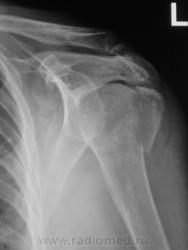
Пол пациента: Мужской пол Тип патологии: Травма Область исследования: Скелетно-мышечная система Методы исследования: Rg Травма. Пациент направлен на рентгенографию плечевого сустава. https://radiomed.ru/sites/default/files/styles/case_slider_image/public/user/12/2.p2070007.jpg?itok=vWEqKFRV ID:11857 Втр, 08/02/2011 - 21:33 #1 Глазков Игорь А... Не на сайте Был на сайте: 9 месяцев 2 недели назад Зарегистрирован: 19.12.2008 - 20:41 Публикации: 1597 головки плечевой кости в проекции хирургической шейки с отрывом большого бугра. Прийди к Себе
головки плечевой кости в проекции хирургической шейки с отрывом большого бугра.
Прийди к Себе