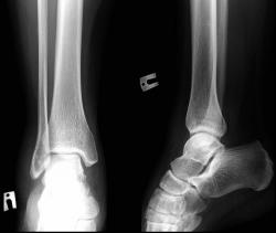
Отличные, высокоструктурные снимки - честь Вам и Вашим помощникам - лаборантам. Сначала тоже сильно засомневался, ибо линия перелома (смещения то нет) "накладывается" на задний контур м/берцовой кости, но нижний снимок убедил, что перелом "задней" лодыжки.
Валентин Львович, а что такого отличного у "нижнего" снимка, что он вас убедил? Всего лиш позитив, болше не вижу отличий Хотелось бы дополнительных доказательств наличия перелома, у меня нет уверенности, только подозрения. Не припоминаю в своей практике перелома "задней лодыжки" не сочетающегося с переломом латеральной и/или медиальной. Структурность снимков да, хороша.
Отличные, высокоструктурные снимки, не часто такое бывает. Я думаю, что автор предоставит доказательства - "варианты косых". Я просто скопировал, увеличил, и как мне кажется, балки прерываются. Я повторюсь, что качество (структура) сверхпохвал. Кстати, на боковом снимке хорошо дифференцируется дополнительная сверхкомплектная кость.
Тонкоструктурные снимки – заслуга создателей замечательного, несомненно цифрового, аппарата. Как называется? Ну а то что мы можем оценить тонкости структуры – заслуга автора – v1tal. Не пожалел для нас пикселей, не то, что некоторые...
Отличная работа и с национальным колоритом — буквы!
Валентин Львович, я ни стал мучить пациента и делать в косой проекции, но на будущее я обязательно учту, сопоставив кническую и рентген-картину(если внимательно поглядеть то линия перелома не совсем наклалывается на край м/берцовой кости, а так же четко визуализируемую структуру костных балок, которые четко видно на цифре), было выставлено заключение о переломе.
Уважаемый В.Б. Серов бывают случаи которые не поддаются логике, но лично я выбираю сторону в пользу пациента, ибо он может пострадать из-за моей уверенности.
Снимки были сделаны на цифровом аппарате фирмы philips-Tele Diagnost.
"Знаешь, у некоторых врачей есть комплекс мессии — им необходимо спасать мир. А у тебя комплекс Рубика — тебе необходимо решать головоломки."
Уважаемый В.Б. Серов бывают случаи которые не поддаются логике, но лично я выбираю сторону в пользу пациента, ибо он может пострадать из-за моей уверенности.
------------------------------------------------
v1tal, это хорошо, что у вас есть уверенность, но часто необходимы доказательства видимые, доступные оппоненту (я не имею ввиду себя), надеюсь вы их предоставите хотя бы со временем, ведь через 2 - 4 недели будут контрольные снимки?
Ребяты! Всё тут видно. Но можно лучше. Ставим в браузере масштаб не 100%, а 200% или 300% и видим (даже без очков!) – линия перелома б. берцовой позади проекции контура м. берцовой и направления их книзу расходятся.
v1tal << Уважаемый В.Б. Серов бывают случаи которые не поддаются логике...>> В трудных случаях, а они могут быть в любую минуту, включаем fuzzy logic. Мы ведь рентгенологи, а не военные.
Philips Tele Diagnost он с телеуправляемым штативом? Сколько стоил $ ?
“В трудных случаях, а они могут быть в любую минуту, включаем fuzzy logic“ скорее fuzzy search.
Fuzzy search – нечёткий поиск, поиск на основе нечёткой логики; поиск, при котором в список найденных попадают и объекты, не в точности равные искомому, но близкие к нему по какому-то критерию. Позволяет, например, искать по слову, введенному с ошибкой. Fuzzy logic – нечёткая логика, формальная система логики, разработанная Лотфи-заде (Lotfi Zadeh, университет Беркли) в 1960-х годах, являющаяся расширением обычной Булевой логики. В ней значения "истина" и "ложь" заменяются значениями функции на отрезке [0, 1] (концепция частичной правды). Позволяет уйти от однозначности ответа на вопрос. Часто используется в экспертных и самообучающихся системах, системах управления устройствами и технологическими процессами, а также в системах распознавания образов.
Ребяты! Всё тут видно. Но можно лучше. Ставим в браузере масштаб не 100%, а 200% или 300% и видим (даже без очков!) – линия перелома б. берцовой позади проекции контура м. берцовой и направления их книзу расходятся.
-----------------------------------
Да, провел все вышеперечисленные манипуляции, теперь вижу, убедили ключевое доказательство: "линия перелома б. берцовой позади проекции контура м. берцовой"
Уважаемый Петрович! Насторожила последняя фраза "Мы ведь рентгенологи, а не военные". Позволю себе спросить, чем Вам военные-то не угодили. Считаете их (нас, меня) людьми, не умеющих мыслить, а работать только в рамках приказов? Если так, то это Ваше глубокое заблуждение. Во-первых, любой приказ - это не догма, а руководство к действию (хоть военный приказ, хоть указ Президента). Во-вторых, Вы, насколько я понял работаете в Питере. Моими учителями были Кишковский, Дозорцев, Есиновская, Апряткина, Пчелин, Ищенко, Давыденко, Тюрин и.тд. Великолепная Питерская школа военной рентгенологии. Любое имя-величина в отечественной рентгенологии. С увжением В. Ермолаев.
