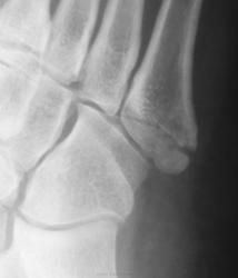
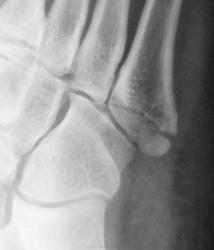
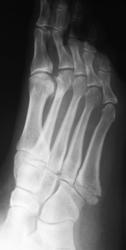
Травма. Пациент направлен на рентгенографию стопы.

Пол пациента: 
Тип патологии: 
Область исследования: 
Методы исследования: 

Травма.  Пациент направлен на рентгенографию стопы.

  • https://radiomed.ru/sites/default/files/styles/case_slider_image/public/user/12/2.dscn0203.jpg?itok=VJ1cRLpP
  • https://radiomed.ru/sites/default/files/styles/case_slider_image/public/user/12/3.dscn0203a.jpg?itok=a9PEP95b
  • https://radiomed.ru/sites/default/files/styles/case_slider_image/public/user/12/4.dscn0203a.jpg?itok=QR4OkRc_
ID:23461
И.Бондаренко аватар
Не на сайте
Был на сайте: 1 день 4 часа назад
Зарегистрирован: 13.09.2011 - 22:55
Публикации: 9206

Скорее всего танцевал с медведем.

Наталия Васильевна аватар
Не на сайте
Был на сайте: 5 лет 9 месяцев назад
Зарегистрирован: 25.09.2011 - 09:02
Публикации: 754

Может и в одиночестве, но ногу подвернул здорово. А перелом-то классический.

FOX-ray аватар
Не на сайте
Был на сайте: 12 лет 3 месяцев назад
Зарегистрирован: 27.10.2010 - 21:05
Публикации: 84

А мне не понравилась головка 2 плюсневой кости - уплощена, без видимых признаков перелома. Похоже на последствие остеохондропатии Келера?

FOX-ray

maker4ik аватар
Не на сайте
Был на сайте: 8 лет 7 месяцев назад
Зарегистрирован: 19.10.2011 - 17:49
Публикации: 2682

FOX-ray wrote:

Похоже на последствие остеохондропатии Келера?

Абсолютно нет.

Катенёв Валентин Львович аватар
Не на сайте
Был на сайте: 7 лет 3 недели назад
Зарегистрирован: 22.03.2008 - 22:15
Публикации: 54876

И.Бондаренко wrote:

Скорее всего танцевал с медведем.

Нет не танцевала...

Бывшая наша коллега - врач-рентгенолог, довольно преклонного возраста.

Наталия Васильевна аватар
Не на сайте
Был на сайте: 5 лет 9 месяцев назад
Зарегистрирован: 25.09.2011 - 09:02
Публикации: 754

Ну, врачи-рентгенологи с "запущенной" лучевой болезнью еще КАК вытанцовывают!!!!!!!!!!!!!!!!!!!!!!! Хирурги нервно курят в сторонке! Это к нашему бывшему начальнику относиться-молодец 80 лет, со светлыми и добрыми мозгами, был приглашен на день медработника и пока хирурги и терапевты типа вспоминали боевое прошлое, схватил первую сестру и показал ТАКОЙ класс, что мы все обалдели, во как!