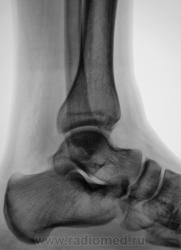
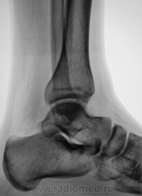
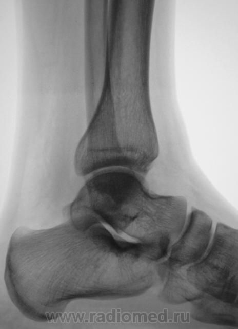
Травма. Пациент направлен на рентгенографию голеностопного сустава.

Пол пациента: 
Тип патологии: 
Область исследования: 
Методы исследования: 

Травма.  Пациент направлен на рентгенографию голеностопного сустава.

  • https://radiomed.ru/sites/default/files/styles/case_slider_image/public/user/12/2.ARIH_.JPG?itok=bHnZuC4e
  • https://radiomed.ru/sites/default/files/styles/case_slider_image/public/user/12/3.ARIH_.jpg?itok=hPNYcjk7
ID:506
serg9kr аватар
Не на сайте
Был на сайте: 4 месяцев 2 недели назад
Зарегистрирован: 04.05.2008 - 07:51
Публикации: 36

перелом обеих лодыжек и переднего отдела пяточной кости

Приложения: 
1.ARIH_.jpg3.ARIH_.jpg
lupan аватар
Не на сайте
Был на сайте: 6 лет 10 месяцев назад
Зарегистрирован: 07.01.2010 - 17:17
Публикации: 1406

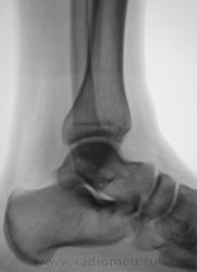
Согласен кроме пяточной кости. Там - N.

Великое преймущество врача заключается в том, что он не обязан следовать собственным советам. ( А. Кристи)

Катенёв Валентин Львович аватар
Не на сайте
Был на сайте: 7 лет 2 недели назад
Зарегистрирован: 22.03.2008 - 22:15
Публикации: 54876

Уважаемый lupan!

Если, в пяточной кости "норма", то, что тогда, помеченное стрелками?

 

Приложения: 
1.NORMA_..JPG
lupan аватар
Не на сайте
Был на сайте: 6 лет 10 месяцев назад
Зарегистрирован: 07.01.2010 - 17:17
Публикации: 1406

Не помню, как это называется, но явного перелома не вижу. Да и раньше никогда не видел. Кстати, у нас сегодня был "день травматолога". Попробую выложить снимки, не знаю что получится.

Великое преймущество врача заключается в том, что он не обязан следовать собственным советам. ( А. Кристи)

Катенёв Валентин Львович аватар
Не на сайте
Был на сайте: 7 лет 2 недели назад
Зарегистрирован: 22.03.2008 - 22:15
Публикации: 54876

Если возникают проблемы с выкладкой снимков - пишите.