Пол пациента:
Тип патологии:
Область исследования:
Методы исследования:
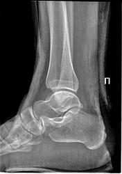
Коллеги, прошу откликнуться и поучаствовать. Дама 35лет, какая-то травма голеностопа, очередной контроль. Непонятен механизм и субстрат изменений таранной кости.
Это 28.03.2013г. Коллега пишет компрессионный перелом таранной кости.
По СКТ между снимками - болезнь Диаза, перелом "задней лодыжки" без смещения. Визуального ряда СКТ нет.
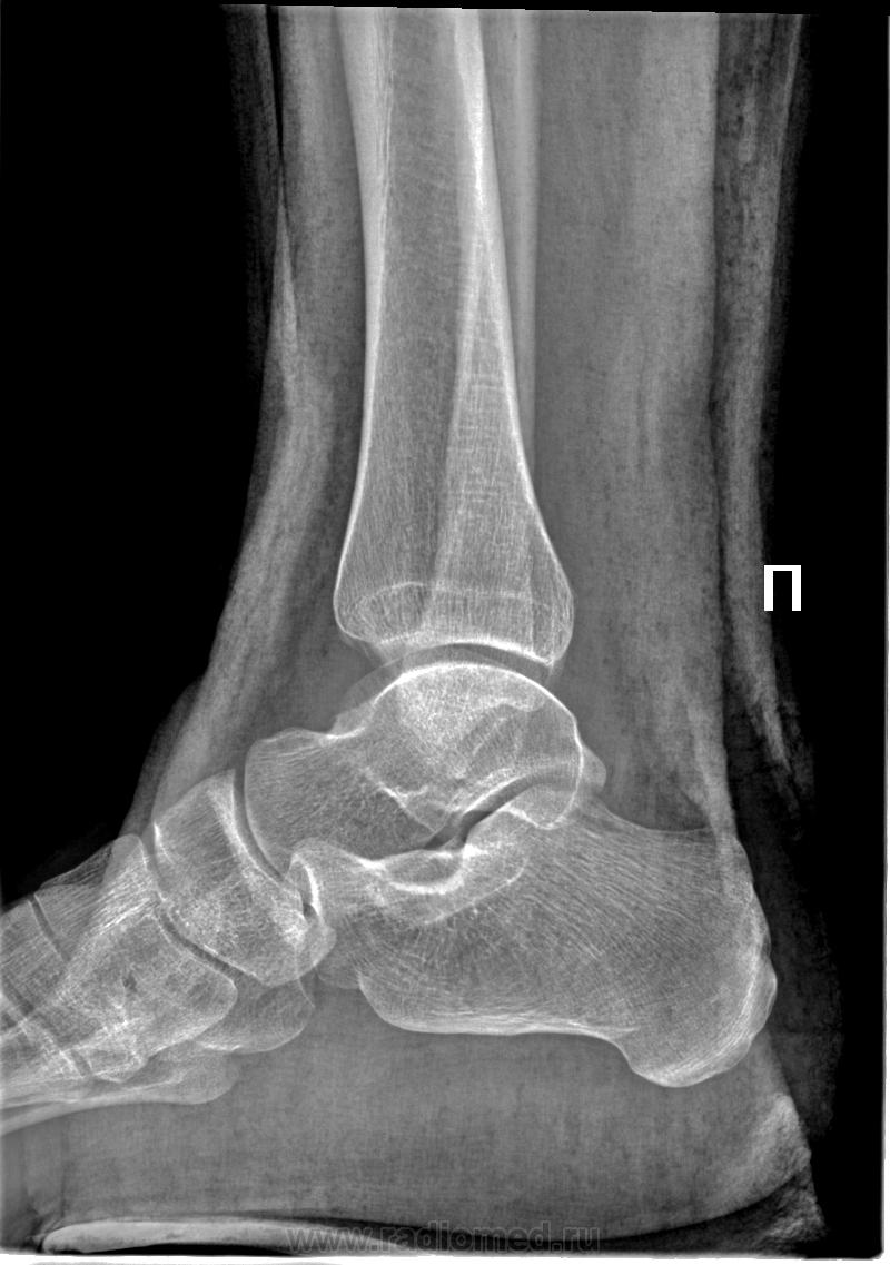
Это 13.05.2013г. Другой коллега подтверждает Диаза.
Я весь в сомнениях. Случай не у меня, на глаза попался случайно. Заранее благодарен.
как вариант, остеохондральный (субхондральный) перелом.
http://radiopaedia.org/cases/subchondral-fracture-of-talar-dome
На Радиомеде есть определенная подборка по болезни Диаза -
http://www.radiomed.ru/publications/osteokhondropatiya-diaza-bolezn
но на мой взгляд представленный случай на "Диаза" мало похож...
Возможно корректнее можно говорить о посттравматическом или аваскулярном некрозе.
Да вот все эти вещи (и Диаза) по мыщелкам характерны (и понятны)! А в этом месте
?
С уважением,
Вот именно с учетом "места", корректнее Диаза не трогать.
На мой взгляд, это похоже на болезнь Диаза. Интересное наблюдение!
Ранее с подобным не сталкивался ( или не писал, т.к. пишем насколько знаем).
Спасибо за информацию и Ваш огромный труд, Валентин Львович!
С уважением,
Спасибо за теплые слова уважаемый коллега!
Коллеги, тема не закрыта)))))
С уважением,
Это хорошо, что не закрыта...
Что за тенюха?
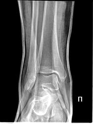
У меня впечатление, что скиалогическая это "тенюха". Видим мы её и на первом снимке, только +гипс, +некоторый минимальный поворот - и, как сказал один коллега - вуаля!))
С уважением,
Это на нашей пленочной классике - вуаля! (vega ©), а на этой цифре - не кажется контурообразующим краем. Похоже на кортикальный осколок (тут капсула крепится). Тем более виден на обоих снимках. По таранной- согласен с постом №1, т.к. деформация (импрессия) кортекса имеется и на первичном и на контрольном снимке, вряд-ли некроз.
Verum plus uno esse non potest.
Вот и возникает вопрос - чем же в этом месте так вдавило кортекс (не сломав мыщелков). Насчет кортикального осколка по переднему контуру ББК - может быть.
С уважением,
Verum plus uno esse non potest.
Дискуссия была знатная. Но в мои цели это не входит. Изначально непонятен механизм межмыщелковой импрессии без перелома мыщелков. Может, травматологи в курсе? Первый снимок непосредственно на 3 или 4 день после травмы.
С уважением,
Verum plus uno esse non potest.
Как вариант... А если в обратную сторону, тоже может быть?
С уважением,
Вряд-ли. Передний край пилона не выступает книзу, да и жесткого упора в блок передним краем ББК при разгибании стопы не произойдет, даже если предположить столкновение стопы с опорой подушками плюсны.
Verum plus uno esse non potest.
Да, пожалуй. Спасибо!
С уважением,