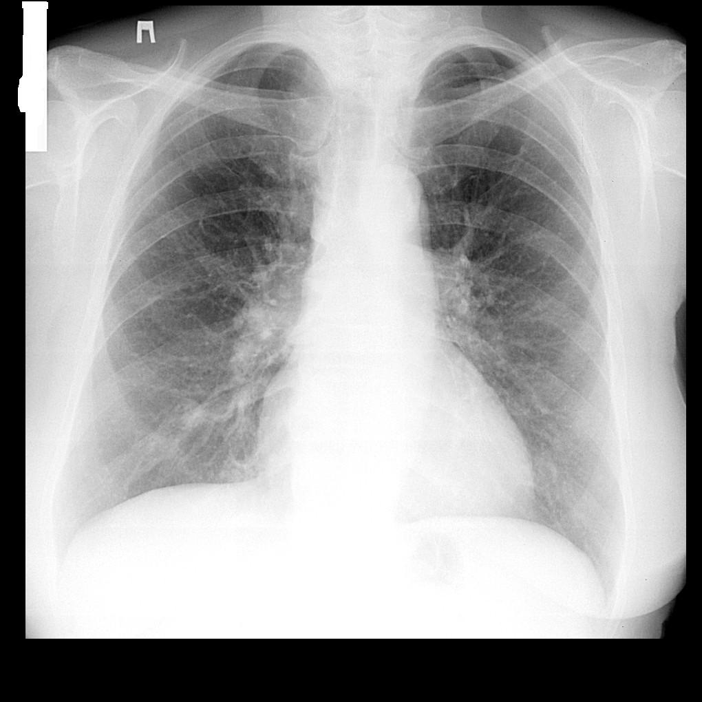
Локальное усиление пневмофиброза здесь симптом совершенно малозначительный. Что-то есть в S9 и в S4. Существеннее тут расширение и ухудшение структурности корней, особенно правого.
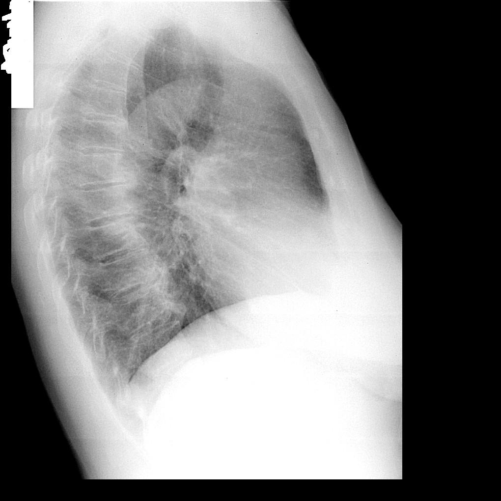
Чтобы какая-то патология в молочной железе стала видимой на обычной флюорограмме лёгких, патологическая ткань должна резко отличаться по степени поглощения рентгеновского излучения от её обычных тканей. К фиброзной ткани это не относится. Я так думаю).
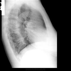
Если можно стрелочкой "тень" указать.
Тень крайне неважная- в том смысле, что находится на пересечении костных структур, ее-бы вывести из-под ребер....
В C-9 ,в негативе видно не очень , но в позитиве достатчно неплохо, на данный момент снимки в позитиве представить не могу.
скорее всего рисунок , холчеться услішать мнение более опытных врачей если есть возможность посмотрите в позитиве
Думаю, что игра ЛР и ребер. А корни не смущают?
Локальное усиление пневмофиброза
Неоднозначно всё
Скорее, в молочной железе. УЗИ?
https://www.youtube.com/channel/UCBGxoBUOqUT_bFhSeUgtWEw
Не может быть.
Неоднозначно всё
В каком сегменте? Или его усиление, фиброза-то... чем бы это ни было)
https://www.youtube.com/channel/UCBGxoBUOqUT_bFhSeUgtWEw
Локальное усиление пневмофиброза здесь симптом совершенно малозначительный. Что-то есть в S9 и в S4. Существеннее тут расширение и ухудшение структурности корней, особенно правого.
Чтобы какая-то патология в молочной железе стала видимой на обычной флюорограмме лёгких, патологическая ткань должна резко отличаться по степени поглощения рентгеновского излучения от её обычных тканей. К фиброзной ткани это не относится. Я так думаю).
Неоднозначно всё
Большое спасибо за ответ.
https://www.youtube.com/channel/UCBGxoBUOqUT_bFhSeUgtWEw
На здоровье, маленький Кораблик.
Неоднозначно всё