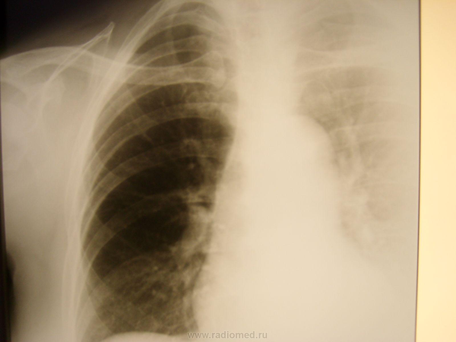
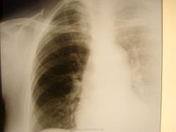
Пол пациента: Женский пол Тип патологии: Травма Область исследования: Грудная клетка и верхние дыхательные пути Методы исследования: Rg Женщина поступила в приёмное отделение после "конфликта" с сожителем https://radiomed.ru/sites/default/files/styles/case_slider_image/public/user/712/sl273142.jpg?itok=k9kzdr31 ID:22279 Втр, 28/09/2010 - 06:16 #1 mila Не на сайте Был на сайте: 5 лет 2 месяцев назад Зарегистрирован: 26.02.2010 - 02:56 Публикации: 277 Не понятно что делали? Если обзорный, почему левое легочное поле срезано? Почему на боковом снимке рука? Втр, 28/09/2010 - 20:39 #2 Глазков Игорь А... Не на сайте Был на сайте: 9 месяцев 1 неделя назад Зарегистрирован: 19.12.2008 - 20:41 Публикации: 1597 проводили для исключения перелома рёбер и пневмогемоторакса Прийди к Себе Ср, 29/09/2010 - 02:47 #3 mila Не на сайте Был на сайте: 5 лет 2 месяцев назад Зарегистрирован: 26.02.2010 - 02:56 Публикации: 277 Певмоторакса нет, руку наверное поднять не может, может перелом плечевого отростка лопатки? Чт, 30/09/2010 - 17:34 #4 Helios Не на сайте Был на сайте: 7 месяцев 2 недели назад Зарегистрирован: 06.08.2010 - 15:16 Публикации: 4417 Ключично-акромиальный сустав еще посмотрите.Каков механизм травмы?Было бы понятнее, что еще можно визуализировать. Сб, 14/07/2012 - 14:10 #5 Махамбетчин Мур... Не на сайте Был на сайте: 3 недели 6 дней назад Зарегистрирован: 14.07.2012 - 10:44 Публикации: 1205 Если это снимок лежа, то больше похоже на гемоторакс слева с незначительным смещением средостения вправо.
Не понятно что делали? Если обзорный, почему левое легочное поле срезано? Почему на боковом снимке рука?
проводили для исключения перелома рёбер и пневмогемоторакса
Прийди к Себе
Певмоторакса нет, руку наверное поднять не может, может перелом плечевого отростка лопатки?
Ключично-акромиальный сустав еще посмотрите.Каков механизм травмы?Было бы понятнее, что еще можно визуализировать.
Если это снимок лежа, то больше похоже на гемоторакс слева с незначительным смещением средостения вправо.