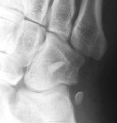
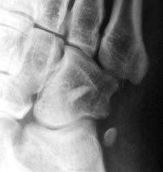
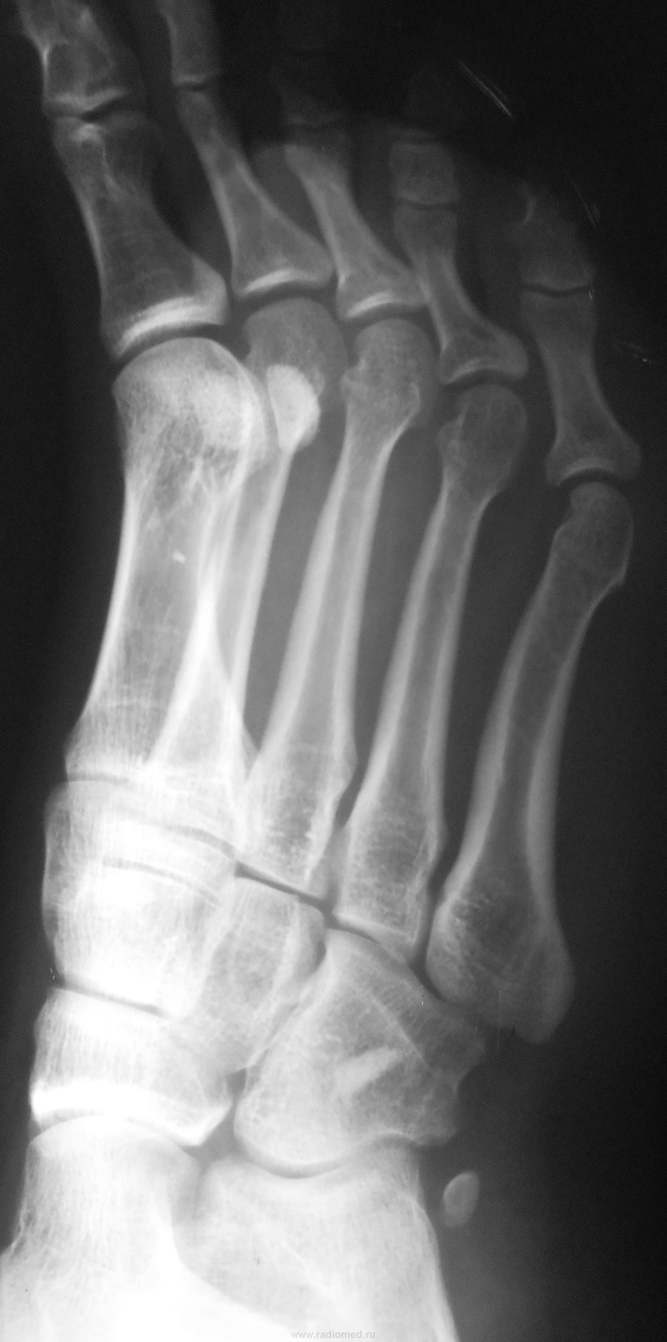
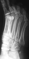
Пол пациента: Мужской пол Тип патологии: Травма Область исследования: Скелетно-мышечная система Методы исследования: Rg Травма. Пациент направлен на рентгенографию стопы. https://radiomed.ru/sites/default/files/styles/case_slider_image/public/user/12/2.dscn0128.jpg?itok=AhQao-28 https://radiomed.ru/sites/default/files/styles/case_slider_image/public/user/12/3.dscn0128a.jpg?itok=Nlxr5zQv https://radiomed.ru/sites/default/files/styles/case_slider_image/public/user/12/4.dscn0128ab.jpg?itok=wv8MneBo ID:23374 Втр, 25/09/2012 - 17:45 #1 Марина Сергеевна Не на сайте Был на сайте: 6 месяцев 3 недели назад Зарегистрирован: 26.04.2011 - 11:56 Публикации: 996 Какой четкий, склеротический контур... Это то, что в Королюке обозначено как внекомплектная os peroneum? Смущает склеротический очаг в кубовидной кости. "There is no teacher, who can teach us anything new. He just can help us to remember the things we always knew" (c) Enigma. Втр, 25/09/2012 - 18:51 #2 Наталия Васильевна Не на сайте Был на сайте: 5 лет 9 месяцев назад Зарегистрирован: 25.09.2011 - 09:02 Публикации: 754 Действительно, свехкомплектная кость, локальный склероз кубовидной.
Какой четкий, склеротический контур... Это то, что в Королюке обозначено как внекомплектная os peroneum?
Смущает склеротический очаг в кубовидной кости.
"There is no teacher, who can teach us anything new. He just can help us to remember the things we always knew" (c) Enigma.
Действительно, свехкомплектная кость, локальный склероз кубовидной.