Пол пациента:
Тип патологии:
Область исследования:
Методы исследования:
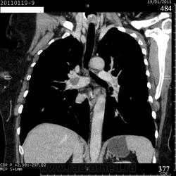
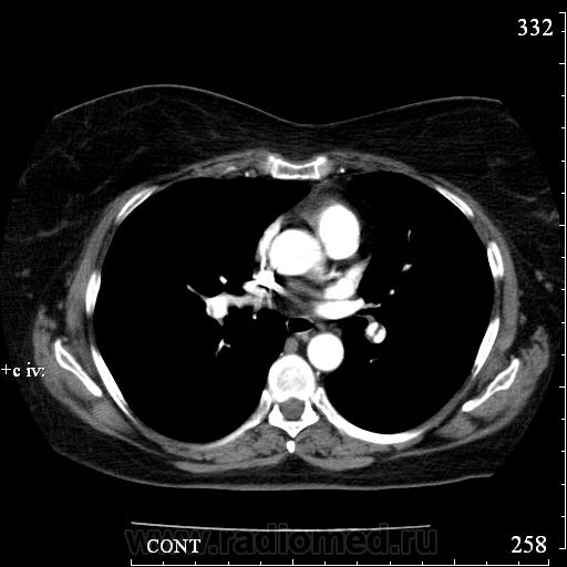
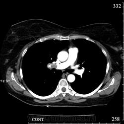
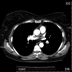
Коллега Mitkamfer спрашивал: "Может из наших коллег еще кто свои наблюдения покажет". Представляю случай ТЭЛА у женщины 57 лет с тромбозом подвздошной вены и распространением тромба в нижнюю полую вену.
Клиники особой не было, исследование делали с целью, а нет ли у нее еще и ТЭЛА. При КТ-ангиографии признаки пристеночных тромбов в правой и левой легочной артериях и единичных мелких пристеночных тромбов в мелких ветвях нижнедолевых артерий с обеих сторон, организовавшихся (лентовидных) тромбов в левой легочной артерии. При этом диаметры легочного ствола, правой и левой ЛА не расширены. Как видите, они такие разные, эти ТЭЛА
.
Изменения в легких при этом весьма скромные: в правом легком особых изменений нет, в левом - признаки организовавшегося инфаркта легкого - радиальные фиброзные тяжи в базально-латеральном сегменте нижней доли левого легкого.
Андрей Юрьевич
прекрасное наблюдение ,спасибо вам за предоставленный материал)))))
А что значит пристеночные тромбы? Они на месте организовались или приплыли из нижней полой вены?
Пристеночные - означают, что они прилежат к одной стенке и не перекрывают полностью артерию. ТЭЛА, как правило, является осложнением тромбоза глубоких вен таза и нижних конечностей.
Андрей Юрьевич
А может быть что они на месте уже образовались? Тогда не ТЭЛа будет, а тромбоз легочной артерии. Хотя сути дела это не меняет
Извините, коллега, но (на мой взгляд) Вы придумываете на пустом месте.
Андрей Юрьевич
Почему придумываю, я просто спросила
Коллега, я с удовольствием побеседую на эту тему, если Вы найдете ссылку на статью о тромбозе (а не тромбоэмболии) легочной артерии.
Суть этого материала совсем в другом:
1. ТЭЛА может быть и при незначительных (совсем незначительных) изменениях в легких.
2. Достоверной диагностикой ТЭЛА является только КТ-ангиография. Даже просто КТ (а не КТ-ангиография) в диагностике ТЭЛА бесполезны.
Андрей Юрьевич
Зачем дискутировать, я просто спросила и уже покопавшись нашла ответ.
In situ thrombosis of the pulmonary artery is thought to be rare. Most of the reported cases are from necropsy studies. However, there is no clear method at autopsy to separate old, organized pulmonary emboli from in situ thrombosis [4]. In situ pulmonary artery thrombosis has been reported after right heart failure (particularly failure that is due to mitral stenosis), obstructive lung disease, nephrotic syndrome, primary pulmonary hypertension, right heart catheterization, and congenital heart disease [5]
Diagnosis of pulmonary embolism with spiral CT is based on the direct visualization of the intraluminal thrombus as a hypoattenuating filling defect inside the opacified pulmonary arterial tree. Specific imaging characteristics of the emboli can aid in the differential diagnosis between acute pulmonary embolism and chronic thromboembolic disease: acute emboli appear as filling defects surrounded partly or completely by the opacified vessel or as filling defects that totally occupy the lumen in cross-section; on the contrary, chronic emboli appear as eccentric filling defects adhering to the arterial wall with a broad base
Вот именно, is thought to be rare.
Андрей Юрьевич
Значит не совсем придумываю
Просто интересно стало, почему тромбы пристеночные
Не понял. Типа я написал неправильно, а Вы открыли истину?
