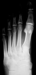
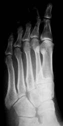
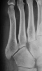
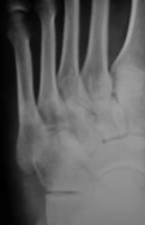
Травма. Пациент направлен на рентгенографию стопы 2.

Пол пациента: 
Тип патологии: 
Область исследования: 
Методы исследования: 

Травма.  Пациент направлен на рентгенографию стопы.

  • https://radiomed.ru/sites/default/files/styles/case_slider_image/public/user/12/12.dscn0092a.jpg?itok=C2fuqCZx
  • https://radiomed.ru/sites/default/files/styles/case_slider_image/public/user/12/13.dscn0092g.jpg?itok=3zQwMVqa
  • https://radiomed.ru/sites/default/files/styles/case_slider_image/public/user/12/14.dscn0093.jpg?itok=qd4tbm6Q
  • https://radiomed.ru/sites/default/files/styles/case_slider_image/public/user/12/15.dscn0094a.jpg?itok=bS5lKekQ
ID:23379
Наталия Васильевна аватар
Не на сайте
Был на сайте: 5 лет 9 месяцев назад
Зарегистрирован: 25.09.2011 - 09:02
Публикации: 754

Перелом основания 5 плюсневой без смещения?

Катенёв Валентин Львович аватар
Не на сайте
Был на сайте: 7 лет 3 недели назад
Зарегистрирован: 22.03.2008 - 22:15
Публикации: 54876

Похоже.