Требуется помощь

Пол пациента: 
Тип патологии: 
Методы исследования: 

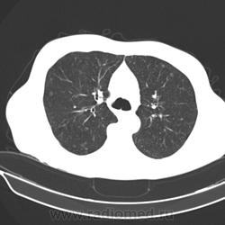
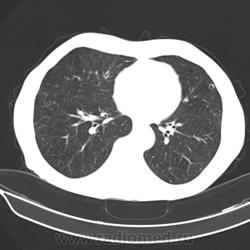
Здравствуйте! Пациент 1951 г. поступил в неврологическое отделение по поводу пареза нижней конечности, жалобы на боли в поясничном отделе позвоночника. Выполнили КТ пояснично-кресцового отдела: кт-картина остеобластических mts в телах позвонков L1-L3, крыле подвздошной кости слева. Клиницисты стали искать первичный очаг. Выполнили КТ органов грудной клетки. По всем легочным полям кольцевидные образования (очаги?) - аспергилёз? Прошу коллег помочь разобраться с заключением.

Dicom тут 

Заранее спасибо!

 

  • https://radiomed.ru/sites/default/files/styles/case_slider_image/public/user/17530/img-0001-00026_2.jpg?itok=30Thu1H4
  • https://radiomed.ru/sites/default/files/styles/case_slider_image/public/user/17530/img-0001-00029_1.jpg?itok=wsPY467o
  • https://radiomed.ru/sites/default/files/styles/case_slider_image/public/user/17530/img-0001-00032_0.jpg?itok=CaYjd6fN
  • https://radiomed.ru/sites/default/files/styles/case_slider_image/public/user/17530/img-0001-00035_1.jpg?itok=txoEZr7a
  • https://radiomed.ru/sites/default/files/styles/case_slider_image/public/user/17530/img-0001-00037_0.jpg?itok=529UZYlI
  • https://radiomed.ru/sites/default/files/styles/case_slider_image/public/user/17530/img-0001-00043_0.jpg?itok=JbDdy0Xf
ID:37774
Марина Сергеевна аватар
Не на сайте
Был на сайте: 11 месяцев 1 неделя назад
Зарегистрирован: 26.04.2011 - 11:56
Публикации: 996

кистозный паттерн, неравномерно утолщенные стенки, распределение преимущественно периферическое, больше в верхних отделах.

по первому впечатлению - лангергансоклеточный гистиоцитоз (правда возраст не подходит, он чаще у молодых бывает), может сочетаться с раком. Надо копать дальше.

книжка в помощь, стр 78-80 и еще в конце.

http://rghost.ru/55035268

"There is no teacher, who can teach us anything new. He just can help us to remember the things we always knew" (c) Enigma.

Сольвейг аватар
Не на сайте
Был на сайте: 3 года 10 месяцев назад
Зарегистрирован: 05.02.2013 - 20:25
Публикации: 2239

Согласна с Вами, Марина Сергеевна, что первое впечатление-гистиоцитоз. Хотелось бы посмотреть и позвонки с костями таза , чтобы уточнить все-таки: очаги литического или бластического типов? Это важно , т.к. они вполне могут тоже оказаться гистиоцитозными. Единственное "но"-это возраст. Но... ведь всякое бывает.Только гистология или иммунохимия позволит ответить на вопрос, что в легких.

agkd аватар
Не на сайте
Был на сайте: 3 года 7 месяцев назад
Зарегистрирован: 13.12.2012 - 20:54
Публикации: 10

Марина Сергеевна wrote:

кистозный паттерн, неравномерно утолщенные стенки, распределение преимущественно периферическое, больше в верхних отделах.

по первому впечатлению - лангергансоклеточный гистиоцитоз (правда возраст не подходит, он чаще у молодых бывает), может сочетаться с раком. Надо копать дальше.

книжка в помощь, стр 78-80 и еще в конце.

http://rghost.ru/55035268

Спасибо!

agkd аватар
Не на сайте
Был на сайте: 3 года 7 месяцев назад
Зарегистрирован: 13.12.2012 - 20:54
Публикации: 10

Dicom ПКО тут

В печени, вероятно, паренхиматозная киста.

Приложения: 
1.jpg2.jpg3.jpg4.jpg5.jpg6.jpg
Марина Сергеевна аватар
Не на сайте
Был на сайте: 11 месяцев 1 неделя назад
Зарегистрирован: 26.04.2011 - 11:56
Публикации: 996

может я ошибаюсь, но изменения в позвонках выглядят литико-бластическими (смешанными).

