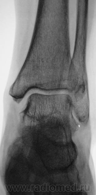
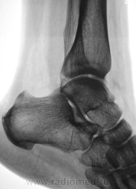
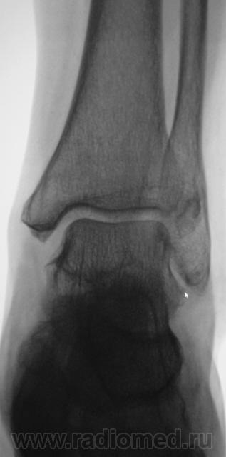
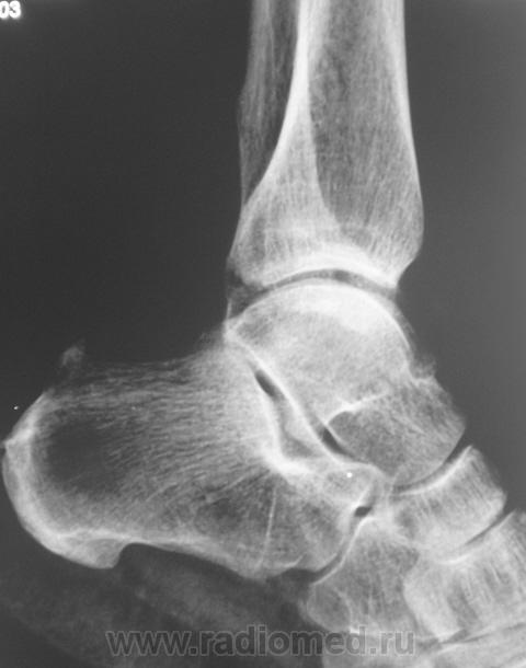
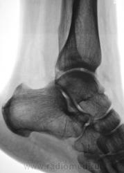
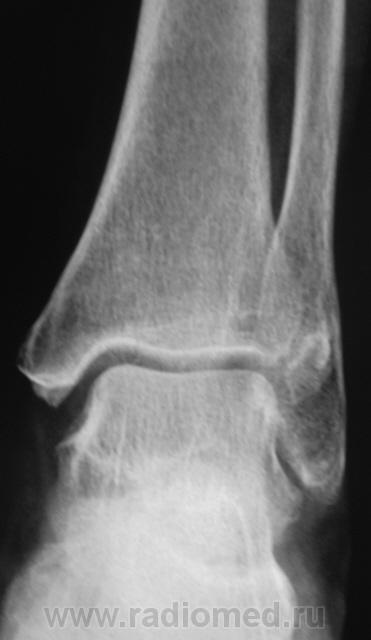
Травма. Пациент направлен врачом хирургом на рентгенографию голеностопного сустава. Ваше мнение коллеги?

Пол пациента: 
Тип патологии: 
Область исследования: 
Методы исследования: 

Травма. Пациент направлен врачом хирургом на рентгенографию голеностопного сустава.  Ваше мнение коллеги?

 

  • https://radiomed.ru/sites/default/files/styles/case_slider_image/public/user/12/102.G.S..jpg?itok=wjSFvwPq
  • https://radiomed.ru/sites/default/files/styles/case_slider_image/public/user/12/103.G.S..JPG?itok=Sf9V36iD
  • https://radiomed.ru/sites/default/files/styles/case_slider_image/public/user/12/104.G.S..jpg?itok=cQyXxkRz
  • https://radiomed.ru/sites/default/files/styles/case_slider_image/public/user/12/105.G.S..JPG?itok=QqXx_p5v
  • https://radiomed.ru/sites/default/files/styles/case_slider_image/public/user/12/106.G.S..JPG?itok=La36YOCn
ID:914
Игорь Иванович аватар
Не на сайте
Был на сайте: 3 года 9 месяцев назад
Зарегистрирован: 23.01.2010 - 14:56
Публикации: 3695

К сожалению спешу на работу. На бегу: не поломана ли н/3 диафиза м/б кости? А в метафизе какая-то полость с склерозир. контуром. Рентгеностеология - это та еще дама...Но я усвоил, что склерозировано ( и чем больше), то не опасно.

lupan аватар
Не на сайте
Был на сайте: 6 лет 10 месяцев назад
Зарегистрирован: 07.01.2010 - 17:17
Публикации: 1406

1. Не ясно, что здесь ( черная стрелка).

2. Я бы сделал пяточную кость во второй проекции.

 106_G_S_.jpg

Приложения: 
106_G_S_.jpg

Великое преймущество врача заключается в том, что он не обязан следовать собственным советам. ( А. Кристи)

Глазков Игорь Артурович аватар
Не на сайте
Был на сайте: 9 месяцев 1 неделя назад
Зарегистрирован: 19.12.2008 - 20:41
Публикации: 1597

на консолидированный перелом Фолькмановского клина б\берцовой кости.

Прийди к Себе

Катенёв Валентин Львович аватар
Не на сайте
Был на сайте: 7 лет 1 неделя назад
Зарегистрирован: 22.03.2008 - 22:15
Публикации: 54876

А, может быть, с учетом деформации малоберцовой кости, на боковой рентгенограмме, можно предположить, что, "это", откол фрагмента костной ткани от дистального эпифиза б/берцовой кости.

 

 

Приложения: 
1.fragment..JPG2.Fragment.JPG3.Fragment.JPG
Игорь Иванович аватар
Не на сайте
Был на сайте: 3 года 9 месяцев назад
Зарегистрирован: 23.01.2010 - 14:56
Публикации: 3695

Если говорить о травме ( нужно учесть механизм), то можно предположить вдавленный перелом с огранич., но интенс. действием травмирующей силы с компрессией ( уплотнением) костной ткани.

Приложения: 
2.Fragment.JPG