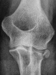
Травма. Пациент направлен на рентгенографию локтевого сустава.

Пол пациента: 
Тип патологии: 
Область исследования: 
Методы исследования: 

Травма. Пациент направлен на рентгенографию локтевого сустава.

  • https://radiomed.ru/sites/default/files/styles/case_slider_image/public/user/12/2.p2150040_0.jpg?itok=xmKlDlJc
  • https://radiomed.ru/sites/default/files/styles/case_slider_image/public/user/12/3.p2150040a_0.jpg?itok=kpB88KO5
  • https://radiomed.ru/sites/default/files/styles/case_slider_image/public/user/12/4.p2150042_0.jpg?itok=Il4wdO4R
  • https://radiomed.ru/sites/default/files/styles/case_slider_image/public/user/12/5.p2150041_0.jpg?itok=QPWRJReu
  • https://radiomed.ru/sites/default/files/styles/case_slider_image/public/user/12/6.p2150041a_0.jpg?itok=nTLfmIqq
ID:12055
Алла С. аватар
Не на сайте
Был на сайте: 9 лет 9 месяцев назад
Зарегистрирован: 15.02.2011 - 19:34
Публикации: 7

Краевой  перелом  головки  луча.

Катенёв Валентин Львович аватар
Не на сайте
Был на сайте: 7 лет 3 недели назад
Зарегистрирован: 22.03.2008 - 22:15
Публикации: 54876

Интересно, а как правильнее написать - перелом или откол фрагмента костной ткани?

ЛГ аватар
Не на сайте
Был на сайте: 8 лет 11 месяцев назад
Зарегистрирован: 06.01.2010 - 12:31
Публикации: 3523

Перелом оскольчатый, есть поперечная линия перелома головки луча на боковом снимке, + осколок наружного края. И очень похоже на выпот (гемартроз).

Светлана Cергеевна аватар
Не на сайте
Был на сайте: 14 лет 3 месяцев назад
Зарегистрирован: 17.02.2011 - 09:31
Публикации: 5

Я бы написала - краевой внутрисуставной перелом головки лучевой кости с угловым смещением

cc

Евгений1313 аватар
Не на сайте
Был на сайте: 13 лет 1 неделя назад
Зарегистрирован: 15.10.2010 - 19:13
Публикации: 808

Правильно писать-краевой отлом наружного угла головки лучевой кости.