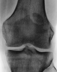
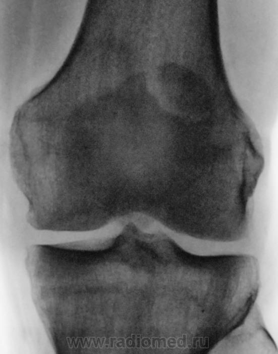
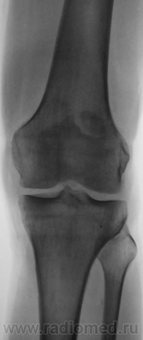
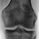
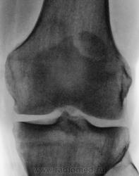
Травма. Направлен на рентгенографию коленного сустава

Пол пациента: 
Тип патологии: 
Область исследования: 
Методы исследования: 

Травма. Направлен на рентгенографию коленного сустава

  • https://radiomed.ru/sites/default/files/styles/case_slider_image/public/user/12/2.201403180088.jpg?itok=pm0R2zbe
  • https://radiomed.ru/sites/default/files/styles/case_slider_image/public/user/12/3.201403180090.jpg?itok=LpZbkMQs
  • https://radiomed.ru/sites/default/files/styles/case_slider_image/public/user/12/4.201403180092.jpg?itok=cdHhas9M
  • https://radiomed.ru/sites/default/files/styles/case_slider_image/public/user/12/1.dscn2750a.jpg?itok=rX-9y3fn
  • https://radiomed.ru/sites/default/files/styles/case_slider_image/public/user/12/2.dscn2751a.jpg?itok=9GA_jabo
ID:36232
atexta аватар
Не на сайте
Был на сайте: 2 года 10 месяцев назад
Зарегистрирован: 08.02.2014 - 18:41
Публикации: 4842

Несросшийся апофиз надколенника, деструкции не вижу

Не нам судить…

maker4ik аватар
Не на сайте
Был на сайте: 8 лет 7 месяцев назад
Зарегистрирован: 19.10.2011 - 17:49
Публикации: 2682

Без костных травматических изменений.

И.Бондаренко аватар
Не на сайте
Был на сайте: 22 часа 46 минут назад
Зарегистрирован: 13.09.2011 - 22:55
Публикации: 9206

Такое развитие надколенника. Хотя может быть и травматический разрыв фиброзных сращений.

Катенёв Валентин Львович аватар
Не на сайте
Был на сайте: 7 лет 4 недели назад
Зарегистрирован: 22.03.2008 - 22:15
Публикации: 54876

maker4ik wrote:

Без костных травматических изменений.

Норму писать?

atexta аватар
Не на сайте
Был на сайте: 2 года 10 месяцев назад
Зарегистрирован: 08.02.2014 - 18:41
Публикации: 4842

Катенёв Валентин Львович wrote:

maker4ik wrote:

Без костных травматических изменений.

Норму писать?

Подумала и решила исправить запись -исход остеохондропатии надколенника

Не нам судить…

Катенёв Валентин Львович аватар
Не на сайте
Был на сайте: 7 лет 4 недели назад
Зарегистрирован: 22.03.2008 - 22:15
Публикации: 54876

А, может быть просто пателла бипарцита?

atexta аватар
Не на сайте
Был на сайте: 2 года 10 месяцев назад
Зарегистрирован: 08.02.2014 - 18:41
Публикации: 4842

Катенёв Валентин Львович wrote:

А, может быть просто пателла бипарцита?

Можно уточнение ? Край основной массы надколенника неровный, углы заострены и щель выглядит неравномерной -это обычная картина при удвоении надколенника ?

Не нам судить…

NIL аватар
NIL
Не на сайте
Был на сайте: 2 дня 3 часа назад
Зарегистрирован: 25.11.2013 - 20:50
Публикации: 18207

atexta wrote:

Катенёв Валентин Львович wrote:

А, может быть просто пателла бипарцита?

Можно уточнение ? Край основной массы надколенника неровный, углы заострены и щель выглядит неравномерной -это обычная картина при удвоении надколенника ?

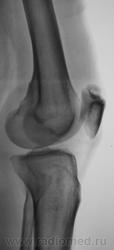
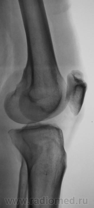
И мне это не понравилось. И по боковой - впечатление о смещении фрагмента. 


"Слушай всех, прислушивайся к немногим, решай сам".©

Андрей Викторович аватар
Не на сайте
Был на сайте: 2 года 6 месяцев назад
Зарегистрирован: 13.02.2014 - 14:52
Публикации: 242

Мужчина 39 лет, жалоб нет. Обратил внимание на разницу с другим коленным суставом (выпирает). Второй сустав на снимке без изменений. Травм утверждает, что не было.

 

Да, все же мы определились, что в таких случаях писать-то??? :)

...но КТ мы все-равно сделаем...

Приложения: 
rf6362.jpgrf6363.jpgrf6364.jpg

...... еще бы в рентгенологии что-нибудь понимать.

atexta аватар
Не на сайте
Был на сайте: 2 года 10 месяцев назад
Зарегистрирован: 08.02.2014 - 18:41
Публикации: 4842

Получается просто удвоение наколенника ....не попадалось

Не нам судить…