Туберкулез головного мозга.

Пол пациента: 
Тип патологии: 
Область исследования: 
Методы исследования: 

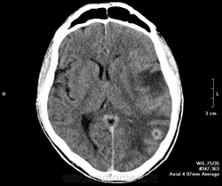
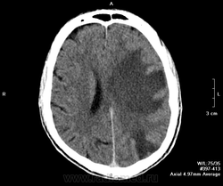
Мужчина, 40 лет. Поступил в тяжелом состоянии. В анамнезе туберкулез легких, на учете. Было высказано предположение и туберкуломах головного мозга. Нейрохирурги активно возражали, они были уверены, что это метастазы.

КТ с контрастом:

  

Через пару месяцев после противотуберкулезного лечения пришел на контроль на своих ногах и с его слов: "прекрасно себя чувствует". Контратировать не стали, т.к. с венами большие проблемы. Видно не без вредных привычек мужчина. Возможно появиться еще на контроль через несколько месяцев.

  • https://radiomed.ru/sites/default/files/styles/case_slider_image/public/user/1051/1326732024_156.png?itok=EmHPgWSk
  • https://radiomed.ru/sites/default/files/styles/case_slider_image/public/user/1051/1326732033_484.png?itok=Ub-O1fIu
  • https://radiomed.ru/sites/default/files/styles/case_slider_image/public/user/1051/1326732133_671.png?itok=uNy5ROt1
  • https://radiomed.ru/sites/default/files/styles/case_slider_image/public/user/1051/1326732151_234.png?itok=ecMvgjLy
  • https://radiomed.ru/sites/default/files/styles/case_slider_image/public/user/1051/1326732176_671.png?itok=dKbdgpaG
ID:18206
ЛГ аватар
Не на сайте
Был на сайте: 9 лет 3 месяцев назад
Зарегистрирован: 06.01.2010 - 12:31
Публикации: 3523

Замечательная динамика, спасибо за случай!

И.Бондаренко аватар
Не на сайте
Был на сайте: 7 часов 52 минуты назад
Зарегистрирован: 13.09.2011 - 22:55
Публикации: 9213

Действительно хороший случай.

Катенёв Валентин Львович аватар
Не на сайте
Был на сайте: 7 лет 5 месяцев назад
Зарегистрирован: 22.03.2008 - 22:15
Публикации: 54876

Классное наблюдение!

С надеждой посмотреть последующий контроль.

Алибек аватар
Не на сайте
Был на сайте: 7 лет 1 месяц назад
Зарегистрирован: 06.04.2010 - 21:35
Публикации: 16

Очень интересный случай!