Пол пациента:
Тип патологии:
Область исследования:
Методы исследования:
- https://radiomed.ru/sites/default/files/styles/case_slider_image/public/user/117/_223300000000.png?itok=0awvKENv
- https://radiomed.ru/sites/default/files/styles/case_slider_image/public/user/12/1.ush_..jpg?itok=2hFig8KS
- https://radiomed.ru/sites/default/files/styles/case_slider_image/public/user/12/2.ush_..jpg?itok=-5v5yWY0
- https://radiomed.ru/sites/default/files/styles/case_slider_image/public/user/12/3.ush_..jpg?itok=-OIBR0iN
- https://radiomed.ru/sites/default/files/styles/case_slider_image/public/user/12/4.ush_..jpg?itok=VLsOOTTq
- https://radiomed.ru/sites/default/files/styles/case_slider_image/public/user/12/5.ush_..jpg?itok=vfLzOA1A
- https://radiomed.ru/sites/default/files/styles/case_slider_image/public/user/12/6.ush_..jpg?itok=LajY1ibn
- https://radiomed.ru/sites/default/files/styles/case_slider_image/public/user/12/7.ush_..jpg?itok=fMWhFXBK
- https://radiomed.ru/sites/default/files/styles/case_slider_image/public/user/12/8.ush_..jpg?itok=V9GLIsZf
ID:1810
Fx?
Let me see...
radiographia.ru
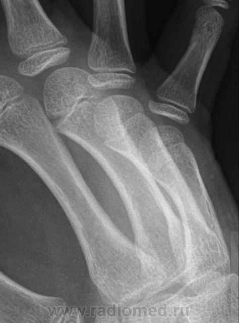
Остеоэпифизеолиз о/ф III пальца.
https://www.instagram.com/pediatricradiology/
Отличное качество снимков!! На чём работаете?
Интересно, чем можно объяснить такой "грациозный" диафиз 4 пястной кости?
Спасибо Валентин Львович за обработку изображений, в данном случае остеоэпифизиолиз проксимальной фаланги 3п.. В косой проекции кстати даже четко видно ступеньку.
"Знаешь, у некоторых врачей есть комплекс мессии — им необходимо спасать мир. А у тебя комплекс Рубика — тебе необходимо решать головоломки."
А это сокращено? Или возможно номенклатура?
"Знаешь, у некоторых врачей есть комплекс мессии — им необходимо спасать мир. А у тебя комплекс Рубика — тебе необходимо решать головоломки."
Снимок сделан вчера вечером по дежурству, на Omni-Diagnost(philips).
"Знаешь, у некоторых врачей есть комплекс мессии — им необходимо спасать мир. А у тебя комплекс Рубика — тебе необходимо решать головоломки."
Да, такое качество позволяет дифференцировать микроскопические повреждения
Зри в корень!
Черного кобеля не отмоешь добела?!