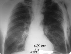
перелом ребер слева, обширная подкожная и межмышечная эмфизема. логически должен быть пневмоторакс(клинически дыхание прослеживается во всех отделах) видится мне пневмомедиастинум. Как Вам уважаемые коллеги?
Если переломы рёбер не вызвали пневмоторакс, значит подкожная эмфизема грудной клетки появилась в результате пневмомедиастинума. А такое количество воздуха мимо лёгких может быть при разрыве трахеи или главных бронхов. Нужно делать бронхоскопию, Александр Викторович.
Если переломы рёбер не вызвали пневмоторакс, значит подкожная эмфизема грудной клетки появилась в результате пневмомедиастинума. А такое количество воздуха мимо лёгких может быть при разрыве трахеи или главных бронхов. Нужно делать бронхоскопию, Александр Викторович.
А вариант малого пневмоторакса, который не виден за эмфиземой мягких тканей? По снимку максимальная эмфизема в области травмы, так что повреждение трахеи и крупных бронхов не особо вероятно, ИМХО. Но итог радует в любом случае - выписка .
"Предоставляя весь смысл и совершенство в распоряжение одного только Бога, вы избавляете себя от бездны хлопот." Джон Уитборн.
Таких пунктирчиков ещё с десяток можно провести! При желании. А чтобы желание осуществлялось легче, уменьшить подлинное изображение пятикратно! Но куда же деть Законы природы. Спавшееся лёгкое всегда плотнее воздуха над ним и латерально от него. У Вас же прямо наоборот получается!
Признаться, мне казалось, что это нижняя граница межмышечной эмфиземы в аксилярной области. По-моему сосуды первого сегмента переходят эту границу. Да бог с ним, с пневмотораксом. Меня больше волнует откуда взялся пневмомедиастинум.
Признаться, мне казалось, что это нижняя граница межмышечной эмфиземы в аксилярной области. По-моему сосуды первого сегмента переходят эту границу. Да бог с ним, с пневмотораксом. Меня больше волнует откуда взялся пневмомедиастинум.
ИТАК. Полагаю наличие пневмоторакса Недоказанным и нечего о нём «трандеть».
Пневмомедиастинум, может быть и заслуживает обсуждения. Если волнует.
1) смешение средостения в противоположную сторону 2) отсутствие легочного рисунка 3) наличие контура спавшегося легкого И последнее, самое мощное доказательство: Александр Викторович: "пневмоторакс всеже был, больной поправляется"
Татьяна Валентиновна, помилосердствуйте! Это просто уже "спор остроконечников с тупоконечниками". Здесь налицо эмфизема мягких тканей, которая на паршивенькой репродукции рентгенограммы даёт много разных линий и простор для фантазирования. Но для признания пневмоторакса фактом недостаточно провести пунктир. Спавшееся лёгкое всегда плотнее свободного воздуха над ним и латерально от него и тот пунктир должен быть границей зон разной плотности. Медиально от него плотность должна быть выше. На вашей денатурированной картинке этого нет.
Так посмотрите на оригинале (он правда тоже не фонтан). Я тем не менее вижу край легкого так. Разница плотностей минимальна, т.к. легкое не спалось, а лишь чуть поджато и количество воздуха небольшое. Вот пневмомедиастинума не вижу. Нарисуете?
И еще: травмы полого органа клинически и по данным бронхоскопии нет, пневмоторакса по-Вашему на стороне сломаных ребер нет. А эмфизема мягких тканей грудной стенки откуда? газовая гангрена?
1) смешение средостения в противоположную сторону — Нема. 2) отсутствие легочного рисунка — Его нет во многих местах. По техническим причинам. 3) наличие контура спавшегося легкого — Контуров много. Нет только спавшегося лёгкого. И последнее, самое мощное доказательство: Александр Викторович: "пневмоторакс всеже был, больной поправляется" — Не может быть доказательством частное мнение. Даже Александра Викторовича. Рентгенологу, Студент, пристало анализировать изображения, а не мнения. Мнения анализируют PR-службы. Но Александр Викторович мог бы прояснить ситуацию пересняв доброкачественно ту же рентгенограмму. Или также прислав мне для углубленной обработки исходные файлы фото той рентгенограммы. Но именно исходные, которых не коснулась «рука художника»
А через что Вы, Andrew, провели 2 вертикальные линии?