Андрей Юрьевич
Мне стало интересно, почему тромбы пристеночные - если в систему легочной артерии летит эмбол, то характеристики его по идее должны быть другими. Поэтому я подумала о том, что тромб не прилетел из вен нижних конечностей, а образовался на месте, что я и спросила. Потом посмотрела по статьям, что если тромбоэмболия хроническая, то характеристика тромбов именно такая (пристеночный итп), тем более они множественные. возможность первичного тромбоза тоже не исключается при таком виде тромбов, хоть он и rare/
Вроде так, теперь я понятно изъяснила свои фантазии??))))
Ваши фантазии мне ясны. Конечно, это хроническая тромбоэмболия. Но это тромбоэмболия, а не тромбоз.
Андрей Юрьевич
Я и не утверждала что это тромбоз, просто хотелось разобраться)
Знакомые слова. Так еще пациенты пишут, начитавшись интернета.
Мне ни разу не попадался тромбоз, его еще называют аппозиционным (рост вследствие наложения новых слоев). Но при тромбозе должно быть расширение легочных артерий, а в данном случае диаметр артерий не изменен. Прокоп пишет, что он возникает в случаях артериальной гипертензии крайней степени выраженности и синдроме Эйзенмергера (врожденный порок сердца: сочетание дефекта межжелудочковой перегородки с расширением легочного ствола и недостаточностью его клапана, а также нередко с декстропозицией аорты, отходящей от обоих желудочков непосредственно над дефектом перегородки.) Вот Ваша цитата: ///right heart failure (particularly failure that is due to mitral stenosis), obstructive lung disease, nephrotic syndrome, primary pulmonary hypertension, right heart catheterization, and congenital heart disease/// Ничего этого у данной пациентки нет. У нее тромбоз подвздошной вены с прорастанием бронха в нижнюю полую вену. Еще и поэтому это тромбоэмболия.
Андрей Юрьевич
Похоже, инет читает не только Мила)). А разобраться - похвально, правильно, ничего в этом плохого нет. Спасибо за дискуссию, кое-что новое почерпнула. Миру мир).
"Предоставляя весь смысл и совершенство в распоряжение одного только Бога, вы избавляете себя от бездны хлопот." Джон Уитборн.
спасибо за случай). вопрос этот уже организовавшийся инфаркт легкого лечили по схеме?
Не ограничивайте свою мысль
Живешь пока учишься
Ecrasez l’infame
А кто его знает. Я в лекарствах не разбираюсь, в вопросы лечения не лезу. Мне б с диагностикой справиться.
Андрей Юрьевич
на вопросы, поставленные Милой85, для меня будет интересно. Жду коллега.
Уважаемый Nikolas. Вы прекрасно понимайте, что вопрос поставленый Милой85 абсолютно правильный и приводит в восхишение.
Действительно в системе легочной артерии могут образовыватся тромбы в условиях повреждения интимы, так как кровоток в легочных артериях медленный. В 80 годах этому вопросу уделяли много внимания. В поисковике набрать: нарастающий тромбоз легочной артерии.
Ближайшая сноска http://www.reancenter.ru/node/249
Вопрос расматривается более подробно в публикациях посвяшенных причинам формирования легочного сердца.
Правильно ли я понял, коллега Бородулин, что Вы не считаете данный случай тромбоэмболией легочных артерий?
Андрей Юрьевич
Если нет в представленном случае ТЭЛА, то тогда и в левом легком: это не признаки организовавшегося инфаркта легкого.
Анатолий Петрович
Нет Андрей Юрьевич. Вы поняли неправильно.
Данная локализация более вероятно связана с эмболией, чем с тромбозом
Доказано ангиографией
Так, еще одно мнение
А если есть, то что...? Какое заключение Вы пишете, коллега Горюнов, когда видите подобную картину?
Андрей Юрьевич
Спасибо,
Уже стало легче.
Андрей Юрьевич
Вопрос о первичности места тромбообразования важен с точки зрения клинических проявлений заболевания.
Но в любом случае важен состав тромботической массы
Уважаемый, Андрей Юрьевич! В ходе диспута я неправильно Вас понял, думая, что Вы против наличия ТЭЛА. Анализируя представленные КТ-изображения (все они одного исследования), при ТЭЛА, изменения в легких - это признаки инфаркта легкого, в данном случае легкого линейно-тяжистого характера, хотя чаще он треугольной формы.
Рисунок 32. Дополнительные КТ-ангиографические признаки ТЭЛА у больной 58 лет.
Анатолий Петрович
К непрямым признакам относятся [81]:
Анатолий Петрович
Хорошо, что недоразумение разрешилось
Андрей Юрьевич
Анатолий Петрович
http://xrayblog.ru/?p=98
показательный случай
Не ограничивайте свою мысль
Живешь пока учишься
Ecrasez l’infame
Еще один случай диагностики ТЭЛА методом КТ-ангиографии, уже с инфарктом легкого http://radiomed.ru/cases/tela-2
Андрей Юрьевич