Катенёв В.Л.
Случай из практики «Типичный периферический рак верхней доли левого лёгкого».
(Рентгенологическое отделение МУЗ «Красногвардейская центральная районная больница» Белгородской области)
Уважаемые коллеги! Хотя представленный случай и называется «Типичный периферический рак верхней доли левого лёгкого, выявленный при скрининговой флюорографии», его вполне можно было - бы назвать и по – другому.
1. Пациента мы не могли «дозваться» на контроль со 2 февраля до 31 октября (несмотря на то, что более 4 раз «передовалось» сообщение по месту жительства пациента конкретным лицам). Следовательно, случай вполне обоснованно мог быть назван – «Отношение граждан к своему здоровью или кто виноват в статистике «запущенных раков»»?
2. «Роль участковой службы в несвоевременном выявлении онкологических заболеваний». Это касается участковых терапевтов, врачей ВОПов и из сестер, работников ФАПов.
3. «Роль талона о прохождении профилактической флюорографии (а не заключения) в психологической успокоенности участковой службы». Наличие отметки или «талона», а не заключения в амбулаторной карте, рождает успокоенность врачей, к которым обращается пациент «на прием», в то время, как работники флюорографического кабинета не могут дозваться данного пациента «на контроль», и этот пациент, зная, что он должен «проходить флюорографию 1 раз в год» посылает всех и вся.
В феврале 2008 г. гражданин был направлен регистратурой для прохождения профилактической флюорографии, с учетом того, что ранее в течение 3-х лет данного исследования «не проходил».
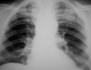
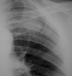
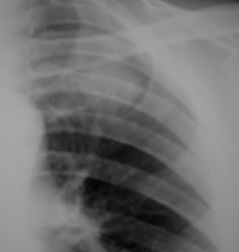
Исследование проведено на цифровом флюорографе «Ренекс-Флюоро». Иллюстрация 1 – прямая проекция. Иллюстрации 2, 3 – изучение изображения с увеличением.
Иллюстрация 1. Слева на уровне 1 межреберья определяется фокусная тень округлой формы средней интенсивности, с намечающейся «дорожкой» к корню левого лёгкого. В базальных отделах легочных полей, больше справа определяется усиление и обогащение легочного рисунка. Аорта несколько удлинена, незначительная гипертрофия левого желудочка.
Иллюстрация 2. Создается впечатление нечеткости контуров фокусной тени, неоднородность ей структуры. Имеет место некоторое расширение и гомогенизация тени левого корня.
Иллюстрация 3. Визуализируется «дорожка» к корню левого лёгкого от фокусной тени.
Проведено дообследование пациента на аппарате «Вироматик». Иллюстрация 4 – рентгенограмма в прямой стандартной проекции. Иллюстрации 5, 6 – фрагменты с увеличением изображения.
Иллюстрация 4. Фокусная тень средней интенсивности на уровне 1 межреберья слева с нечеткими, неровными контурами.

Иллюстрации 5, 6. Структура тени неоднородная, визуализируются мелкие просветления, что может свидетельствовать о мелкофокусном распаде, определяется дорожка к корню левого лёгкого.
Произведено томографическое исследование – линейная томография в прямой проекции.
Срез 1. Иллюстрации 7, 8, 9. Фокусная тень неоднородной структуры с нечеткими контурами. Дифференцируется «дорожка» к корню. По нижнему контуру фокусной тени определяется вырезка по типу «вырезки Риглера». В окружающей легочной ткани некоторое снижение прозрачности, по всей видимости, за счет перипроцесса.
Иллюстрация 8. Фрагмент с увеличением изображения. Четко дифференцируется неоднородность структуры.
Иллюстрация 9. Фрагмент с «дорожкой».
Срез 2. Иллюстрации 10, 11. Четко дифференцируются очаги деструкции.
Срез 3. Иллюстрации 12, 13,
Иллюстрации 12, 13. Фокусная тень, с эксцентрично расположенными очагами деструкции, с нечеткими контурами. «Дорожка» неоднородная по ширине, состоящая, как – бы из узелков. По нижнему контуру фокусной тени дифференцируется вырезка Риглера.
Иллюстрация 14. По верхне-латеральному контуру фокусной тени дифференцируется тяж в сторону костальной плевры.
Иллюстрация 15. «Дорожка» образована сосудистыми и узловыми скиалогическими образованиями.