1) смешение средостения в противоположную сторону — Нема. 2) отсутствие легочного рисунка — Его нет во многих местах. По техническим причинам. 3) наличие контура спавшегося легкого — Контуров много. Нет только спавшегося лёгкого. И последнее, самое мощное доказательство: Александр Викторович: "пневмоторакс всеже был, больной поправляется" — Не может быть доказательством частное мнение. Даже Александра Викторовича. Рентгенологу, Студент, пристало анализировать изображения, а не мнения. Мнения анализируют PR-службы. Но Александр Викторович мог бы прояснить ситуацию пересняв доброкачественно ту же рентгенограмму. Или также прислав мне для углубленной обработки исходные файлы фото той рентгенограммы. Но именно исходные, которых не коснулась «рука художника»
А через что Вы, Andrew, провели 2 вертикальные линии?
Для тех кто не понял: И последнее, самое мощное доказательство: Александр Викторович: "пневмоторакс всеже был, больной поправляется"
Это шутка! Там в конце смайлик поставил!
А вертикальные линии провел через стернальные концы ключиц, потому что грудины не видно. А так по линиям хорошо ориентироваться. И видно, что органы средостения смещены вправо.
Не пойму, о чем спор? Перелом рёбер ⇒ повреждение легочной паренхимы отломком ребра ⇒ пневмоторакс и эмфизема мягких тканей в области травмы с распространением воздуха краниально при вертикальном положении пациента. Тут вопросов нет?)) За подкожной эмфиземой не проблема увидеть край висцеральной плевры. Гораздо сложнее разглядеть его при межмышечной эмфиземе, как в данном случае. А уж оценка легочного рисунка на фоне воздуха в мышцах - вообще высший пилотаж!
Пневмомедиастинум возникает по ряду причин, не только при разрыве бронхов и трахеи. Оставив в стороне ятрогению, остановлюсь на травматическом механизме. Чаще по рентгенограммам проходят незамеченными переломы грудины (передняя медиастинальная плевра) без видимого смещения и головок/шеек ребер без видимого смещения (задняя). Откройте анатомический атлас и посмотрите границы медиастинальной плевры: до 12 ребра сзади и до 6 ребра спереди. Места для проникновения воздуха в средостение при открытом повреждении вдоль границ передней и задней медиастинальной плевры - ой, как много. Кто-то будет спорить, что в приведенном случае открытая травма? Повреждение проникающее, и допустив, что имеется повреждение грудины или 1 и более головок ребер, нетрудно представить и повреждение медиастинальной плевры, и проникновение воздуха в средостение.
Смещение средостения - вещь хорошая))... только небольшой пневмоторакс не даст явного смещения, да и плевральные сращения помешать могут, так что смещение средостения при малом пневмотораксе - не критерий.
Есть механизм пневмоторакса и пневмомедиастинума и без переломов ребер - при баротравме происходит разрыв терминальных (субплевральных) альвеол. "Хорошее" сотрясение грудной клетки с переломом ребер или без оного вполне может сопровождаться таким разрывом терминальных альвеол, в результате чего воздух из альвеол попадает в плевральную полость и/или перибронхиально попадает в средостение по градиенту давления (давление в средостении ниже, чем воздуха в альфеолах).
То, что кто-то видит край плевры, кто-то не видит, - чисто субъективно. На мой взгляд, факт эмфиземы мягких тканей, переломов, пневмомедиастинума в случае Саши - неоспорим. А пневмоторакс... так стоит же дренаж, так что - последующий Rg-контроль и визуализация отделяемого по дренажу, вот и всех дел.
А пневмоторакс был, его не могло не быть)))))
Приложения:
"Предоставляя весь смысл и совершенство в распоряжение одного только Бога, вы избавляете себя от бездны хлопот." Джон Уитборн.
