Травма бедра.

Пол пациента: 
Тип патологии: 
Область исследования: 
Методы исследования: 

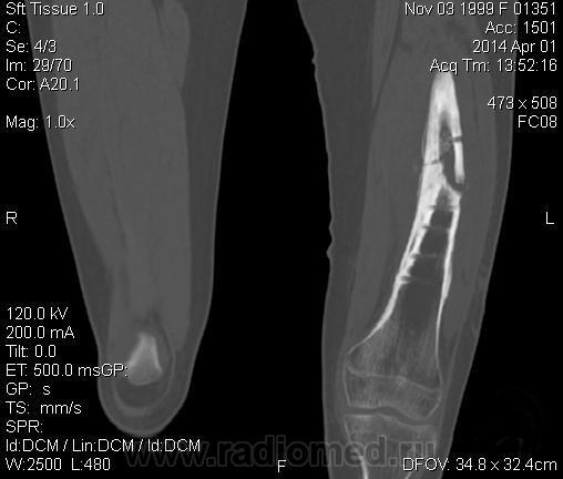
Молодая дама (14 лет) с переломом срдней трети диафиза левого бедра в анамнезе (декабрь 2012 г). Ломала ногу несколько раз в этом месте. Сейчас состояние после МОС. Как следует понимать изменения в кости, формируется ли ложный сустав?

 

  

  • https://radiomed.ru/sites/default/files/styles/case_slider_image/public/user/18921/13.jpg?itok=7tNv9P-K
  • https://radiomed.ru/sites/default/files/styles/case_slider_image/public/user/18921/1.jpg?itok=tf8QXmhm
  • https://radiomed.ru/sites/default/files/styles/case_slider_image/public/user/18921/3.jpg?itok=pCxPXXyG
  • https://radiomed.ru/sites/default/files/styles/case_slider_image/public/user/18921/4.jpg?itok=DEAs7-9O
  • https://radiomed.ru/sites/default/files/styles/case_slider_image/public/user/18921/5.jpg?itok=sdk2sUHY
  • https://radiomed.ru/sites/default/files/styles/case_slider_image/public/user/18921/6.jpg?itok=kgWYrzkv
  • https://radiomed.ru/sites/default/files/styles/case_slider_image/public/user/18921/7.jpg?itok=u_QjSlJv
  • https://radiomed.ru/sites/default/files/styles/case_slider_image/public/user/18921/8.jpg?itok=uq4uTITw
  • https://radiomed.ru/sites/default/files/styles/case_slider_image/public/user/18921/9.jpg?itok=QuhNvqRi
  • https://radiomed.ru/sites/default/files/styles/case_slider_image/public/user/18921/10.jpg?itok=xiy2WO9B
  • https://radiomed.ru/sites/default/files/styles/case_slider_image/public/user/18921/11.jpg?itok=mAHb1p1U
ID:36608
PV аватар
PV
Не на сайте
Был на сайте: 4 года 2 недели назад
Зарегистрирован: 23.09.2013 - 20:15
Публикации: 101

материал исследования http://files.mail.ru/1CDFD04C54FC40C5A2C43628F436DDD1

И.Бондаренко аватар
Не на сайте
Был на сайте: 4 дня 12 часов назад
Зарегистрирован: 13.09.2011 - 22:55
Публикации: 9206

Похоже ложный сустав сформировался. Но при нём обычно большие напластования костной мозоли, здесь их нет. В таких случаях смотрю при скопии подвижность.

Марина Сергеевна аватар
Не на сайте
Был на сайте: 6 месяцев 2 недели назад
Зарегистрирован: 26.04.2011 - 11:56
Публикации: 996

"Ломала ногу несколько раз в этом месте."

Были ли это рефрактуры (была ли досигнута консолидация ранее?)? Вам предыдущие снимки не показывали? У нее должен быть с таким анамнезом богатый архив...

Ох, не хочется думать о ложном суставе в 14 лет... По срокам под ложный сустав подходит, он характеризуется замыканием костномозгового канала с формированием подобий суставных поверхностей. У нее же есть хиленькая периостальная костная мозоль по задней поверхности бедра удерживающая отломки в правильном положении. Я склонна думать, что это скорее застарелый перелом (оно же замедленная консолидация). Здесь очень важно посмотреть предыдущие снимки (поиск рефрактуры, либо отсутствия полной консолидации).

Последнее слово все равно за ортопедами, здесь важнее функция, чем ломание копий ложный-не ложный. И я согласна с И.Бондаренко, хорошо бы чтобы оценили ортопеды подвижность под контролем рентгена.

"There is no teacher, who can teach us anything new. He just can help us to remember the things we always knew" (c) Enigma.

Дмитрий Волегов аватар
Не на сайте
Был на сайте: 3 года 6 месяцев назад
Зарегистрирован: 22.05.2013 - 00:32
Публикации: 1148

При выраженной костной мозоли между отломками ложный сустав формироваться не может в принципе.

С Уважением, Дмитрий.

Любовь С. аватар
Не на сайте
Был на сайте: 9 лет 5 месяцев назад
Зарегистрирован: 23.12.2010 - 01:58
Публикации: 2324

Настоящего, родного ложного сустава пока нет, хотя костномозговой канал дистального отломка уже закрыт - образовалась склерозированная замыкательная пластина. Варусная деформация почти в 165 градусов... Я бы заключилась неполной консолидацией и варусной деформацией, прогностически формирование ложного сустава очень вероятно.

"Предоставляя весь смысл и совершенство в распоряжение одного только Бога, вы избавляете себя от бездны хлопот." Джон Уитборн.

PV аватар
PV
Не на сайте
Был на сайте: 4 года 2 недели назад
Зарегистрирован: 23.09.2013 - 20:15
Публикации: 101

Спасибо большое Всем!