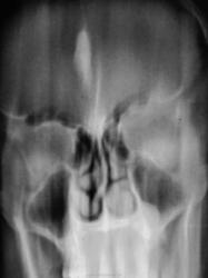
Пол пациента: Женский пол Тип патологии: Другое Область исследования: Челюстно-лицевая область и шея Методы исследования: Rg Томограммы гайморовых полостей. https://radiomed.ru/sites/default/files/styles/case_slider_image/public/user/12/2.p4180062a.jpg?itok=CsTi5YGN https://radiomed.ru/sites/default/files/styles/case_slider_image/public/user/12/3.p4180063.jpg?itok=-SEbP-QZ https://radiomed.ru/sites/default/files/styles/case_slider_image/public/user/12/4.p4180063a.jpg?itok=ggnObqVv ID:20675 Цель публикации: Консультация Ср, 18/04/2012 - 23:01 #1 Илья Юрьевич Не на сайте Был на сайте: 13 лет 9 месяцев назад Зарегистрирован: 25.03.2012 - 16:44 Публикации: 8 Киста (полип) в проекции нижнего носового хода слева, киста (утолщенная слизистая) в альвеолярной бухте левой верхнечелюстной пазухи. Чт, 19/04/2012 - 23:36 #2 doktor-rentgen Не на сайте Был на сайте: 9 лет 8 месяцев назад Зарегистрирован: 06.07.2010 - 20:56 Публикации: 640 А во лбу что? Пт, 20/04/2012 - 00:02 #3 Катенёв Валенти... Не на сайте Был на сайте: 7 лет 6 месяцев назад Зарегистрирован: 22.03.2008 - 22:15 Публикации: 54876 По всей видимости, обызвествленный фалькс церебри.
Киста (полип) в проекции нижнего носового хода слева, киста (утолщенная слизистая) в альвеолярной бухте левой верхнечелюстной пазухи.
А во лбу что?
По всей видимости, обызвествленный фалькс церебри.