ТЭЛА-2.

Пол пациента: 
Методы исследования: 

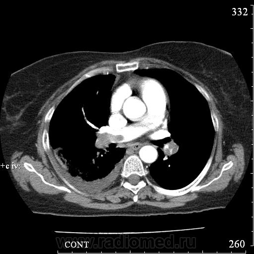
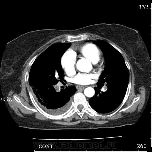
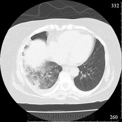
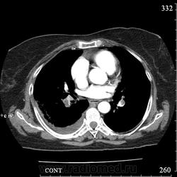
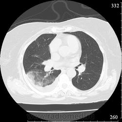
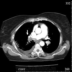
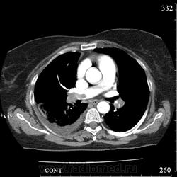
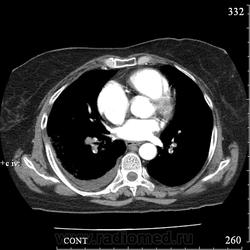
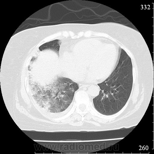
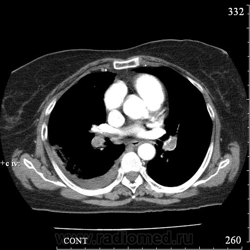
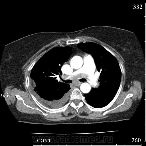
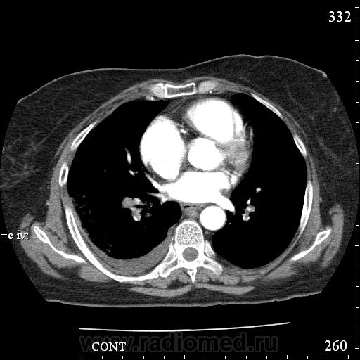
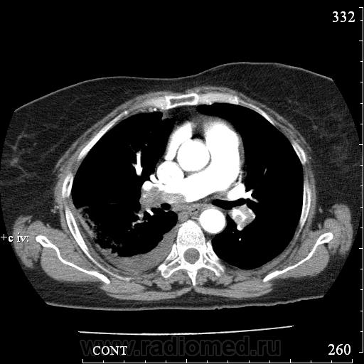
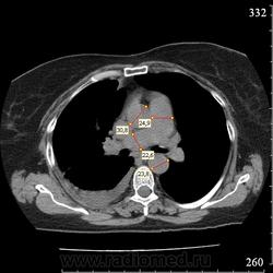
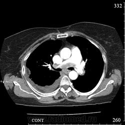
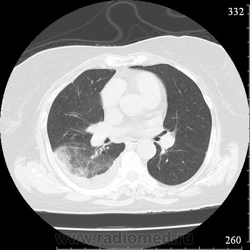
Еще один случай диагностики ТЭЛА методом КТ-ангиографии у женщины 59 лет. Основная клиническая жалоба - выраженная одышка. Определяется: полный дефект наполнения в системе правой ЛА (бифукация и нижнедолевая), неполный дефект наполнения в левой ЛА (нижнедолевая), пристеночные тромбы по задней стенке в области бифуркации обеих легочных артерий. Инфаркт (массивное кровоизлияние) нижней доли правого легкого. Правосторонний малый (120см3) гидроторакс. Несмотря на выраженные тромбы, поперечники легочных артерий - в пределах нормы.; на нативной (безконтрастной) КТ - тромбы не видны. Несмотря на почти полный дефект наполнения в левой нижнедолевой артерии, изменений в легочной ткани левого легкого нет. Также приводится топограмма, как вариант, приближенный к рутинной рентгенограмме

. 

               


 

  • https://radiomed.ru/sites/default/files/styles/case_slider_image/public/user/639/06_02.jpg?itok=FV5wSIjV
  • https://radiomed.ru/sites/default/files/styles/case_slider_image/public/user/639/06_03.jpg?itok=4oQIE2lS
  • https://radiomed.ru/sites/default/files/styles/case_slider_image/public/user/639/06_04.jpg?itok=w-cHudA3
  • https://radiomed.ru/sites/default/files/styles/case_slider_image/public/user/639/06_06.jpg?itok=hgSd0FGt
  • https://radiomed.ru/sites/default/files/styles/case_slider_image/public/user/639/06_07.jpg?itok=6gTQk98n
  • https://radiomed.ru/sites/default/files/styles/case_slider_image/public/user/639/06_08.jpg?itok=ogjnBaSH
  • https://radiomed.ru/sites/default/files/styles/case_slider_image/public/user/639/06_09.jpg?itok=9ZZFMhyx
  • https://radiomed.ru/sites/default/files/styles/case_slider_image/public/user/639/05_01.jpg?itok=kd0hpqu1
  • https://radiomed.ru/sites/default/files/styles/case_slider_image/public/user/639/03_01.jpg?itok=dFlCo4-G
  • https://radiomed.ru/sites/default/files/styles/case_slider_image/public/user/639/03_02.jpg?itok=Mj_i61eK
  • https://radiomed.ru/sites/default/files/styles/case_slider_image/public/user/639/03_03.jpg?itok=V1C6MSf5
  • https://radiomed.ru/sites/default/files/styles/case_slider_image/public/user/639/03_04.jpg?itok=ZqOpjaNx
  • https://radiomed.ru/sites/default/files/styles/case_slider_image/public/user/639/03_05.jpg?itok=oj3e9nWf
  • https://radiomed.ru/sites/default/files/styles/case_slider_image/public/user/639/08_01_.jpg?itok=ic5SJD73
ID:25096
Любовь С. аватар
Не на сайте
Был на сайте: 9 лет 9 месяцев назад
Зарегистрирован: 23.12.2010 - 01:58
Публикации: 2324

yes

"Предоставляя весь смысл и совершенство в распоряжение одного только Бога, вы избавляете себя от бездны хлопот." Джон Уитборн.

Special.K аватар
Не на сайте
Был на сайте: 9 лет 2 месяцев назад
Зарегистрирован: 09.08.2012 - 23:08
Публикации: 479

Показательно.  КТ - сила.

Андрей Юрьевич аватар
Не на сайте
Был на сайте: 2 месяцев 3 недели назад
Зарегистрирован: 16.11.2008 - 22:16
Публикации: 18101

В данном случае не просто КТ, КТ-ангиография - сила. Нативное КТ, также не ответило бы на все вопросы.

Андрей Юрьевич

алкс аватар
Не на сайте
Был на сайте: 10 лет 4 месяцев назад
Зарегистрирован: 24.10.2012 - 22:55
Публикации: 2915

Андрей Юрьевич wrote:

В данном случае не просто КТ, КТ-ангиография - сила. Нативное КТ, также не ответило бы на все вопросы.

Как бы тромб-наездник, окклюзия справа выраженная, но и слева имеется.

Сан Саныч1 аватар
Не на сайте
Был на сайте: 1 год 3 месяцев назад
Зарегистрирован: 07.06.2010 - 21:17
Публикации: 2114

Наблюдение - класс! Надеюсь, больная выживет, хотя шансов оооощень мала.

Хочешь сделать что-то нормально - сделай это сам!

алкс аватар
Не на сайте
Был на сайте: 10 лет 4 месяцев назад
Зарегистрирован: 24.10.2012 - 22:55
Публикации: 2915

Сан Саныч1 wrote:

Наблюдение - класс! Надеюсь, больная выживет, хотя шансов оооощень мала.

Очень даже выживет.