИГХ, но не факт). Так что морфологи правы: необходим пересмотр препаратов с учетом данных рентгеновского исследования (множественное литическое поражение, диф. ряд уже сформулирован, с учетом ИГХ, возможно добавить лимфому, нет противоречий для ПНЭО, но мтс рака остаются на первом месте).
Короче, дайте им рентгеновские данные, пусть пересматривают гистологию и панель ИГХ, если потребуется ( морфологи не уверены), надо повторить биопсию.
Уважаемая tatyana ! Большое спасибо за развернутые комменты, на мой взгляд: именно такие посты грамотных и сведущих специалистов дают возможность для профессионального роста тем, кто эпизодически встречается с подобной патологией и пациентами. Ответа именно в таком ключе я и ожидал. Выкладывал данные в том порядке, в каком сам увидел. Понятно, что наверняка в анамнезе и клинике что-то есть еще, раз МСКТ выполнено еще в апреле. Но у меня ничего этого нет, поэтому - что есть. Еще раз всем участникам большое спасибо.)))
Прекрасная демонстрация, усиленная столь глубокими профессинальными комментриями самой Татьяны Павленко! Но, даже профессинальные гистологи без рентгенологии никуда! Цените себя, коллеги-радиологи и повышайте свою квалификцию-цены вам не будет!
Отдельное спасибо за иммуногистохимическое исследование. Хотелось бы узнать, помогут ли рентгенограммы бедра уважаемым гистологам в их нелёгком труде. Надеюсь на продолжение.
Один старше, другой моложе. Ищите первоисточник.
Метастазы.
Вот если бы не тот, который в н/3 диафиза, и не сомневался бы. Но нижний (на мой взгляд) не такой, как верхний. Как миеломный какой-то...
С уважением,
по характеру очагов в диф. ряд можно включить и гиперпаратиреоидную остеодистрофию
"самоуверенность дилетантов - предмет зависти профессионалов"
Что нужно сделать, чтобы снять все сомнения в характере изменений? КТ? или лучше сразу биопсию?
Визуального ряда (к сожалению) нет.
Коллеги, благодарю за мнения, но надеюсь на продолжение (потому что в загашнике кое-что еще есть...)
С уважением,
Берем анализы: общий, б/х, онкомаркеры, М-градиент, паратгормон. Рентген черепа, кистей. Одновременно делаем биопсию и проводим онкопоиск. В первую очередь смотрим молочные, почки, щитовидную. КТ организма (грудная, брюшная и полость малого таза) в сочетании с маммографией и УЗИ щитовидки обычно позволяют определиться с диагнозом очень быстро
"самоуверенность дилетантов - предмет зависти профессионалов"
Согласен с обследованием. Бдем ждать результатов.
Пожалуй, после столь исчерпывающего ответа, новых комментов дождаться будет трудно))). Тогда из загашника:"Иммуногистохимическое исследование. 09.07.2013. Результат исследования:
В клетках опухолевого массива выявлена экспрессия vimentin, SMA, CD99, WT-1. Индекс митотической активности (экспрессия Ki67) – 65%. Отсутствует экспрессия melanomaPan, mioglobin, S100, CR19, EMA, PLAP, desmin, miogenin, CK1/3AE, CK7, HMB-45, CK20, CD68 (+=редкие, не более 7% клеточного массива, в том числе, многоядерные, диффузно расположенные), CL31/CD34 (в многочисленных неоплазированных сосудистых щелях).
ЗАКЛЮЧЕНИЕ: учитывая клинико-морфологические данные и выявленный иммунопрофиль, опухолевый узел (в зоне бедренной кости – клинически) с большой вероятностью является низкодифференцированной миогенной саркомой с признаками сосудистого происхождения –ЗЛОКАЧЕСТВЕННОЙ ГЛОМИЧЕСКОЙ ОПУХОЛЬЮ, хотя окончательно исключить злокачественную миоперицитому, миофибросаркому кости или крупноклеточную атипическую саркому Юинга не представляется возможным в связи с отсутствием рентгенологических данных."
Цитата полная, буквальная, выделение - моё. Исследование выполнено в областной клинической онкологической больнице. Представленные в начале ветки рентгенограммы выполнены после иммуногистохимии. Загашник-то... того: теперь пустой))).
С уважением,
Алексей Станиславович, сдержала первое желание поглумиться...
По большому счету морфологи правы: в костной онкологии, как нигде важна рентгеновская картина. Морфологи всегда трактуют свои данные с учетом рентгенологии, это общие правила. Я бы их конечно расширила на остальные нозологии, но тем не менее...
В данном случае интересны данные гистологии. Вызывает вопросы панель маркеров по которым проводили иммуногистохимию (предположу, что при гистологиии данных за рак нет получено, поэтому сделали такую ИГХ, но не факт). Так что морфологи правы: необходим пересмотр препаратов с учетом данных рентгеновского исследования (множественное литическое поражение, диф. ряд уже сформулирован, с учетом ИГХ, возможно добавить лимфому, нет противоречий для ПНЭО, но мтс рака остаются на первом месте).
Короче, дайте им рентгеновские данные, пусть пересматривают гистологию и панель ИГХ, если потребуется ( морфологи не уверены), надо повторить биопсию.
"самоуверенность дилетантов - предмет зависти профессионалов"
Уважаемая tatyana ! Большое спасибо за развернутые комменты, на мой взгляд: именно такие посты грамотных и сведущих специалистов дают возможность для профессионального роста тем, кто эпизодически встречается с подобной патологией и пациентами. Ответа именно в таком ключе я и ожидал. Выкладывал данные в том порядке, в каком сам увидел. Понятно, что наверняка в анамнезе и клинике что-то есть еще, раз МСКТ выполнено еще в апреле. Но у меня ничего этого нет, поэтому - что есть. Еще раз всем участникам большое спасибо.)))
С уважением,
Прекрасная демонстрация, усиленная столь глубокими профессинальными комментриями самой Татьяны Павленко!
Но, даже профессинальные гистологи без рентгенологии никуда! Цените себя, коллеги-радиологи и повышайте свою квалификцию-цены вам не будет!
Отдельное спасибо за иммуногистохимическое исследование. Хотелось бы узнать, помогут ли рентгенограммы бедра уважаемым гистологам в их нелёгком труде. Надеюсь на продолжение.
Хотелось бы и мне снова увидеть эту даму с какими-нибудь данными...
С уважением,