Так посмотрите на оригинале (он правда тоже не фонтан)…
Да я бы с радостью взглянул на оригинал…, если бы был Хотабычем. Увы, я только Петрович. Автор предоставил нам плохую фотокопию и неограниченную возможность спорить-бодаться на тему: «видно-невидно», а сам и думать забыл о теме. Это, конечно, находится по другую сторону от профессионализма.
Да я бы с радостью взглянул на оригинал…, если бы был Хотабычем. Увы, я только Петрович. Автор предоставил нам плохую фотокопию и неограниченную возможность спорить-бодаться на тему: «видно-невидно», а сам и думать забыл о теме. Это, конечно, находится по другую сторону от профессионализма...
Да я бы с радостью взглянул на оригинал…, если бы был Хотабычем. Увы, я только Петрович. Автор предоставил нам плохую фотокопию и неограниченную возможность спорить-бодаться на тему: «видно-невидно», а сам и думать забыл о теме. Это, конечно, находится по другую сторону от профессионализма.
- Хоттабыч бы и смотреть не стал, он бы интуитивно понял, кто прав!
3 ребра, эмфизема мягких тканей, пневмомедиастинум. А что у нас по дренажам?))
"Предоставляя весь смысл и совершенство в распоряжение одного только Бога, вы избавляете себя от бездны хлопот." Джон Уитборн.
Всё-таки, мне кажется есть спадание одной доли. Полоса вдоль сердечной тени слева.
и справа,только ближе к средостению-медиастинальная плевра-пневмомедиастинум
Временно отсутствую на сайте...
Спадение - это ателектаз, что с пневматораксом не имеет ничего общ. При пневматораксе не может спасться одна из долей.
Если переломы рёбер не вызвали пневмоторакс, значит подкожная эмфизема грудной клетки появилась в результате пневмомедиастинума. А такое количество воздуха мимо лёгких может быть при разрыве трахеи или главных бронхов. Нужно делать бронхоскопию, Александр Викторович.
бронхоскопия проведена до 5 порядка-N, плевральная полость все же задренирована. пневматоракс всеже был, больной поправляется
А вариант малого пневмоторакса, который не виден за эмфиземой мягких тканей? По снимку максимальная эмфизема в области травмы, так что повреждение трахеи и крупных бронхов не особо вероятно, ИМХО. Но итог радует в любом случае - выписка
.
"Предоставляя весь смысл и совершенство в распоряжение одного только Бога, вы избавляете себя от бездны хлопот." Джон Уитборн.
Спасибо, Люба. С пневмотораксом всё понятно. Осталось обЪяснить причину пневмомедиастинума.
А был ли мальчик?
Неоднозначно всё
Думаю, все таки, был, если Вы о пневмомедиастинуме, равно как и пневмоторакс - слева в верхнем отделе.
Болезни ног: виды, симптомы, причины, профилактика и лечение
Режьте меня, ешьте меня, но пневмоторакса я на этих картинках НЕ вижу.
Неоднозначно всё
Есть пневмоторакс. Поначалу тоже не видел:)
Medicus curat, natura sanat
Вот и я о том же....
Болезни ног: виды, симптомы, причины, профилактика и лечение
Да Вы что, Студент!!!!
Таких пунктирчиков ещё с десяток можно провести! При желании. А чтобы желание осуществлялось легче, уменьшить подлинное изображение пятикратно! Но куда же деть Законы природы. Спавшееся лёгкое всегда плотнее воздуха над ним и латерально от него. У Вас же прямо наоборот получается!
Кто-нибудь ещё согласен со студентом?
Неоднозначно всё
Признаться, мне казалось, что это нижняя граница межмышечной эмфиземы в аксилярной области. По-моему сосуды первого сегмента переходят эту границу. Да бог с ним, с пневмотораксом. Меня больше волнует откуда взялся пневмомедиастинум.
Пневмомедиастинум, может быть и заслуживает обсуждения. Если волнует.
