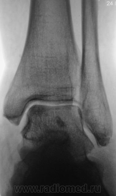
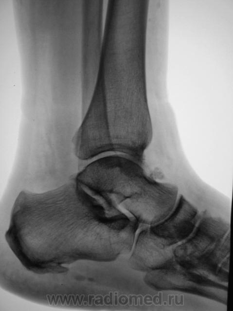
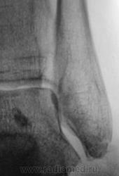
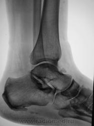
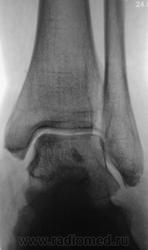
Трах... и вырос "грибок" на таранной...

Пол пациента: 
Тип патологии: 
Область исследования: 
Методы исследования: 

Трах... и вырос "грибок" на таранной...

  • https://radiomed.ru/sites/default/files/styles/case_slider_image/public/user/12/2.p3090020b1.jpg?itok=AdGBHbWD
  • https://radiomed.ru/sites/default/files/styles/case_slider_image/public/user/12/3.p3090021a.jpg?itok=jYMM367B
  • https://radiomed.ru/sites/default/files/styles/case_slider_image/public/user/12/4.p3090021v1.jpg?itok=qbrUe95U
  • https://radiomed.ru/sites/default/files/styles/case_slider_image/public/user/12/5.p3090022a.jpg?itok=Iw55cr4i
  • https://radiomed.ru/sites/default/files/styles/case_slider_image/public/user/12/6.p3090023a.jpg?itok=nSNlr2a6
  • https://radiomed.ru/sites/default/files/styles/case_slider_image/public/user/12/7.p3090023aab.jpg?itok=5YCqwoCF
  • https://radiomed.ru/sites/default/files/styles/case_slider_image/public/user/12/8.p3090023l.jpg?itok=rOsGGGvx
  • https://radiomed.ru/sites/default/files/styles/case_slider_image/public/user/12/9.p3090023l1.jpg?itok=gdSVX_Rg
ID:28706
brainmodel аватар
Не на сайте
Был на сайте: 2 месяцев 2 недели назад
Зарегистрирован: 18.03.2010 - 22:04
Публикации: 2881

Грибок этот не "трахогенной" природы. У меня вообще сомнения, что это вырост кости.

Verum plus uno esse non potest.

Катенёв Валентин Львович аватар
Не на сайте
Был на сайте: 7 лет 2 недели назад
Зарегистрирован: 22.03.2008 - 22:15
Публикации: 54876

brainmodel wrote:

Грибок этот не "трахогенной" природы. У меня вообще сомнения, что это вырост кости.

Понятно конечно, что "грибок" случайная находка. Но травма была...

brainmodel аватар
Не на сайте
Был на сайте: 2 месяцев 2 недели назад
Зарегистрирован: 18.03.2010 - 22:04
Публикации: 2881

Лодыжка срастется, никуда не денется. А вот оссифицирующий апоневрозит и данный то-ли экзостоз, то-ли оссификат капсулы будут периодически доставать и пациента, и врача-куратора.

Verum plus uno esse non potest.

И.Бондаренко аватар
Не на сайте
Был на сайте: 28 минут 15 секунд назад
Зарегистрирован: 13.09.2011 - 22:55
Публикации: 9206

Больше склоняюсь к хондромному телу, хоть в данном месте не встречал

Фил аватар
Не на сайте
Был на сайте: 6 лет 9 месяцев назад
Зарегистрирован: 13.09.2011 - 16:24
Публикации: 137

Грибок этот не "трахогенной" природы. У меня вообще сомнения, что это вырост кости.  +1 !     Больше похоже на обызвествление сосудов . А хондроматоз - не подходит по локализации , хотя сама тень похожа внешне .