Травмы

Пол пациента: 
Тип патологии: 
Область исследования: 
Методы исследования: 

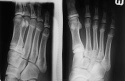
Случай №1 Мальчик 12 лет пришёл на снимок для исключения перелома основания 5 плюсны.

Случай №2 Молодая балерина пришла для исключения перелома 5 плюсны

  • https://radiomed.ru/sites/default/files/styles/case_slider_image/public/user/712/sl274640.jpg?itok=PpvrYIaY
  • https://radiomed.ru/sites/default/files/styles/case_slider_image/public/user/712/sl274641.jpg?itok=OTI5jIk-
ID:21081
Катюшка аватар
Не на сайте
Был на сайте: 11 лет 5 месяцев назад
Зарегистрирован: 23.12.2009 - 15:05
Публикации: 12

Хорошо сломали - и ясно видно, и без смещений. Случай 1 - перелом основания V плюсневой кости правой стопы; случай 2 - косой перелом головки V плюсневой кости левой стопы (ещё какие-то кистовидные просветления намечаются в головках плюсневых костей, а может это просто игра теней...)

Люблю свою работу :)))

surgeon23 аватар
Не на сайте
Был на сайте: 13 лет 6 месяцев назад
Зарегистрирован: 25.04.2012 - 17:09
Публикации: 69

И в первом, и во втором случае имеется перелом 5 плюсневой кости без смещения (в первом случае - бугристость, втором - дистальный конец). 

перемены - это единственное постоянство, которое нам дано