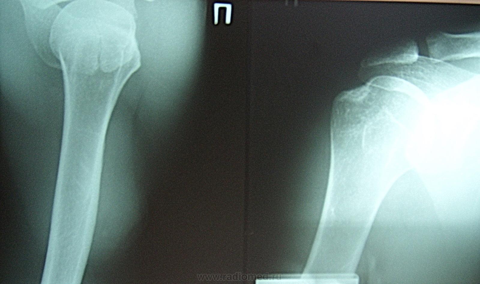
Пол пациента: Мужской пол Тип патологии: Травма Область исследования: Скелетно-мышечная система Методы исследования: Rg Мужчина упал на правую руку. Беспокоят боли, невозможно поднять руку в сторону. Прошу прощение за качество. ID:9887 Втр, 07/12/2010 - 17:14 #1 Александр Викторович Не на сайте Был на сайте: 8 лет 4 часа назад Зарегистрирован: 31.07.2010 - 13:05 Публикации: 639 Игорь Артурович, перелома не видно, вероятно травма мягкотканная. Втр, 07/12/2010 - 19:28 #2 Глазков Игорь А... Не на сайте Был на сайте: 9 месяцев 1 неделя назад Зарегистрирован: 19.12.2008 - 20:41 Публикации: 1597 акромион не повреждён? Прийди к Себе Втр, 07/12/2010 - 20:25 #3 Александр Викторович Не на сайте Был на сайте: 8 лет 4 часа назад Зарегистрирован: 31.07.2010 - 13:05 Публикации: 639 я думаю это вариант развития. о таком строении акромиона пишет Королюк. Втр, 07/12/2010 - 20:33 #4 Глазков Игорь А... Не на сайте Был на сайте: 9 месяцев 1 неделя назад Зарегистрирован: 19.12.2008 - 20:41 Публикации: 1597 комментарий. Прийди к Себе
Игорь Артурович, перелома не видно, вероятно травма мягкотканная.
акромион не повреждён?
Прийди к Себе
я думаю это вариант развития. о таком строении акромиона пишет Королюк.
комментарий.
Прийди к Себе