я нашла вот такой случай поражения гистиоцитозом позвоночника - http://www.spandidos-publications.com/etm/5/1/128

но там изменения были литическими.

печень и остальные ОБП ему на УЗИ смотрели? 

интересное кино...

"There is no teacher, who can teach us anything new. He just can help us to remember the things we always knew" (c) Enigma.

agkd аватар
Не на сайте
Был на сайте: 3 года 7 месяцев назад
Зарегистрирован: 13.12.2012 - 20:54
Публикации: 10

Марина Сергеевна wrote:

может я ошибаюсь, но изменения в позвонках выглядят литико-бластическими (смешанными).

я нашла вот такой случай поражения гистиоцитозом позвоночника - http://www.spandidos-publications.com/etm/5/1/128

но там изменения были литическими.

печень и остальные ОБП ему на УЗИ смотрели? 

интересное кино...

ОБП ни на УЗИ и КТ пока не смотрели. Но, в попавшую в зону сканирования ОБП в печени, вероятно, паренхиматозная киста, в остальном без особенностей..

Да.. кино очень интересное! Со слов пациента давно перенёс туберкулёз..

И.Бондаренко аватар
Не на сайте
Был на сайте: 1 неделя 5 дней назад
Зарегистрирован: 13.09.2011 - 22:55
Публикации: 9213

Поищите в мочевом пузыре или простате.

Андрей Юрьевич аватар
Не на сайте
Был на сайте: 1 неделя 10 часов назад
Зарегистрирован: 16.11.2008 - 22:16
Публикации: 18106

agkd wrote:
...Но, в попавшую в зону сканирования ОБП в печени, вероятно, паренхиматозная киста, ..

Не убежден.

Андрей Юрьевич

Сольвейг аватар
Не на сайте
Был на сайте: 3 года 10 месяцев назад
Зарегистрирован: 05.02.2013 - 20:25
Публикации: 2239

agkd wrote:

Марина Сергеевна wrote:

может я ошибаюсь, но изменения в позвонках выглядят литико-бластическими (смешанными).

я нашла вот такой случай поражения гистиоцитозом позвоночника - http://www.spandidos-publications.com/etm/5/1/128

но там изменения были литическими.

печень и остальные ОБП ему на УЗИ смотрели? 

интересное кино...

ОБП ни на УЗИ и КТ пока не смотрели. Но, в попавшую в зону сканирования ОБП в печени, вероятно, паренхиматозная киста, в остальном без особенностей..

Да.. кино очень интересное! Со слов пациента давно перенёс туберкулёз..

Мало того,-кино становится все интереснее. Очаги в костях неоднозначные, при гистиоцитозе( или эозин. гранулеме они всегда литические). Потом, в печени нет уверенности, что это киста,- при малых размерах гиподенсивного очага, особенно единичного, его можно спутать с кистой,потому что плотность близка к жидкостной. А на самом деле это может быть метастаз. Теперь вот хотелось бы узнать как давно снят диагноз туберкулеза и с каким исходом( в плотные очаги? Фиброз? Или вообще рассасывание?-это важно. Еще какая форма была-диссеминированный твс?

Марина Сергеевна аватар
Не на сайте
Был на сайте: 11 месяцев 1 неделя назад
Зарегистрирован: 26.04.2011 - 11:56
Публикации: 996

agkd wrote:

Марина Сергеевна wrote:

может я ошибаюсь, но изменения в позвонках выглядят литико-бластическими (смешанными).

я нашла вот такой случай поражения гистиоцитозом позвоночника - http://www.spandidos-publications.com/etm/5/1/128

но там изменения были литическими.

печень и остальные ОБП ему на УЗИ смотрели? 

интересное кино...

ОБП ни на УЗИ и КТ пока не смотрели. Но, в попавшую в зону сканирования ОБП в печени, вероятно, паренхиматозная киста, в остальном без особенностей..

Да.. кино очень интересное! Со слов пациента давно перенёс туберкулёз..

а вообще "был ли мальчик"? вам или лечащему врачу выписку не принесут?  в иделале снимки до и после лечения.

можно ведь было по флг эти кольцевидные тени черте-за -что принять...