Неоднозначно всё
1) смешение средостения в противоположную сторону
2) отсутствие легочного рисунка
3) наличие контура спавшегося легкого
И последнее, самое мощное доказательство:
Александр Викторович: "пневмоторакс всеже был, больной поправляется"
Medicus curat, natura sanat
Я согласна. Прав Студент. Я край легкого вижу по-другому, но в нижних отделах он точно есть, дальше теряется на фоне эмфиземы Как смогла нарисовала.
"самоуверенность дилетантов - предмет зависти профессионалов"
Татьяна Валентиновна, помилосердствуйте! Это просто уже "спор остроконечников с тупоконечниками". Здесь налицо эмфизема мягких тканей, которая на паршивенькой репродукции рентгенограммы даёт много разных линий и простор для фантазирования. Но для признания пневмоторакса фактом недостаточно провести пунктир. Спавшееся лёгкое всегда плотнее свободного воздуха над ним и латерально от него и тот пунктир должен быть границей зон разной плотности. Медиально от него плотность должна быть выше. На вашей денатурированной картинке этого нет.
Неоднозначно всё
Так посмотрите на оригинале (он правда тоже не фонтан). Я тем не менее вижу край легкого так. Разница плотностей минимальна, т.к. легкое не спалось, а лишь чуть поджато и количество воздуха небольшое. Вот пневмомедиастинума не вижу. Нарисуете?
И еще: травмы полого органа клинически и по данным бронхоскопии нет, пневмоторакса по-Вашему на стороне сломаных ребер нет. А эмфизема мягких тканей грудной стенки откуда? газовая гангрена?
"самоуверенность дилетантов - предмет зависти профессионалов"
1) смешение средостения в противоположную сторону — Нема.
2) отсутствие легочного рисунка — Его нет во многих местах. По техническим причинам.
3) наличие контура спавшегося легкого — Контуров много. Нет только спавшегося лёгкого.
И последнее, самое мощное доказательство:
Александр Викторович: "пневмоторакс всеже был, больной поправляется" — Не может быть доказательством частное мнение. Даже Александра Викторовича. Рентгенологу, Студент, пристало анализировать изображения, а не мнения. Мнения анализируют PR-службы. Но Александр Викторович мог бы прояснить ситуацию пересняв доброкачественно ту же рентгенограмму. Или также прислав мне для углубленной обработки исходные файлы фото той рентгенограммы. Но именно исходные, которых не коснулась «рука художника»
А через что Вы, Andrew, провели 2 вертикальные линии?
Неоднозначно всё
Вот пример пневмоторакса, где спавшееся легкое и воздух практически одинаковой плотности.
Medicus curat, natura sanat
Для тех кто не понял:
И последнее, самое мощное доказательство:
Александр Викторович: "пневмоторакс всеже был, больной поправляется"
Это шутка! Там в конце смайлик поставил!
А вертикальные линии провел через стернальные концы ключиц, потому что грудины не видно. А так по линиям хорошо ориентироваться. И видно, что органы средостения смещены вправо.
Medicus curat, natura sanat
Не пойму, о чем спор? Перелом рёбер ⇒ повреждение легочной паренхимы отломком ребра ⇒ пневмоторакс и эмфизема мягких тканей в области травмы с распространением воздуха краниально при вертикальном положении пациента. Тут вопросов нет?)) За подкожной эмфиземой не проблема увидеть край висцеральной плевры. Гораздо сложнее разглядеть его при межмышечной эмфиземе, как в данном случае. А уж оценка легочного рисунка на фоне воздуха в мышцах - вообще высший пилотаж!
Пневмомедиастинум возникает по ряду причин, не только при разрыве бронхов и трахеи. Оставив в стороне ятрогению, остановлюсь на травматическом механизме. Чаще по рентгенограммам проходят незамеченными переломы грудины (передняя медиастинальная плевра) без видимого смещения и головок/шеек ребер без видимого смещения (задняя). Откройте анатомический атлас и посмотрите границы медиастинальной плевры: до 12 ребра сзади и до 6 ребра спереди. Места для проникновения воздуха в средостение при открытом повреждении вдоль границ передней и задней медиастинальной плевры - ой, как много. Кто-то будет спорить, что в приведенном случае открытая травма? Повреждение проникающее, и допустив, что имеется повреждение грудины или 1 и более головок ребер, нетрудно представить и повреждение медиастинальной плевры, и проникновение воздуха в средостение.
