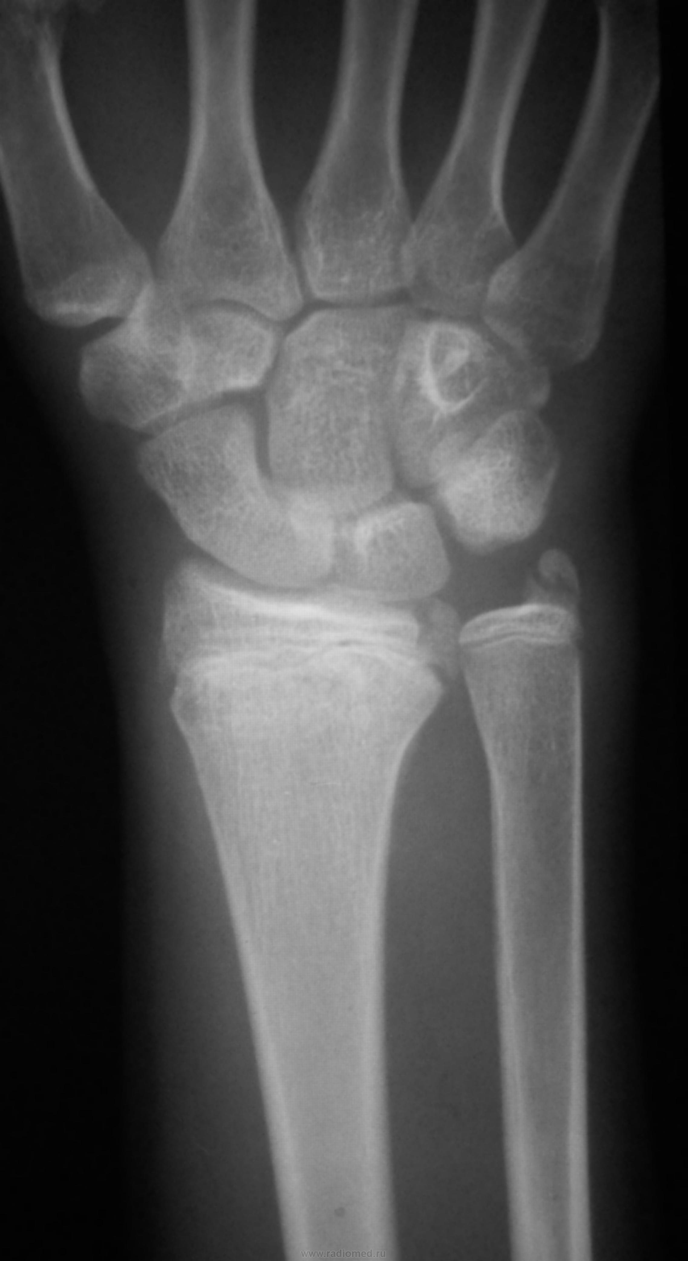
Пол пациента: Мужской пол Тип патологии: Травма Область исследования: Скелетно-мышечная система Методы исследования: Rg Травма. Пациент направлен на рентгенографию лучезапястного сустава https://radiomed.ru/sites/default/files/styles/case_slider_image/public/user/12/12.dscn0269a.jpg?itok=pIYF7TlR https://radiomed.ru/sites/default/files/styles/case_slider_image/public/user/12/13.dscn0271.jpg?itok=9lvrSEqR ID:23560 Вс, 07/10/2012 - 18:37 #1 И.Бондаренко Не на сайте Был на сайте: 1 день 22 часа назад Зарегистрирован: 13.09.2011 - 22:55 Публикации: 9206 Оскольчатый перелом эпифиза лучевой кости с переходом на продольный перелом метафиза. Отрыв шиловидного отростка локтевой кости. Вс, 07/10/2012 - 19:54 #2 Петрович Не на сайте Был на сайте: 7 лет 3 месяцев назад Зарегистрирован: 22.03.2009 - 01:13 Публикации: 3908 Поперечный перелом метафиза с тыльным угловым смещением. С эпифизами... не спорю. Неоднозначно всё
Оскольчатый перелом эпифиза лучевой кости с переходом на продольный перелом метафиза. Отрыв шиловидного отростка локтевой кости.
Поперечный перелом метафиза с тыльным угловым смещением. С эпифизами... не спорю.
Неоднозначно всё