"There is no teacher, who can teach us anything new. He just can help us to remember the things we always knew" (c) Enigma.

Марина Сергеевна аватар
Не на сайте
Был на сайте: 11 месяцев 1 неделя назад
Зарегистрирован: 26.04.2011 - 11:56
Публикации: 996

и вообще может быть несколько патологий в одном человеке: cr простаты/моч пузыря с бластическими мтс в позвонки и таз с наличиями в них участков распада и гистиоцитоз (который вероятно тянется с давних времен).

у меня пока связать изменения легких и такие мтс в позвонки с очагом в печени воедино не выходит. похоже разные тут патологии сидят.

надо человека хорошо на УЗИ посмотреть: трансректально простату и ОБП.

Может Андрей Юрьевич что-нибудь присоветует?

"There is no teacher, who can teach us anything new. He just can help us to remember the things we always knew" (c) Enigma.

Сольвейг аватар
Не на сайте
Был на сайте: 3 года 10 месяцев назад
Зарегистрирован: 05.02.2013 - 20:25
Публикации: 2239

Марина Сергеевна wrote:

и вообще может быть несколько патологий в одном человеке: cr простаты/моч пузыря с бластическими мтс в позвонки и таз с наличиями в них участков распада и гистиоцитоз (который вероятно тянется с давних времен).

у меня пока связать изменения легких и такие мтс в позвонки с очагом в печени воедино не выходит. похоже разные тут патологии сидят.

надо человека хорошо на УЗИ посмотреть: трансректально простату и ОБП.

Может Андрей Юрьевич что-нибудь присоветует?

Точно!

agkd аватар
Не на сайте
Был на сайте: 3 года 7 месяцев назад
Зарегистрирован: 13.12.2012 - 20:54
Публикации: 10

Я тоже не увеждён, что киста в печени.. Поэтому буду описывать со вставкой "ВЕРОЯТНО".. Нужно контрастировать.. Больной асоциальный.. Как давно болел tbc сам не помнит, тем более когда сняли с учёта. Естественно, R-архива при себе не имеет. Пациент находится в районной амбулатории, не у нас в стационаре, поэтому некоторые вещи известны именно со слов лечащего врача!

Андрей Юрьевич аватар
Не на сайте
Был на сайте: 1 неделя 10 часов назад
Зарегистрирован: 16.11.2008 - 22:16
Публикации: 18106

Нет, не присоветую. У меня нет отчетливого мнения по этому случаю.

Андрей Юрьевич

Марина Сергеевна аватар
Не на сайте
Был на сайте: 11 месяцев 1 неделя назад
Зарегистрирован: 26.04.2011 - 11:56
Публикации: 996

Андрей Юрьевич wrote:

Нет, не присоветую. У меня нет отчетливого мнения по этому случаю.

жалко.

а насчет  легких в пользу чего склоняетесь?

"There is no teacher, who can teach us anything new. He just can help us to remember the things we always knew" (c) Enigma.

Андрей Юрьевич аватар
Не на сайте
Был на сайте: 1 неделя 10 часов назад
Зарегистрирован: 16.11.2008 - 22:16
Публикации: 18106

Марина Сергеевна wrote:

Андрей Юрьевич wrote:

Нет, не присоветую. У меня нет отчетливого мнения по этому случаю.

жалко.

а насчет  легких в пользу чего склоняетесь?


Я про легкие и говорил, но больше склоняюсь к кистозным метастазам.

Small Cavitary Lung Lesions
1.Septic emboli
2.Rheumatoid nodules
3.Squamous or transitional cell mets
4.Wegener’s Granulomatosis
Вот несколько ссылок:
 
 

Андрей Юрьевич

Nobody аватар
Не на сайте
Был на сайте: 11 лет 5 месяцев назад
Зарегистрирован: 15.03.2014 - 20:29
Публикации: 2013

Андрей Юрьевич, не подскажете, как человек разбирающийся в вопросе, кистовидные метастазы типированы, то есть гистологически подтверждены, или в стадии наблюдения, пока ещё на учёте они?..

"Лишь утратив всё до конца, мы обретаем свободу." F.C.

Андрей Юрьевич аватар
Не на сайте
Был на сайте: 1 неделя 10 часов назад
Зарегистрирован: 16.11.2008 - 22:16
Публикации: 18106

Nobody wrote:

Андрей Юрьевич, не подскажете, как человек разбирающийся в вопросе, кистовидные метастазы типированы, то есть гистологически подтверждены, или в стадии наблюдения, пока ещё на учёте они?..


