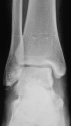
Травма. Пациент направлен на рентгенографию голеностопного сустава

Пол пациента: 
Тип патологии: 
Методы исследования: 

Травма.  Пациент направлен на рентгенографию голеностопного сустава

  • https://radiomed.ru/sites/default/files/styles/case_slider_image/public/user/12/2.dscn1092a.jpg?itok=oCDcC0Sx
  • https://radiomed.ru/sites/default/files/styles/case_slider_image/public/user/12/3.dscn1092ab.jpg?itok=4hf_iHTG
  • https://radiomed.ru/sites/default/files/styles/case_slider_image/public/user/12/4.dscn1093.jpg?itok=M_4RjyLv
ID:26496
И.Бондаренко аватар
Не на сайте
Был на сайте: 1 час 39 минут назад
Зарегистрирован: 13.09.2011 - 22:55
Публикации: 9206

Фрагментарный перелом наружной лодыжки, и ,кажеться, есть отрыв заднего бугорка таранной кости.

алкс аватар
Не на сайте
Был на сайте: 10 лет 4 недели назад
Зарегистрирован: 24.10.2012 - 22:55
Публикации: 2915

Травматических изменений не выявлятся, признаки перипроцесса.

Наталия Васильевна аватар
Не на сайте
Был на сайте: 5 лет 9 месяцев назад
Зарегистрирован: 25.09.2011 - 09:02
Публикации: 754

Классный перелом-филигранная работа, только верхушечка!

Катенёв Валентин Львович аватар
Не на сайте
Был на сайте: 7 лет 4 недели назад
Зарегистрирован: 22.03.2008 - 22:15
Публикации: 54876

алкс wrote:

Травматических изменений не выявлятся, признаки перипроцесса.

Какого перипроцесса?

Брысковский Дмитрий аватар
Не на сайте
Был на сайте: 9 месяцев 3 недели назад
Зарегистрирован: 08.11.2011 - 11:00
Публикации: 187

Отрывной перелом нижнего полюса наружной лодыжки. 3 недели в U-лонгете. Затем, даже если не срастается, то уже не болит, можно ходить далее. Перипроцесса не вижу, да и не знаю оного)

None are more hopelessly enslaved than those who falsely believe they are free