спрашиваю просто потому, что при диф диагнозе м/у спондилоэпифизарными, множественными эпифизарными и спондилометафизарными дисплазиями необходимо (обязательно) доснять рентгенографию позвоночника (на наличие платиспондилии). А уж коленные суставы и кости кистей рук как дополнительные исследования.
пролистала всю карту, и кроме как плоско-вальгусная деформация стоп, больше ни одной записи из того центра нет, со слов ортопеда, вначале ребенок наблюдался с варусной деформицией бедренных костей и костей голени...к сожалению, ребенок приходит на исследования с няней, которая, соответственно, подробностей не знает
Спасибо DR.RAD и Ola-la, что не оставили без внимания, за ваши ценные комментарии. А девочка оказалась не такой уж и простой. На сегодняшний день ее диагноз звучит так: Хр. почечная недостаточность 4 стадия. ВАРМС: агенезия правой почки, мегауретер слева, кистозная дисплазия левой почки. Вторичный хронический пиелонефрит. Нефрогенная анемия. Нефрогенная остеопатия. Деформация костей нижних конечностей, плоско-вальгусные стопы.
Сегодня сделали рентген в прямой проекции бедренных костей, костей голени (к сожалению не было возможности сфотографировать) : соотношения в суставах не нарушены. Отмечается варусная деформация нижней третей бедренных костей, и костей нижней трети правой голени. Умеренный остеопроз.
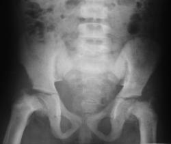
Подскажите, учитывая все данные (клинико-рентгенологические) как бы звучало ваше заключение? Слева, это патологический перелом или такая патологическая деформация головки и шейки бедренной кости?
Патологический процесс с обеих сторон в ростковых зонах, в результате чего нарушена энхондральная оссификация шеек бедер, идет их резорбция и головки смещаются книзу. Причиной этого, в данном случае, является почечная недостаточность. А в заключении, наверное, можно написать - варусная деформация бедер на фоне почечной остеодистрофии.
эпифизарная дисплазия
а снимочки коленных суставов у Вас есть?
Пока нет, но в плане: тазобедренные суставы в разведении, бедренный кости, кости голеней и стопы.
а зачем с разведением, кости голени и стопы? какое заключение Вы пишите?
пока никакое заключение не пишу, так попросили сделать в ортопедическом центре, где наблюдается ребенок
а с чем они егонаблюдают если не секрет
спрашиваю просто потому, что при диф диагнозе м/у спондилоэпифизарными, множественными эпифизарными и спондилометафизарными дисплазиями необходимо (обязательно) доснять рентгенографию позвоночника (на наличие платиспондилии). А уж коленные суставы и кости кистей рук как дополнительные исследования.
пролистала всю карту, и кроме как плоско-вальгусная деформация стоп, больше ни одной записи из того центра нет, со слов ортопеда, вначале ребенок наблюдался с варусной деформицией бедренных костей и костей голени...к сожалению, ребенок приходит на исследования с няней, которая, соответственно, подробностей не знает
понятно
Это не эпифизарная дисплазия, это детская coxa vara
http://www.docto.info/specialists/175/
https://www.instagram.com/pediatricradiology/
Спасибо DR.RAD и Ola-la, что не оставили без внимания, за ваши ценные комментарии. А девочка оказалась не такой уж и простой. На сегодняшний день ее диагноз звучит так: Хр. почечная недостаточность 4 стадия. ВАРМС: агенезия правой почки, мегауретер слева, кистозная дисплазия левой почки. Вторичный хронический пиелонефрит. Нефрогенная анемия. Нефрогенная остеопатия. Деформация костей нижних конечностей, плоско-вальгусные стопы.
Сегодня сделали рентген в прямой проекции бедренных костей, костей голени (к сожалению не было возможности сфотографировать) : соотношения в суставах не нарушены. Отмечается варусная деформация нижней третей бедренных костей, и костей нижней трети правой голени. Умеренный остеопроз.
Подскажите, учитывая все данные (клинико-рентгенологические) как бы звучало ваше заключение? Слева, это патологический перелом или такая патологическая деформация головки и шейки бедренной кости?
Патологический процесс с обеих сторон в ростковых зонах, в результате чего нарушена энхондральная оссификация шеек бедер, идет их резорбция и головки смещаются книзу. Причиной этого, в данном случае, является почечная недостаточность. А в заключении, наверное, можно написать - варусная деформация бедер на фоне почечной остеодистрофии.
https://www.instagram.com/pediatricradiology/
Большое спасибо за комментарии!