По представленному случаю. Имеется изолированный перелом заднего края большеберцовой кости без смещения костных отломков. Кстати, редко встречаются изолированные. Чаще в сочетании с переломами лодыжек, вывихом таранной кости.
<< Уважаемый Петрович! Насторожила последняя фраза "Мы ведь рентгенологи, а не военные". Позволю себе спросить, чем Вам военные-то не угодили. Считаете их (нас, меня) людьми, не умеющих мыслить, а работать только в рамках приказов? >>
Уважаемый dok Ермолаев! Боже упаси, ничего личного. Во-первых это короткое предложение самостоятельной ценности не имея, лишь поясняло предыдущее: «В трудных случаях, а они могут быть в любую минуту, включаем fuzzy logic.». Во-вторых я не имел в виду военных рентгенологов (которых теперь уже нет), тем более выдающихся военных рентгенологов. А имел в виду военных в самом общеупотребительном смысле, как людей подконтрольных, существующих в рамках уставов и инструкций, составленных для них добрыми начальниками. Согласитесь, что включать fuzzy logic, чтобы уйти от однозначности ответа на вопрос, военнослужащим без специального разрешения не полагается. И Вы наверное, не будете утверждать, что взаимоотношения начальников и подчинённых в обычной строевой части столь же либеральны как в ВМА.
Уважаемый Петрович! Почти соглашусь. Взаимоотношения начальников и подчиненных абсолютно одинаковы и в армии и на гражданке. Это заявляю со всей уверенностью. Тем более есть возможность сравнивать. Все зависит от человека, а человеческий фактор имеется во всем нашем обществе. В армию приходят люди не из пеленок. До 17-18 лет живут в обществе. Отличие армии - в более жесткой дисциплине и соблюдении принципа "единоначалия". Единоначалие-это когда происходит обсуждение будующих приказов с привлечением военнослужащих всех уровней, служб. Начальник обязан выслушать мнение всех. После этого командиром принимается решение, оформляемое приказом. Далее неукоснительное и в срок его выполнение. Все очень просто.
Я понял: об армии или хорошо или ничего. Её состояние даже у меня вызывает озабоченность. Да я и не думал писать об армии. Но уж подлежащее «военный» в мирном аспекте позвольте.
Отличные, высокоструктурные снимки - честь Вам и Вашим помощникам - лаборантам. Сначала тоже сильно засомневался, ибо линия перелома (смещения то нет) "накладывается" на задний контур м/берцовой кости, но нижний снимок убедил, что перелом "задней" лодыжки.
Валентин Львович, а что такого отличного у "нижнего" снимка, что он вас убедил? Всего лиш позитив, болше не вижу отличий
Хотелось бы дополнительных доказательств наличия перелома, у меня нет уверенности, только подозрения. Не припоминаю в своей практике перелома "задней лодыжки" не сочетающегося с переломом латеральной и/или медиальной. Структурность снимков да, хороша.
Зри в корень!
Отличные, высокоструктурные снимки, не часто такое бывает. Я думаю, что автор предоставит доказательства - "варианты косых". Я просто скопировал, увеличил, и как мне кажется, балки прерываются. Я повторюсь, что качество (структура) сверхпохвал. Кстати, на боковом снимке хорошо дифференцируется дополнительная сверхкомплектная кость.
Тонкоструктурные снимки – заслуга создателей замечательного, несомненно цифрового, аппарата. Как называется? Ну а то что мы можем оценить тонкости структуры – заслуга автора – v1tal. Не пожалел для нас пикселей, не то, что некоторые...
Отличная работа и с национальным колоритом — буквы!
Неоднозначно всё
Валентин Львович, я ни стал мучить пациента и делать в косой проекции, но на будущее я обязательно учту, сопоставив кническую и рентген-картину(если внимательно поглядеть то линия перелома не совсем наклалывается на край м/берцовой кости, а так же четко визуализируемую структуру костных балок, которые четко видно на цифре), было выставлено заключение о переломе.
Уважаемый В.Б. Серов бывают случаи которые не поддаются логике, но лично я выбираю сторону в пользу пациента, ибо он может пострадать из-за моей уверенности.
Снимки были сделаны на цифровом аппарате фирмы philips-Tele Diagnost.
"Знаешь, у некоторых врачей есть комплекс мессии — им необходимо спасать мир. А у тебя комплекс Рубика — тебе необходимо решать головоломки."
v1tal пишет:
------------------------------------------------
Уважаемый В.Б. Серов бывают случаи которые не поддаются логике, но лично я выбираю сторону в пользу пациента, ибо он может пострадать из-за моей уверенности.
------------------------------------------------
v1tal, это хорошо, что у вас есть уверенность, но часто необходимы доказательства видимые, доступные оппоненту (я не имею ввиду себя), надеюсь вы их предоставите
хотя бы со временем, ведь через 2 - 4 недели будут контрольные снимки?
