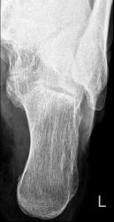
А чем там откалывать? Ну, в крайнем случае, отрывной. А мне кажется, что этот же участок на боковом снимке дает участок "уплотнения". М.б. это оссифицирующий лигаментоз по типу пяточной шпоры? Не очень однозначные снимки.
Меня очень смущает "лигаментоз по типу пяточной шпоры" по мнению уважаемой Gorlina.Anna, постараюсь отследить данный случий в динамике, может я конечно и ошибаюсь, хотя пациент жалуется на болезненность именно в этом месте.
"Знаешь, у некоторых врачей есть комплекс мессии — им необходимо спасать мир. А у тебя комплекс Рубика — тебе необходимо решать головоломки."
Гм...давайте так. Нарушения целостности костных струтур на предмет перелома я не вижу и по сию минуту, не смотря на активные убеждения в этом. То что показывают прицельно считаю это нормой- а именно медиальным отростком пяточного бугра. По поводу шопры то же не вижу, есть оссификация под пяточно-кубовидным суставом в боковой проекции. Больше ничего.
Согласен с коллегами Ольгой, Алексом и rentgengb1! Норма! Нечему отрываться по медиальной поверхности пяточной кости. Каким же должен быть механизм травмы, что бы оторвать малюсенький кусочек костной ткани от медиальной поверхности пяточной кости?
Добавлю свои 2 копейки, никаких указаний на дефект костной структуры не вижу. Даже если и представить что перез нами отрыв, то каков же механизм такой травмы? Особенно принимая во внимание крайне скудные ее (потенциально) проявления... Нет, я бы не сомневаясь сказал - норма.
Не забывайте уважаемый В.Б.Серов что пациенты сейчас после врачей сразу за книгу или за интернет бегут. А потом следом в какую нибудь страховую компанию или сразу в суд.
"Знаешь, у некоторых врачей есть комплекс мессии — им необходимо спасать мир. А у тебя комплекс Рубика — тебе необходимо решать головоломки."
v1tal, всегда об этом помню, со времен ... , если это так вас (и больного) беспокоит, надо доказать себе и соотв. инстанциям (суд, страховщики) наличие/отсутствие костных повреждений дополнительными снимками.
Вас можно понять, с точки зрения проведения вневедомственной экспертизы, жалоб и всего прочего, что может иметь место быть.
Но если пациенту не были проведены дополнительные рентгенограммы, подтверждающие или опровергающие "нарушение целостности" костной ткани, то в таких случаях, по всей видимиости, целесообразно, формулирование заключения, как "нельзя исключить нарушение целостности костной ткани". Конечно - это не совсем правильно, но в данном случае хирург или травматолог, однозначно, позаботится о том, чтобы направить пациента для проведения контрастного, или повторного дообследования, так как лист "по нетрудоспособности" выдает он, а не Вы.
Перелома не вижу, даже сомнений нет! написал бы норму.
Уважаемый rentgengb1 а ближе к медиальному отростку бугра пяточной кости вас ни что не смущает?
"Знаешь, у некоторых врачей есть комплекс мессии — им необходимо спасать мир. А у тебя комплекс Рубика — тебе необходимо решать головоломки."
А чем там откалывать? Ну, в крайнем случае, отрывной. А мне кажется, что этот же участок на боковом снимке дает участок "уплотнения". М.б. это оссифицирующий лигаментоз по типу пяточной шпоры? Не очень однозначные снимки.
Век живи - век учись...
Нет не смущает, покажите пожалуйста прицельно, что Вас смущает.
Меня очень смущает "лигаментоз по типу пяточной шпоры" по мнению уважаемой Gorlina.Anna, постараюсь отследить данный случий в динамике, может я конечно и ошибаюсь, хотя пациент жалуется на болезненность именно в этом месте.
"Знаешь, у некоторых врачей есть комплекс мессии — им необходимо спасать мир. А у тебя комплекс Рубика — тебе необходимо решать головоломки."
Гм...давайте так. Нарушения целостности костных струтур на предмет перелома я не вижу и по сию минуту, не смотря на активные убеждения в этом. То что показывают прицельно считаю это нормой- а именно медиальным отростком пяточного бугра. По поводу шопры то же не вижу, есть оссификация под пяточно-кубовидным суставом в боковой проекции. Больше ничего.
Снимки действительно отличные, но я согласен с коллегой rentgengb1
На каком аппарате были сделаны снимки ?
Снимки были сделаны на аппарате philips-Tele Diagnost.
"Знаешь, у некоторых врачей есть комплекс мессии — им необходимо спасать мир. А у тебя комплекс Рубика — тебе необходимо решать головоломки."
Я бы тоже перелом НЕ выставила.
https://www.instagram.com/pediatricradiology/
Согласен с коллегами Ольгой, Алексом и rentgengb1! Норма! Нечему отрываться по медиальной поверхности пяточной кости. Каким же должен быть механизм травмы, что бы оторвать малюсенький кусочек костной ткани от медиальной поверхности пяточной кости?
dok
Возраст пациента 46 лет.
"Знаешь, у некоторых врачей есть комплекс мессии — им необходимо спасать мир. А у тебя комплекс Рубика — тебе необходимо решать головоломки."
Добавлю свои 2 копейки, никаких указаний на дефект костной структуры не вижу. Даже если и представить что перез нами отрыв, то каков же механизм такой травмы? Особенно принимая во внимание крайне скудные ее (потенциально) проявления... Нет, я бы не сомневаясь сказал - норма.
Bis Dat Qui Cito Dat
Даже если это перелом (не думаю так), заключение "норма" не навредит больному сильно.
Зри в корень!
Не забывайте уважаемый В.Б.Серов что пациенты сейчас после врачей сразу за книгу или за интернет бегут. А потом следом в какую нибудь страховую компанию или сразу в суд.
"Знаешь, у некоторых врачей есть комплекс мессии — им необходимо спасать мир. А у тебя комплекс Рубика — тебе необходимо решать головоломки."
v1tal, всегда об этом помню, со времен ... , если это так вас (и больного) беспокоит, надо доказать себе и соотв. инстанциям (суд, страховщики) наличие/отсутствие костных повреждений дополнительными снимками.
Зри в корень!
Коллега v1tal!
Вас можно понять, с точки зрения проведения вневедомственной экспертизы, жалоб и всего прочего, что может иметь место быть.
Но если пациенту не были проведены дополнительные рентгенограммы, подтверждающие или опровергающие "нарушение целостности" костной ткани, то в таких случаях, по всей видимиости, целесообразно, формулирование заключения, как "нельзя исключить нарушение целостности костной ткани". Конечно - это не совсем правильно, но в данном случае хирург или травматолог, однозначно, позаботится о том, чтобы направить пациента для проведения контрастного, или повторного дообследования, так как лист "по нетрудоспособности" выдает он, а не Вы.