Смещение средостения - вещь хорошая))... только небольшой пневмоторакс не даст явного смещения, да и плевральные сращения помешать могут, так что смещение средостения при малом пневмотораксе - не критерий.
Есть механизм пневмоторакса и пневмомедиастинума и без переломов ребер - при баротравме происходит разрыв терминальных (субплевральных) альвеол. "Хорошее" сотрясение грудной клетки с переломом ребер или без оного вполне может сопровождаться таким разрывом терминальных альвеол, в результате чего воздух из альвеол попадает в плевральную полость и/или перибронхиально попадает в средостение по градиенту давления (давление в средостении ниже, чем воздуха в альфеолах).
То, что кто-то видит край плевры, кто-то не видит, - чисто субъективно. На мой взгляд, факт эмфиземы мягких тканей, переломов, пневмомедиастинума в случае Саши - неоспорим. А пневмоторакс... так стоит же дренаж, так что - последующий Rg-контроль и визуализация отделяемого по дренажу, вот и всех дел.
А пневмоторакс был, его не могло не быть)))))
"Предоставляя весь смысл и совершенство в распоряжение одного только Бога, вы избавляете себя от бездны хлопот." Джон Уитборн.
Вот и я о том же, Любовь. Только Вы не поленились и все подробно пояснили. Спасибо.
"самоуверенность дилетантов - предмет зависти профессионалов"
Эндрю, никогда так не оценивайте смещение средостенья, игнорируя правильность укладки и деформацию грудной клетки
"самоуверенность дилетантов - предмет зависти профессионалов"
Да я бы с радостью взглянул на оригинал…, если бы был Хотабычем. Увы, я только Петрович. Автор предоставил нам плохую фотокопию и неограниченную возможность спорить-бодаться на тему: «видно-невидно», а сам и думать забыл о теме. Это, конечно, находится по другую сторону от профессионализма.
* * * * * * * * * * * * *
* * * * * * * * * * * * *
Неоднозначно всё
Теперь, после исправления модераторами, мой комментарий выглядит нелепо. Возможно, менее нелепо, чем был изначально))))))))
Поэтому я его стираю.
"Предоставляя весь смысл и совершенство в распоряжение одного только Бога, вы избавляете себя от бездны хлопот." Джон Уитборн.
Учту. Запомню.
Неоднозначно всё
Отличное выступление, Люба. Всё по полочкам, все по веточкам.
* * * * * * * * * * * * * * * * * * *
* * * * * * * * * * * * * * * *
http://www.radiomed.ru/opinions/otdalennyi-period-chmt-posle-dtp#comment-74339
Неоднозначно всё
Корректность в общении обязательна и должна соблюдаться.
(Я тоже за пневмоторакс слева!)
--------------
"Просто, по видимости, не видеть логики в очевидных вещах - это тоже одно из свойств некоторых умов, наряду с грустными думами о свойствах ума других." © Vega 08/10/2011
- Хоттабыч бы и смотреть не стал, он бы интуитивно понял, кто прав!
--------------
"Просто, по видимости, не видеть логики в очевидных вещах - это тоже одно из свойств некоторых умов, наряду с грустными думами о свойствах ума других." © Vega 08/10/2011
+1
А потому я убрала после коррекции корректности свой комментарий.
"Предоставляя весь смысл и совершенство в распоряжение одного только Бога, вы избавляете себя от бездны хлопот." Джон Уитборн.
Торжество модерации... ***** **** ***** *******
.... (несколько непечатных слов в адрес ревнителей благочестия).
Не дали всласть пообщаться с любимой кошкой!
Но я успел скопировать страничку
себе на память до наезда утюжиного.
Неоднозначно всё