Зри в корень!
Да конечно, обязательно, я прослежу за данным пациентом.
"Знаешь, у некоторых врачей есть комплекс мессии — им необходимо спасать мир. А у тебя комплекс Рубика — тебе необходимо решать головоломки."
Ребяты! Всё тут видно. Но можно лучше. Ставим в браузере масштаб не 100%, а 200% или 300% и видим (даже без очков!) – линия перелома б. берцовой позади проекции контура м. берцовой и направления их книзу расходятся.
v1tal << Уважаемый В.Б. Серов бывают случаи которые не поддаются логике...>>
Неоднозначно всё
Philips Tele Diagnost он с телеуправляемым штативом? Сколько стоил $ ?
“В трудных случаях, а они могут быть в любую минуту, включаем fuzzy logic“ скорее fuzzy search.
Fuzzy search – нечёткий поиск, поиск на основе нечёткой логики; поиск, при котором в список найденных попадают и объекты, не в точности равные искомому, но близкие к нему по какому-то критерию. Позволяет, например, искать по слову, введенному с ошибкой.
Fuzzy logic – нечёткая логика, формальная система логики, разработанная Лотфи-заде (Lotfi Zadeh, университет Беркли) в 1960-х годах, являющаяся расширением обычной Булевой логики. В ней значения "истина" и "ложь" заменяются значениями функции на отрезке [0, 1] (концепция частичной правды). Позволяет уйти от однозначности ответа на вопрос. Часто используется в экспертных и самообучающихся системах, системах управления устройствами и технологическими процессами, а также в системах распознавания образов.
Неоднозначно всё
Петрович пишет:
======================
Ребяты! Всё тут видно. Но можно лучше. Ставим в браузере масштаб не 100%, а 200% или 300% и видим (даже без очков!) – линия перелома б. берцовой позади проекции контура м. берцовой и направления их книзу расходятся.
-----------------------------------
Да, провел все вышеперечисленные манипуляции, теперь вижу, убедили
ключевое доказательство: "линия перелома б. берцовой позади проекции контура м. берцовой"
Зри в корень!
Уважаемый Петрович! Насторожила последняя фраза "Мы ведь рентгенологи, а не военные". Позволю себе спросить, чем Вам военные-то не угодили. Считаете их (нас, меня) людьми, не умеющих мыслить, а работать только в рамках приказов? Если так, то это Ваше глубокое заблуждение. Во-первых, любой приказ - это не догма, а руководство к действию (хоть военный приказ, хоть указ Президента). Во-вторых, Вы, насколько я понял работаете в Питере. Моими учителями были Кишковский, Дозорцев, Есиновская, Апряткина, Пчелин, Ищенко, Давыденко, Тюрин и.тд. Великолепная Питерская школа военной рентгенологии. Любое имя-величина в отечественной рентгенологии. С увжением В. Ермолаев.
По представленному случаю. Имеется изолированный перелом заднего края большеберцовой кости без смещения костных отломков. Кстати, редко встречаются изолированные. Чаще в сочетании с переломами лодыжек, вывихом таранной кости.
dok
<< Уважаемый Петрович! Насторожила последняя фраза "Мы ведь рентгенологи, а не военные". Позволю себе спросить, чем Вам военные-то не угодили. Считаете их (нас, меня) людьми, не умеющих мыслить, а работать только в рамках приказов? >>
Уважаемый dok Ермолаев! Боже упаси, ничего личного. Во-первых это короткое предложение самостоятельной ценности не имея, лишь поясняло предыдущее: «В трудных случаях, а они могут быть в любую минуту, включаем fuzzy logic.». Во-вторых я не имел в виду военных рентгенологов (которых теперь уже нет), тем более выдающихся военных рентгенологов. А имел в виду военных в самом общеупотребительном смысле, как людей подконтрольных, существующих в рамках уставов и инструкций, составленных для них добрыми начальниками. Согласитесь, что включать fuzzy logic, чтобы уйти от однозначности ответа на вопрос, военнослужащим без специального разрешения не полагается. И Вы наверное, не будете утверждать, что взаимоотношения начальников и подчинённых в обычной строевой части столь же либеральны как в ВМА.
Неоднозначно всё
Уважаемый Петрович! Почти соглашусь. Взаимоотношения начальников и подчиненных абсолютно одинаковы и в армии и на гражданке. Это заявляю со всей уверенностью. Тем более есть возможность сравнивать. Все зависит от человека, а человеческий фактор имеется во всем нашем обществе. В армию приходят люди не из пеленок. До 17-18 лет живут в обществе. Отличие армии - в более жесткой дисциплине и соблюдении принципа "единоначалия". Единоначалие-это когда происходит обсуждение будующих приказов с привлечением военнослужащих всех уровней, служб. Начальник обязан выслушать мнение всех. После этого командиром принимается решение, оформляемое приказом. Далее неукоснительное и в срок его выполнение. Все очень просто.
dok
Я понял: об армии или хорошо или ничего. Её состояние даже у меня вызывает озабоченность. Да я и не думал писать об армии. Но уж подлежащее «военный» в мирном аспекте позвольте.
Неоднозначно всё