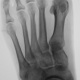
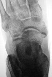
Травма. Пациент направлен на рентгенографию стопы

Пол пациента: 
Тип патологии: 
Область исследования: 
Методы исследования: 

Травма.  Пациент направлен на рентгенографию стопы

  • https://radiomed.ru/sites/default/files/styles/case_slider_image/public/user/12/2.dscn0332.jpg?itok=lUkySNyj
  • https://radiomed.ru/sites/default/files/styles/case_slider_image/public/user/12/3.dscn0333.jpg?itok=fqcs5MeR
  • https://radiomed.ru/sites/default/files/styles/case_slider_image/public/user/12/4.dscn0333a.jpg?itok=hJBDB1PS
  • https://radiomed.ru/sites/default/files/styles/case_slider_image/public/user/12/5.dscn0334.jpg?itok=Lq28rKyB
  • https://radiomed.ru/sites/default/files/styles/case_slider_image/public/user/12/6.dscn0334a.jpg?itok=TpBa4F7K
ID:23674
Mitkampfer аватар
Не на сайте
Был на сайте: 11 лет 1 месяц назад
Зарегистрирован: 27.07.2010 - 07:43
Публикации: 1454

а анамнез есть какой?

P.S. похоже на костный островок

Не ограничивайте свою мысль

Живешь пока учишься

Ecrasez l’infame

maker4ik аватар
Не на сайте
Был на сайте: 8 лет 7 месяцев назад
Зарегистрирован: 19.10.2011 - 17:49
Публикации: 2682

Не заметила ничего травматического...

И.Бондаренко аватар
Не на сайте
Был на сайте: 1 день 6 часов назад
Зарегистрирован: 13.09.2011 - 22:55
Публикации: 9206

Участок склероза или остеопойкилия.

Любовь С. аватар
Не на сайте
Был на сайте: 9 лет 5 месяцев назад
Зарегистрирован: 23.12.2010 - 01:58
Публикации: 2324

Изображения размером больше 2000 смотреть очень напряжно.

Как вариант:

Приложения: 
ttt.jpg

"Предоставляя весь смысл и совершенство в распоряжение одного только Бога, вы избавляете себя от бездны хлопот." Джон Уитборн.