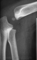
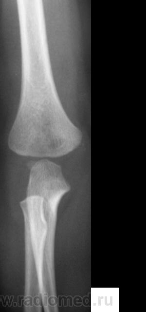
Травма. Ребенок направлен на рентгенографию костей предплечья и локтевого сустава.

Пол пациента: 
Тип патологии: 
Область исследования: 
Методы исследования: 

Травма.   Ребенок направлен на рентгенографию костей предплечья и локтевого сустава.

 

 

  • https://radiomed.ru/sites/default/files/styles/case_slider_image/public/user/12/102.Pred_..jpg?itok=VQ41G_y4
  • https://radiomed.ru/sites/default/files/styles/case_slider_image/public/user/12/103.Pred_..JPG?itok=5xteSVY0
  • https://radiomed.ru/sites/default/files/styles/case_slider_image/public/user/12/104.Pred_..jpg?itok=tNVRm94_
  • https://radiomed.ru/sites/default/files/styles/case_slider_image/public/user/12/105.Pred_..JPG?itok=e_1_KSfZ
  • https://radiomed.ru/sites/default/files/styles/case_slider_image/public/user/12/106.Pred_..jpg?itok=zJqes_V3
  • https://radiomed.ru/sites/default/files/styles/case_slider_image/public/user/12/107.Pred_..JPG?itok=cHkSS3F9
  • https://radiomed.ru/sites/default/files/styles/case_slider_image/public/user/12/108.Pred_..jpg?itok=o3PdSwA8
ID:1793
Иринка аватар
Не на сайте
Был на сайте: 11 лет 8 месяцев назад
Зарегистрирован: 16.11.2009 - 22:14
Публикации: 190

Поднадкостничный перелом в/3 лучевой кости.

Катенёв Валентин Львович аватар
Не на сайте
Был на сайте: 7 лет 3 месяцев назад
Зарегистрирован: 22.03.2008 - 22:15
Публикации: 54876

А, что со средней третью?

Иринка аватар
Не на сайте
Был на сайте: 11 лет 8 месяцев назад
Зарегистрирован: 16.11.2009 - 22:14
Публикации: 190

Я думаю,что в с/3 нет перелома,скорее всего полосы просветления-тени сосудистых каналов,может я и не права.

Ola-la аватар
Не на сайте
Был на сайте: 1 год 4 недели назад
Зарегистрирован: 06.12.2008 - 09:33
Публикации: 1786

Я думаю, норма. Смутила линия просветления в заднем отделе метафиза плечевой кости. Но жировые подушечки в норме. Думаю, нет костно-травматических изменений.

Катенёв Валентин Львович аватар
Не на сайте
Был на сайте: 7 лет 3 месяцев назад
Зарегистрирован: 22.03.2008 - 22:15
Публикации: 54876

Здравствуйте Ольга!

Т.е., на Ваш взгляд, полнейшая норма?

Dr_vova аватар
Не на сайте
Был на сайте: 11 лет 4 месяцев назад
Зарегистрирован: 06.05.2008 - 20:22
Публикации: 15

Я тоже не вижу патологии.

Катенёв Валентин Львович аватар
Не на сайте
Был на сайте: 7 лет 3 месяцев назад
Зарегистрирован: 22.03.2008 - 22:15
Публикации: 54876

Ola-la wrote:

Я думаю, норма. Смутила линия просветления в заднем отделе метафиза плечевой кости. Но жировые подушечки в норме. Думаю, нет костно-травматических изменений.

Ольга!

Возможно я ошибаюсь, но так называемые "жировые подушечки", смещенные проксимально свидетельствуют о гемартрозе, но отнюдь не являются признаком наличия или отсутствия перелома.

По всей видимости, "эти подушечки" также как-то среагируют при наличии другой жидкости (не крови), если, она имеется в "определенном" количестве. Если, я не прав, то поправьте меня, я буду только Вам благодарен.

Ola-la аватар
Не на сайте
Был на сайте: 1 год 4 недели назад
Зарегистрирован: 06.12.2008 - 09:33
Публикации: 1786

Смещение жировых подушечек (гемартроз) является косвенным признаком внутрисуставного перелома. Я, с некоторых пор, стала обращать на них прицельное внимание. При переломе они всегда смещены. А если я вижу их смещение, а явных признаков перелома не вижу, то пишу, что это является косвенным признаком перелома.

Катенёв Валентин Львович аватар
Не на сайте
Был на сайте: 7 лет 3 месяцев назад
Зарегистрирован: 22.03.2008 - 22:15
Публикации: 54876

Полностью согласен с Вами, что, так называемые "смещенные" жировые подушечки, или просто жировые подушечки - это косвенный признак перелома, вернее признак гемартроза. Но, вот интересно всегда-ли они "смещаются" проксимальнее даже при гемартрозе?

Катенёв Валентин Львович аватар
Не на сайте
Был на сайте: 7 лет 3 месяцев назад
Зарегистрирован: 22.03.2008 - 22:15
Публикации: 54876

Да, и "западные" информационные источники указывают, что не всегда, мы будем констатировать "красивую" картинку "подушечек" - 1 иллюстрация, а только тогда, когда "жидкости" будет определенное количество - иллюстрация 2.

Приложения: 
1._istochniki.JPG2._istochnik..JPG
Катенёв Валентин Львович аватар
Не на сайте
Был на сайте: 7 лет 3 месяцев назад
Зарегистрирован: 22.03.2008 - 22:15
Публикации: 54876

Перелом есть, а "подушечка" весьма проблемна.

 

Приложения: 
3.illyustraciya.JPG
Катенёв Валентин Львович аватар
Не на сайте
Был на сайте: 7 лет 3 месяцев назад
Зарегистрирован: 22.03.2008 - 22:15
Публикации: 54876

А может быть "показательность" данного симптома зависит и от другого фактора - "упитанности" пациента? Ну, "дохлый" он, мало жировой ткани в организме?

 

Приложения: 
1.Upitannost.JPG2._Upitannost.JPG
Vega аватар
Не на сайте
Был на сайте: 2 месяцев 3 недели назад
Зарегистрирован: 22.01.2009 - 19:16
Публикации: 1087

Травматических изменений не вижу.