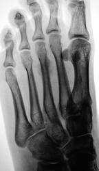
Травма. Пациент направлен на рентгенографию переднего отдела стопы.

Пол пациента: 
Тип патологии: 
Область исследования: 
Методы исследования: 

Травма.  Пациент направлен на рентгенографию переднего отдела стопы.

  • https://radiomed.ru/sites/default/files/styles/case_slider_image/public/user/12/2.dscn0117a.jpg?itok=bTMVE144
  • https://radiomed.ru/sites/default/files/styles/case_slider_image/public/user/12/3.dscn0117ab.jpg?itok=t2eT341b
  • https://radiomed.ru/sites/default/files/styles/case_slider_image/public/user/12/4.dscn0118.jpg?itok=NwBqGGrw
  • https://radiomed.ru/sites/default/files/styles/case_slider_image/public/user/12/5.dscn0118a.jpg?itok=sBN4ZZ5q
  • https://radiomed.ru/sites/default/files/styles/case_slider_image/public/user/12/6.dscn0118ab.jpg?itok=zfXalw-Y
ID:23336
И.Бондаренко аватар
Не на сайте
Был на сайте: 1 день 7 часов назад
Зарегистрирован: 13.09.2011 - 22:55
Публикации: 9206

Очень похоже на Дойчлендера.

Катенёв Валентин Львович аватар
Не на сайте
Был на сайте: 7 лет 4 недели назад
Зарегистрирован: 22.03.2008 - 22:15
Публикации: 54876

И.Бондаренко wrote:

Очень похоже на Дойчлендера.

Да, очень похоже.

Вот интересный литературный случай синовиальной саркомы.

Приложения: 
f18.medium.ss_..giff19.medium._ss.gif
Наталия Васильевна аватар
Не на сайте
Был на сайте: 5 лет 9 месяцев назад
Зарегистрирован: 25.09.2011 - 09:02
Публикации: 754

Слишком размытая картина для перегрузочной, а вот на нечто нехорошее очень похоже.

Катенёв Валентин Львович аватар
Не на сайте
Был на сайте: 7 лет 4 недели назад
Зарегистрирован: 22.03.2008 - 22:15
Публикации: 54876

А, может гематома?

Mila85 аватар
Не на сайте
Был на сайте: 3 года 1 месяц назад
Зарегистрирован: 15.03.2012 - 16:59
Публикации: 1790

Я тоже за стресс-перелом - типичная локализация, виден дефект в кортикальном слое, периостальная реакция

Наталия Васильевна аватар
Не на сайте
Был на сайте: 5 лет 9 месяцев назад
Зарегистрирован: 25.09.2011 - 09:02
Публикации: 754

Катенёв Валентин Львович wrote:

А, может гематома?

 Но не свежая, если есть элементы склерозирования. А боли сильные?

Катенёв Валентин Львович аватар
Не на сайте
Был на сайте: 7 лет 4 недели назад
Зарегистрирован: 22.03.2008 - 22:15
Публикации: 54876

Боли умеренные, ходит хромая.

Наталия Васильевна аватар
Не на сайте
Был на сайте: 5 лет 9 месяцев назад
Зарегистрирован: 25.09.2011 - 09:02
Публикации: 754

Конечно, я может быть умничаю, но для окончательного диагноза надо "резать" -либо КТ, либо обычные томограммы, МРТ (?). Кость-то представляется более-менее приличной, но мягкие ткани-то мы не видим.