Не совсем представляю механизм травмы, при котором в таком возрасте ломается такой маленький кусочек медиального мыщелка и никуда не смещается. Не совсем понятна скиалогия места фиксации прксимальноьй порции наружной коллатеральной связки. Тут неплохо кроме факта травмы иметь и клинику, и локальный статус.
Возможен краевой перелом МЕДИАЛЬНО. Но, скорее просто артроз, травма без перелома, с повреждениями структур, рентгенологически не определяемых(капсула, связки).
Возможен краевой перелом МЕДИАЛЬНО. Но, скорее просто артроз, травма без перелома, с повреждениями структур, рентгенологически не определяемых(капсула, связки).
Возможен краевой перелом МЕДИАЛЬНО. Но, скорее просто артроз, травма без перелома, с повреждениями структур, рентгенологически не определяемых(капсула, связки).
Возможен краевой перелом МЕДИАЛЬНО. Но, скорее просто артроз, травма без перелома, с повреждениями структур, рентгенологически не определяемых(капсула, связки).
В направлении было написано: травма коленного сустава. При разговоре с пациенткой выяснилось, что травмы не было. Я извиняюсь перед коллегами, за неточную информацию.
Возможно экзостоз симулирует, но суставная щель расширена, значит выпот приличный должен быть. Вообще пациенты часто травму отвергают, на самом деле просто не помнят...
Терпимость - это когда прощают чужие ошибки; такт - когда не замечают их. (Артур Шницлер)
Травму, которая привела к внутрисуставному оскольчатому перелому со смещением фрагмента наружного надмыщелка, нельзя не запомнить. Да и внутреннего без смещения не забудешь...
Но, если вы посмотрите боковую проекцию, то ромбовидное пространиство не затенено.Может такое быть при выпоте? Мне кажется, что не может, но это имхо конечно.
Интресует мнение коллег по этому случаю.
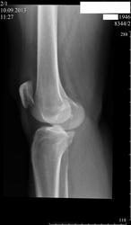
Краевой перелом внутреннего мщелка большеберцовой кости, признаки гемартроза
Терпимость - это когда прощают чужие ошибки; такт - когда не замечают их. (Артур Шницлер)
С перломом согласен, а вот с гемартрозом не очень. Для него надо сделать УЗИ.
А дегенеративные изменения ?
С уважением. Ильич.
Не совсем представляю механизм травмы, при котором в таком возрасте ломается такой маленький кусочек медиального мыщелка и никуда не смещается. Не совсем понятна скиалогия места фиксации прксимальноьй порции наружной коллатеральной связки. Тут неплохо кроме факта травмы иметь и клинику, и локальный статус.
С уважением,
Ну, а как можно оценить структуру наружного мыщелка бедренной кости?
Терпимость - это когда прощают чужие ошибки; такт - когда не замечают их. (Артур Шницлер)
Не нравиться, то что вижу излированный костный фрагмент округлой формы-перелом? Если не перелом, то что это?
Терпимость - это когда прощают чужие ошибки; такт - когда не замечают их. (Артур Шницлер)
Я думаю сесамовидная косточка
----------------------------------------------------------------------------------------------------------------------------------------------
Пожалуй вы правы, по крайней мере совпадает локлизация тени сесемовидной кости в боковой проекции и этой дополнительной тени в прямой проекции.
Возможен краевой перелом МЕДИАЛЬНО. Но, скорее просто артроз, травма без перелома, с повреждениями структур, рентгенологически не определяемых(капсула, связки).
Возможен краевой перелом МЕДИАЛЬНО. Но, скорее просто артроз, травма без перелома, с повреждениями структур, рентгенологически не определяемых(капсула, связки).
------------------------------------------------------------------------------------------------------------------------------------------------------------------
Какова должна быть дальнейшая тактика ведения пациентки?
Тактика как при травме связок. Ну фиксация и покой, ну противовоспалительное лечение. Контроль, если хотите, через 10дн. и т. д.
Терпимость - это когда прощают чужие ошибки; такт - когда не замечают их. (Артур Шницлер)
В направлении было написано: травма коленного сустава. При разговоре с пациенткой выяснилось, что травмы не было. Я извиняюсь перед коллегами, за неточную информацию.
Оскольчатый внутрисуставной перелом латерального мыщелка. Насчет краевого не согласна, на боковой видно, что сломано прилично.
Так медиального или латерального, мыщелка или надмыщелка? По мне так нормальная коленка, все на месте
С уважением,
Травмы не было. По клинике типичные проявления артроза.
Возможно экзостоз симулирует, но суставная щель расширена, значит выпот приличный должен быть. Вообще пациенты часто травму отвергают, на самом деле просто не помнят...
Терпимость - это когда прощают чужие ошибки; такт - когда не замечают их. (Артур Шницлер)
Травму, которая привела к внутрисуставному оскольчатому перелому со смещением фрагмента наружного надмыщелка, нельзя не запомнить. Да и внутреннего без смещения не забудешь...
С уважением,
Одной из причин артроза является травма. Здесь имеются всякие изменения, характерные для посттравматического артроза, переломы костей не обязательны.
суставная щель расширена, значит выпот приличный должен быть.
--------------------------------------------------------------------------------------------------------------------------------------------------------
Но, если вы посмотрите боковую проекцию, то ромбовидное пространиство не затенено.Может такое быть при выпоте? Мне кажется, что не может, но это имхо конечно.