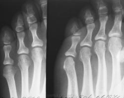
Пол пациента: Мужской пол Тип патологии: Травма Область исследования: Скелетно-мышечная система Методы исследования: Rg Молодой человек обратился в поликлиннику на болезненность и отёчность левой стопы. Был сделан снимок. https://radiomed.ru/sites/default/files/styles/case_slider_image/public/user/12/1.sl272868.jpg?itok=gmdc76MP ID:5609 Ср, 18/08/2010 - 21:59 #1 Глазков Игорь А... Не на сайте Был на сайте: 9 месяцев 1 неделя назад Зарегистрирован: 19.12.2008 - 20:41 Публикации: 1597 всвязи с подозрением на перелом ногтевой фаланги 5 пальца левой стопы. Прийди к Себе Ср, 18/08/2010 - 22:06 #2 Катенёв Валенти... Не на сайте Был на сайте: 7 лет 2 недели назад Зарегистрирован: 22.03.2008 - 22:15 Публикации: 54876 Продолжение. Приложения: Чт, 19/08/2010 - 09:56 #3 lupan Не на сайте Был на сайте: 6 лет 10 месяцев назад Зарегистрирован: 07.01.2010 - 17:17 Публикации: 1406 Данные за перелом сомнительные. Такая скиалогическая картина встречается часто, именно в V пальце стопы. Великое преймущество врача заключается в том, что он не обязан следовать собственным советам. ( А. Кристи) Чт, 19/08/2010 - 10:04 #4 Vikkur Не на сайте Был на сайте: 4 года 8 месяцев назад Зарегистрирован: 24.09.2009 - 14:34 Публикации: 1749 Если присутствует факт травмы и в связи с тем, что я не знаю о том, что такая картина частая, я бы поставил перелом.... для подстраховки выполнил бы снимок второй стопы. Виктор. Чт, 19/08/2010 - 16:05 #5 Makcimalist Не на сайте Был на сайте: 11 лет 8 месяцев назад Зарегистрирован: 08.05.2010 - 14:28 Публикации: 1994 Считаю, перелома нет! -------------- "Просто, по видимости, не видеть логики в очевидных вещах - это тоже одно из свойств некоторых умов, наряду с грустными думами о свойствах ума других." © Vega 08/10/2011
всвязи с подозрением на перелом ногтевой фаланги 5 пальца левой стопы.
Прийди к Себе
Продолжение.
Данные за перелом сомнительные. Такая скиалогическая картина встречается часто, именно в V пальце стопы.
Великое преймущество врача заключается в том, что он не обязан следовать собственным советам. ( А. Кристи)
Если присутствует факт травмы и в связи с тем, что я не знаю о том, что такая картина частая, я бы поставил перелом.... для подстраховки выполнил бы снимок второй стопы.
Виктор.
Считаю, перелома нет!
--------------
"Просто, по видимости, не видеть логики в очевидных вещах - это тоже одно из свойств некоторых умов, наряду с грустными думами о свойствах ума других." © Vega 08/10/2011