Ноубоди, вы о чем? Если можно, то же самое, но по-русски и в прозе.

Андрей Юрьевич

Nobody аватар
Не на сайте
Был на сайте: 11 лет 5 месяцев назад
Зарегистрирован: 15.03.2014 - 20:29
Публикации: 2013

Так ведь в прозе я вопрос и озвучил. Слова просто переставляю - но смысл ведь не теряется, при перемене мест подлежащего и сказуемого или снова неправда моя?..)) Метастазы кистозные гистологически были подтверждены в приведённых Вами ссылках или только в дифряду предположены по характерным своим признакам?..
 

"Лишь утратив всё до конца, мы обретаем свободу." F.C.

Андрей Юрьевич аватар
Не на сайте
Был на сайте: 1 неделя 10 часов назад
Зарегистрирован: 16.11.2008 - 22:16
Публикации: 18106

Nobody wrote:
...Метастазы кистозные гистологически были подтверждены в приведённых Вами ссылках или только в дифряду предположены по характерным своим признакам?..

Продолжаем разговор: "Вы приведенные мною ссылки читали? Да или Нет?"

Андрей Юрьевич

Nobody аватар
Не на сайте
Был на сайте: 11 лет 5 месяцев назад
Зарегистрирован: 15.03.2014 - 20:29
Публикации: 2013

А спрашивать о прочитанном Вас - это воспрещено? Нужно непременно самому прочесть, чтобы единое мЫшление было у двоих включено?))

Андрей Юрьевич, в одной статье, вроде, мелькают немелкоклеточные метастазы, то есть, как бы типировали клетки, гистология там была, в другой - признаками ограничивается дело, про толщину стенки полостей в ней говорят. Или в каждом источнике гистология была, а я доверился Гуглу, балда?)

"Лишь утратив всё до конца, мы обретаем свободу." F.C.

Андрей Юрьевич аватар
Не на сайте
Был на сайте: 1 неделя 10 часов назад
Зарегистрирован: 16.11.2008 - 22:16
Публикации: 18106

Отмолчусь, пожалуй.

Андрей Юрьевич

Nobody аватар
Не на сайте
Был на сайте: 11 лет 5 месяцев назад
Зарегистрирован: 15.03.2014 - 20:29
Публикации: 2013

Жаль. Надеялся, что поможете разобраться в этом непростом бутерброде. Коли такая тут тишина, значит, только Никто не знал, что дырки в лёгких метастатическими бывают. Получается, плохо учат и сейчас. Не вспоминаю, чтобы циркулярные тени, похожие на бронхоэктазы, с метастазами дифференцировали... до Вас... Или существенно важен анамнез?)

"Лишь утратив всё до конца, мы обретаем свободу." F.C.

Андрей Юрьевич аватар
Не на сайте
Был на сайте: 1 неделя 10 часов назад
Зарегистрирован: 16.11.2008 - 22:16
Публикации: 18106

Nobody wrote:
...Получается, плохо учат и сейчас.

Почему плохо. Учат рентгенологии, а это КТ.

Nobody wrote:
...Не вспоминаю, чтобы циркулярные тени, похожие на бронхоэктазы, с метастазами дифференцировали...

Нет, это не не только НЕ бронхоэктазы, это даже НЕ ПОХОЖЕ на бронхоэктазы.

Nobody wrote:
...до Вас...

Драси. См. выше.

Nobody wrote:
...Или существенно важен анамнез?)

Какой анамнез? Никакого анамнеза. С анамнезом, у данного пациента, как раз беда.

Андрей Юрьевич

Nobody аватар
Не на сайте
Был на сайте: 11 лет 5 месяцев назад
Зарегистрирован: 15.03.2014 - 20:29
Публикации: 2013

Андрей Юрьевич, если мой коммент не превращать в винегрет, можно дать удобоваримый ответ. Смысл моих слов понят так, словно Вы снова на западе, а не здесь, рядом с нами.)) Я про рентгенпризнаки и говорил. У нас КТ-ологи дырки с мета пока не дифференцируют... Наверное, Вас ждут. "Напрямую с Запада..." А может, всё-таки там врут?))

"Лишь утратив всё до конца, мы обретаем свободу." F.C.